dossier

L’usure dentaire

Information dentaire

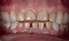
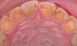
Le nombre de patients présentant des usures dentaires ne cesse de croître. Aux causes bien connues (fonctionnelles comme l’attrition, pathologiques comme le bruxisme) s’en sont ajoutées d’autres (alimentaires notamment) occasionnant des formes érosives et abrasives.
Atteintes légères, sévères, localisées, généralisées… les cas sont multiples. Ce dossier a pour objectif d’orienter les praticiens dans la prise en charge de ces cas désormais fréquents en pratique quotidienne.

Dernières publications

Matériaux et usures dentaires

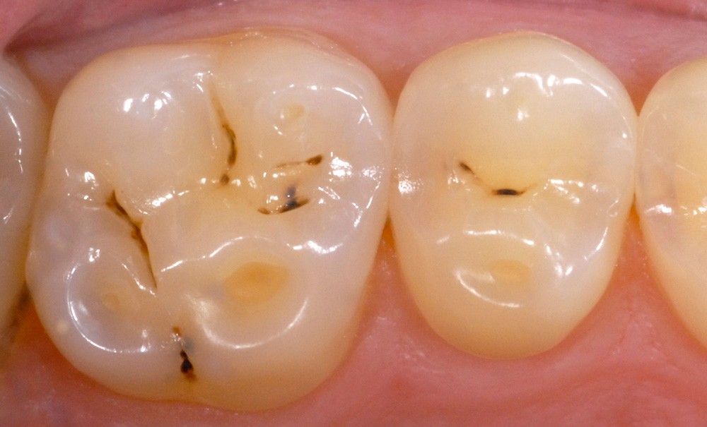
La perte de tissus dentaires est fréquemment associée aux lésions carieuses. Or les bactéries ne sont pas toujours impliquées dans...

Les usures irrégulières : gérer la réalisation du mock-up

La sévérité des usures, comme leur étiologie (attrition, abrasion, érosion ou, plus fréquemment, une combinaison de ces dernières [1]), est...

Étiologie des lésions d’usure amélaires

L’usure est la détérioration que produit l’usage. Elle est physiologique dans la majorité des cas car elle n’engendre pas de...

Commentaires

Les commentaires sont fermés.