dossier

JIP 2024 : Parodontologie

Sous l'égide de
Avec le soutien institutionnel de

À la une

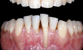
Efficacité des techniques chirurgicales de recouvrement radiculaire et syndrome du fil L’étiologie avant tout ! Le message de Sofia Aroca est clair : en présence d’un patient porteur d’une contention, ne jamais se lancer immédiatement dans le traitement chirurgical d’une récession, mais évaluer en premier lieu si elle est due à un syndrome du fil.

Articles recommandés

Le syndrome du fil, d’une détection précoce difficile au repérage aisé des cas sévères

Historique de la découverture du syndrome du fil (tableau 1) En 2007, Katsaros et al. [1] publient le rapport d’un cas...

La chirurgie muco-gingivale du dépistage aux soins postopératoires

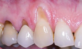
Les récessions gingivales Les récessions gingivales sont définies comme « le déplacement de la gencive marginale apicalement à la jonction amélo-cémentaire »...

La greffe épithélio-conjonctive : incisions et sutures pas à pas

Après une désinfection exobuccale et endobuccale à la povidone iodée, une anesthésie traçante para-apicale 1/100 000 d’articaïne est réalisée au niveau...

Intervenants

Sofia Aroca

Pratique libérale en Parodontologie et Implantologie Orale, Paris

Un dossier proposé par

L'information Dentaire

L’hebdo n° 1 de la médecine bucco-dentaire fondé en 1919. Chaque semaine, L’Information Dentaire propose les actualités de la profession, les nouveautés de l’industrie, des articles de formation continue, une revue de presse internationale, un agenda, des petites annonces, l’actualité socio-professionnelle : fiscalité, droit, éthique, management…

Philips Sonicare

À Philips notre mission est d’améliorer la vie de 2,5 milliards de patients d’ici 2030. Depuis plus de 30 ans, Philips Sonicare développe des solutions technologiques à l’efficacité scientifiquement démontrée pour permettre aux patients d’accéder à une hygiène bucco-dentaire optimale. Philips Zoom met à disposition des professionnels de la santé bucco-dentaire des solutions d’éclaircissement dentaire adaptées aux besoins des patients.

Conférence

Efficacité des techniques chirurgicales de recouvrement radiculaire et syndrome du fil

Durée : 6:13 L’étiologie avant tout ! Le message de Sofia Aroca est clair : en présence d’un patient porteur…

Commentaires

Les commentaires sont fermés.

À propos

Sous l'égide de L'Information Dentaire
Sous l'égide de Parodontologie Implantologie Orale
Avec le soutien institutionnel de Haleon
Avec le soutien institutionnel de Philips Sonicare