dossier

Journée d’Information des Praticiens 2024 : Flash infos Id

Sous l'égide de
Avec le soutien institutionnel de

À la une

Retour sur la 5ème édition de la JIP Quatre conférences plénières et trois séances DPC pour faire le point sur des sujets d’actualité en parodontologie, endodontie, prothèse, implantologie, dentisterie restauratrice… Retour sur la JIP 2024 avec les experts qui l’ont animée en partageant leurs connaissances pour optimiser la prise en charge des patients. Rendez-vous le 26 juin 2025 pour la 6ème édition !

Thématiques

Parodontologie

Retrouvez tous les contenus sur cette thématique

Endodontie

Retrouvez tous les contenus sur cette thématique

Implantologie

Retrouvez tous les contenus sur cette thématique

Prothèse

Retrouvez tous les contenus sur cette thématique

Restauration

Retrouvez tous les contenus sur cette thématique

Péri-implantite

Retrouvez tous les contenus sur cette thématique

Toutes les vidéos

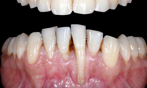
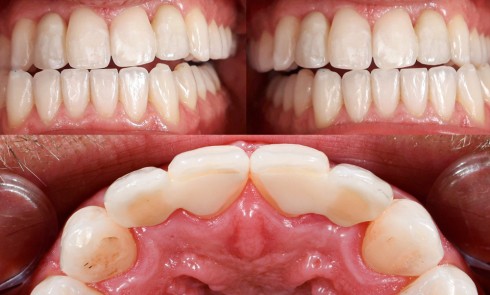
Efficacité des techniques chirurgicales de recouvrement radiculaire et syndrome du fil

Durée : 6:13 L’étiologie avant tout ! Le message de Sofia Aroca est clair : en présence d’un patient porteur…

Dentsply Sirona : Nouveau moteur d’endodontie X-Smart Pro

Durée : 1:27 Avec ou sans localisateur d’apex, ce moteur d’endodontie, qui permet de travailler en réciprocité, bénéficie…

Les lésions endodontiques : décision thérapeutique

Durée : 4:44 S’entourer du maximum d’éléments de bonne qualité (imagerie 2D, 3D, rétro-alvéolaires) est le premier conseil…

Articles recommandés

ODF

Article réservé à nos abonnés Le syndrome du fil, d’une détection précoce difficile au repérage aisé des cas sévères

Historique de la découverture du syndrome du fil (tableau 1) En 2007, Katsaros et al. [1] publient le rapport d’un cas...
Parodontologie

Article réservé à nos abonnés La chirurgie muco-gingivale du dépistage aux soins postopératoires

Les récessions gingivales Les récessions gingivales sont définies comme « le déplacement de la gencive marginale apicalement à la jonction amélo-cémentaire »...
Implantologie chirurgicale, Parodontologie

Article réservé à nos abonnés La greffe épithélio-conjonctive : incisions et sutures pas à pas

Après une désinfection exobuccale et endobuccale à la povidone iodée, une anesthésie traçante para-apicale 1/100 000 d’articaïne est réalisée au niveau...

Article réservé à nos abonnés Aussi petit que possible, aussi large que nécessaire… Fil conducteur d’une endodontie raisonnée

MOTS-CLÉS : traitement canalaire, pronostic endodontique, pronostic biomécanique, endodontie conservatrice Le pronostic endodontique d’aujourd’hui est comparable à celui d’il y a...
Biomatériaux, Endodontie

Article réservé à nos abonnés Apports des biomatériaux dans la gestion des perforations endodontiques

Perforation supra-osseuse (fig. 1) Les perforations supra-crestales sont la plupart du temps iatrogéniques et surviennent lors de la réalisation de la...
Endodontie

Article réservé à nos abonnés Le laser Er:YAG en endodontie

Les objectifs de l’endodontie sont parfaitement définis, qu’il s’agisse de l’élimination des tissus organiques, ou l’éradication de la flore bactérienne...
CFAO

Article réservé à nos abonnés Empreinte numérique ou conventionnelle en prothèse fixée Faible, moyenne et grande étendue

La transformation numérique ou transition digitale est le phénomène de mutation lié à l’essor des technologies numériques et d’internet. Elle...
Prothèse fixée

Article réservé à nos abonnés La prothèse fixée implantaire : scellée ou vissée ?

