Odontologie pédiatrique / ODF
Thématique D76
Samedi 26 novembre – 11h/12h
Responsable scientifique : Romain Jacq
Conférenciers : Estelle Moulis, Elisabeth Dursun, Marwan Daas, Léa Massé, Sibylle Vital
Objectifs
• Savoir indiquer et réaliser des prothèses sur les dents temporaires.
• Réaliser des restaurations collées sur les dents permanentes en postérieur.
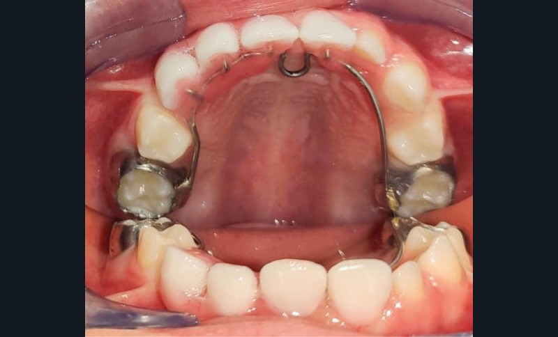
• Réaliser des prothèses amovibles chez l’enfant
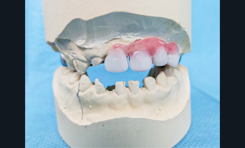
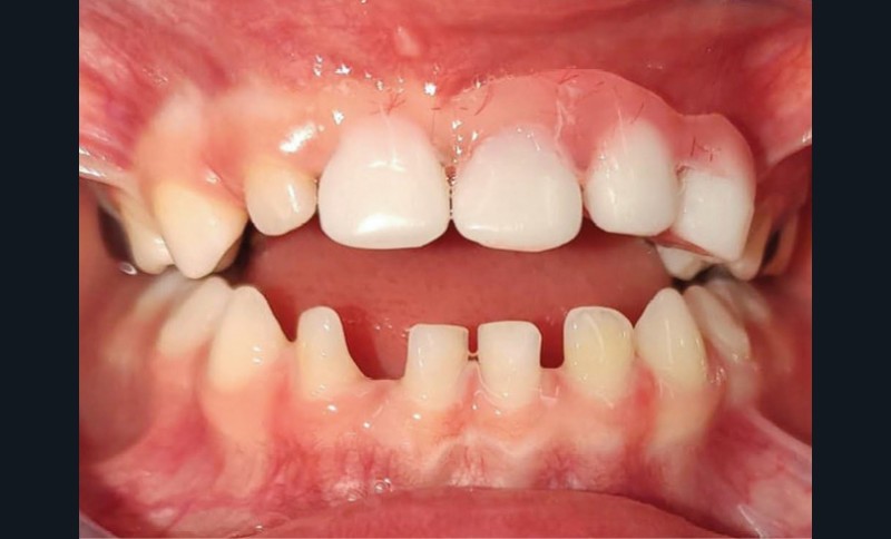
Quelles restaurations esthétiques pour la perte d’une incisive temporaire ?
Estelle Moulis : Les prothèses pédiatriques antérieures permettent de rendre le sourire aux enfants grâce à des reconstitutions esthétiques. Elles permettent de rétablir les fonctions perturbées afin de prévenir les conséquences néfastes et d’assurer une croissance harmonieuse.
Pour les édentements limités, les dents prothétiques peuvent être fixées sur un arc palatin ou lingual, lui-même fixé sur des bagues orthodontiques ou des coiffes pédiatriques préformées (CPP) sur les secondes molaires temporaires. Ce type de mainteneurs d’espace fixe exige une hygiène buccale rigoureuse, un mauvais contrôle de plaque entraînant un risque de caries des dents porteuses des bagues ou de CPP.
Pour des édentements plus étendus, des prothèses amovibles conventionnelles, bases en résine rose avec dents prothétiques et différents types de crochets selon les cas (Adams, joncs ou encore boules), peuvent être réalisées. Pour ce type de prothèse, la coopération et le port régulier sont corrélés à une forte demande de la part des parents et de l’enfant, une hygiène rigoureuse est également indispensable.
Est-il possible de coller un onlay sur une dent temporaire ?
Élisabeth Dursun : En cas de perte de substance importante sur molaire temporaire, il est classiquement réalisé une coiffe pédiatrique préformée : thérapeutique fiable et simple…


