L’orthodontie parodontale

  • Par
  • Publié le . Paru dans L'Orthodontiste n°1 - 15 février 2021

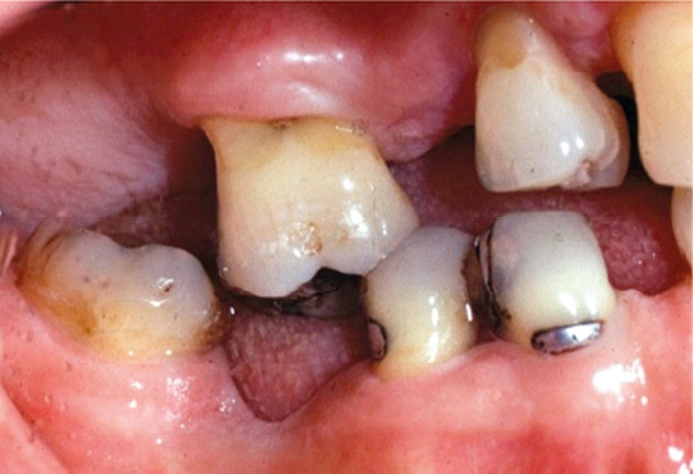
1a-c. Exemple clinique de malocclusion secondaire chez un patient atteint de parodontite avancée. La malocclusion qui se manifeste par la présence de mésio-versions molaires, d’ouverture de diastème et de perte de dimension verticale d’occlusion est ici aggravée par un édentement postérieur non compensé.

Information dentaire
Depuis toujours convaincu qu’il est essentiel de savoir respecter le parodonte quand on déplace une dent orthodontiquement, j’avais pris l’habitude d’inviter chaque année Jean- Louis Giovannoli, dans le cadre du CECSMO. Il est chirurgien-dentiste depuis presque cinquante ans et exerce à Paris comme parodontiste depuis plus de quarante ans. S’il est en fin d’activité, il reste un des rares conférenciers à parler “ortho-paro” dans les congrès. Pour les lecteurs de L’Orthodontiste, il a accepté de revenir sur son expérience clinique dans l’approche des malocclusions, et de livrer quelques réflexions sur les relations entre nos deux disciplines.
Jean-Louis Giovannoli

Vous êtes parodontiste exclusif mais pratiquez l’orthodontie à votre cabinet. Pourquoi vous intéressez-vous tant à notre discipline, et pourquoi ne vous limitez-vous pas à votre spécialité ?

Je ne pratique pas l’orthodontie. Je ne traite pas les patients qui présentent une malocclusion primaire, dans un but esthétique ou fonctionnel. Je n’ai jamais fait de correction chez un enfant ou un adolescent, et dois avouer ne rien connaître à la croissance et au développement. En revanche, J’ai souvent travaillé en collaboration avec des orthodontistes pour assainir un parodonte ou aménager des tissus gingivaux avant traitement, ou pour pratiquer des désinclusions chirurgicales. J’ai surtout organisé mon exercice pour prendre en charge les patients atteints de maladies parodontales sévères, compliquées de migrations dentaires et de malocclusions secondaires. Pour ce faire, j’ai été amené à coller moi-même des brackets, mais depuis plusieurs années, j’ai préféré déléguer ce travail à des collaborateurs plus compétents que moi dans le maniement des techniques orthodontiques : à mon cabinet nous pratiquons l’orthodontie parodontale.

D’où vient ce drôle de jargon pour définir un type de pratique ?

Les maladies parodontales sont des maladies inflammatoires d’origine infectieuse, chroniques et évolutives, qui se manifestent par une atteinte progressive des tissus de soutien de la dent. Aucun moyen mécanique quel qu’il soit, qu’il s’agisse de l’orthodontie ou de la chirurgie d’ailleurs, ne permet de traiter une infection. Pour traiter une infection, il faut savoir mettre en œuvre des moyens anti-infectieux efficaces, mais pour maîtriser la situation dans le temps, il peut être nécessaire d’aménager les conditions dentaires et parodontales, en réduisant par exemple une profondeur de poche ou en réglant l’occlusion.

D’un point de vue chronologique, on parle de phase étiologique de traitement…

Cet article est réservé aux abonnés.
Pour lire la suite :

Vous êtes abonné.e ? Connectez-vous
Mot de passe
oublié ?

Vous pouvez également :

Acheter l'article En version numérique
Acheter le numéro À l'unité

Thèmes abordés

Sur le même sujet

Exercice professionnel

L’hygiène informatique au cabinet dentaire : les bonnes pratiques pour se protéger

De plus, du fait de leur accès à des données médicales, les professionnels de santé sont une cible pour les hackers. Cabinets,...
Exercice professionnel

Paro-implanto : recommandations d’usage des antibiotiques

Si l’utilisation des antibiotiques en odontologie a fait l’objet de recommandations par l’HAS en 2022, « leurs spécificités d’usage en parodontologie...