La prothèse scellée Le scellement de restaurations sur des piliers implantaires demeure une solution très intéressante (fig. 1). Cette technique reprend...
CFAO

Article réservé à nos abonnés Restauration unitaire supra-implantaire : comment faire les bons choix ?

Évolution du pilier standard vers l’embase titane Le pilier standard Jusque dans les années 2000, le pilier de référence utilisé pour la...
Implantologie

Article réservé à nos abonnés L’implantoplastie pour le traitement des péri-implantites : revue systématique de la littérature. Partie 1

Résumé Objectifs > La péri-implantite, pathologie d’origine bactérienne, affecte 20 % des implants et 10 % des patients. Il n’existe pas de...
Implantologie, Implantologie prothétique

Article réservé à nos abonnés La maintenance personnelle et professionnelle dans la prévention de la péri-implantite

Étiopathogénie et facteurs de risques La péri-implantite est une maladie multifactorielle dont l’étiologie principale est constituée par les bactéries contenues...
Odontologie restauratrice

Article réservé à nos abonnés Optimiser le collage des bridges cantilever

Même si, en termes de résistance aux contraintes mécaniques, la supériorité des bridges cantilever sur les bridges conventionnels est maintenant...
Prothèse

Article réservé à nos abonnés Prothèse complète : un travail d’équipe

La réalisation d’une prothèse fait concourir trois acteurs de soins, à savoir le patient, le prothésiste et le praticien. Il...
Prothèse

Article réservé à nos abonnés Le cantilever céramique : et pourquoi pas l’ailette canine ?

Il y a plus de vingt ans maintenant, ces conceptions ont été révolutionnées par les propriétés améliorées des céramiques, notamment...

Intervenants

Sofia Aroca

Marwan Daas

Maxime Helfer

Jean-Yves Cochet

Nicolas Lehmann

Philippe Khayat

Olivier Etienne

Un dossier proposé par

L'information Dentaire

L’hebdo n° 1 de la médecine bucco-dentaire fondé en 1919. Chaque semaine, L’Information Dentaire propose les actualités de la profession, les nouveautés de l’industrie, des articles de formation continue, une revue de presse internationale, un agenda, des petites annonces, l’actualité socio-professionnelle : fiscalité, droit, éthique, management…

Osstem

Fondée en 1997 par le Dr Kyoo-Ok CHOI, chirurgien-dentiste en Corée du Sud , Osstem Implant a rapidement émergé en tant que principal partenaire de solutions dentaires sur le marché de l’Asie-Pacifique. Notre produit phare, l’implant TS, a joué un rôle déterminant en devenant l’implant le plus vendu au monde depuis 2017. Aujourd’hui, en tant que leader mondial, nous étendons notre empreinte en apportant des produits de haute qualité et des solutions dentaires intégrées en Europe. Nous diffusons nos valeurs en contribuant à une meilleure santé humaine, permettant aux dentistes d’offrir des traitements de qualité supérieure.

Dentsply Sirona

Le partenaire pour toutes vos solutions dentaires

Avec une expertise de plus de 100 ans, Dentsply Sirona développe et commercialise des produits et des technologies de pointe dans toutes les disciplines dentaires. Alliant expérience et appétence pour l’innovation, Dentsply Sirona propose des produits éprouvés qui s’inscrivent dans le flux complet de travail de votre cabinet : en équipement, endodontie, orthodontie, implantologie et restauration.

Kuraray Noritake

Kuraray Noritake Dental Inc. est une entreprise japonaise par excellence avec un savoir-faire étayé par des technologies révolutionnaires et une qualité produits exceptionnelle. Leader sur le marché du collage, des adhésifs et des composites, Kuraray Noritake Dental Inc propose des solutions complètes aussi bien pour les cabinets dentaires que pour les laboratoires de prothèses.

Nous serons ravis de vous retrouver le 27 juin prochain.

Bredent Medical

Bredent Group vous présente ses solutions Premium implanto – prothétiques et numériques !

– Ses systèmes implantaires en titane Pur Gade 4 et Zircone certifiés « CLEAN IMPLANT FOUNDATION »
– Ses solutions en Chirurgie Guidée avec un flux numérique complet depuis la planification implantaire jusqu’à la fabrication de la prothèse sur ses usineuses Dental Concept Systems.
– Le REVOCONE : Une solution Innovante et numérique pour la prothèse Télescope du 21ème Siècle (finaliste grand Prix Innovation ADF 2023)
– L’ usineuse DCX, dernière née de la gamme DCS et parfaitement adaptée aux besoins du cabinet dentaire !

Design for vision

Designs for Vision est une entreprise de renommée mondiale, spécialisée dans la fabrication de loupes binoculaires de haute qualité pour les professionnels de la dentisterie et de la chirurgie.

Directa

La société Directa, basée en Suède, est connue mondialement grâce à ses instruments d’extraction Luxator®. L’acquisition de Sendoline, leader en endodontie en Suède et de TrollDental avec son papier à articuler Troll foil, lui a permis de se positionner sur d’autres secteurs. En 2024 Directa lance les Ceramir CAD CAM blocks et les Ceramir Pediatric Crowns que nous vous invitons à découvrir !

Philips

À Philips notre mission est d’améliorer la vie de 2,5 milliards de patients d’ici 2030. Depuis plus de 30 ans, Philips Sonicare développe des solutions technologiques à l’efficacité scientifiquement démontrée pour permettre aux patients d’accéder à une hygiène bucco-dentaire optimale. Philips Zoom met à disposition des professionnels de la santé bucco-dentaire des solutions d’éclaircissement dentaire adaptées aux besoins des patients.

SDI

C’est fait en 15 sec, deux étapes simples, primer et composites. Stela est un matériau de restauration hautement résistant. Il ne nécessite aucune polymérisation. L’adhésif et le matériau durcissent au contact l’un de l’autre, touch cure, sur une épaisseur illimitée, il offre des restaurations parfaitement étanches. Il est idéal pour les Cl I, II, III, V, le collage de tenons et les faux moignons.

Voco

Le fabricant allemand VOCO propose un nouveau composite pour la reconstitution de moignons et pour le scellement de pivots radiculaires. Rebilda DC fluorescent est le dernier venu de la gamme Rebilda. Outre les teintes dentine, blanc et bleu, il existe désormais une variante fluorescente.

Étudié en collaboration avec des chirurgien-dentistes, ce nouveau matériau innovant offre une application précise avec une parfaite fluidité. Il est proposé aussi bien en seringue QuickMix pratique de 10 g qu’en cartouche de 50 g.

A découvrir à la JIP 2024 !

Commentaires

Les commentaires sont fermés.

Toutes les thématiques

 

À propos

Sous l'égide de L'Information Dentaire
Avec le soutien institutionnel de Osstem Implant
Avec le soutien institutionnel de Dentsply Sirona
Avec le soutien institutionnel de Kuraray Noritake
Avec le soutien institutionnel de Bredent Médical
Avec le soutien institutionnel de Designs for vision
Avec le soutien institutionnel de Directa
Avec le soutien institutionnel de Haleon
Avec le soutien institutionnel de Philips Sonicare
Avec le soutien institutionnel de SDI
Avec le soutien institutionnel de Voco