Introduction
Par leur fonction, les assistant(e)s dentaires peuvent être sollicité(e)s pour répondre à des questions en dehors du cabinet dentaire, dans le cercle familial ou amical. Le statut de niveau 2 pourront élargir leur capacité de prise en charge des patients atteints de MIH, en particulier dans la prise en charge préventive spécifique. Par ailleurs, ces anomalies suscitent aujourd’hui encore des difficultés auprès des praticiens, en particulier dans l’élaboration des plans de traitement [1].
Qu’est-ce qu’une hypominéralisation molaires incisives ?
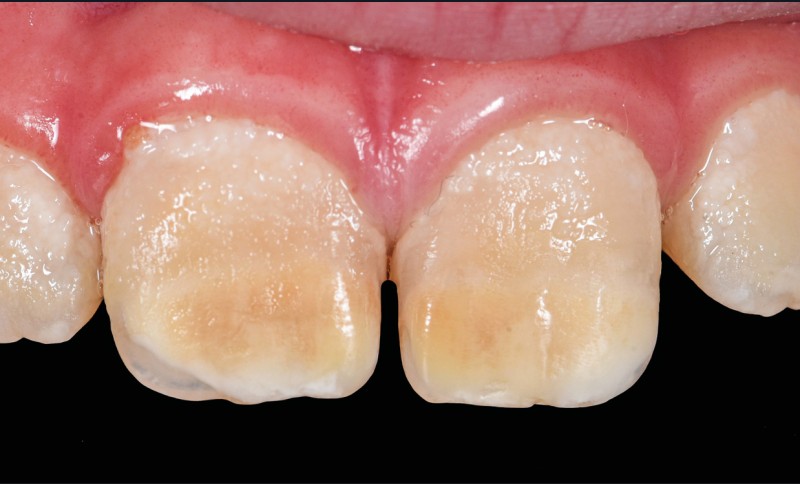
C’est la première question qui vient à l’esprit… Les hypominéralisations molaires incisives (MIH) sont des anomalies de structure de l’émail dentaire touchant spécifiquement les premières molaires permanentes. Cela signifie que l’émail est d’une épaisseur normale, mais qu’il n’est pas d’une qualité optimale, ceci entraînant une vulnérabilité exacerbée au délabrement tissulaire. Une, deux, trois ou quatre premières molaires permanentes peuvent être atteintes. Ces dents étant considérées comme des piliers des arcades dentaires, on comprend mieux l’intérêt que suscitent ces anomalies. Dans certains cas, les incisives permanentes peuvent également être atteintes (fig. 1) (dans environ 40 à 70 % des cas), constituant fréquemment un motif de consultation des parents, souvent inquiets de l’aspect esthétique du sourire de leur progéniture. Ajoutons d’ores et déjà que ces stigmates sur les dents antérieures peuvent générer d’importantes souffrances psychologiques chez l’enfant, en particulier lors de l’entrée au collège (fig. 2).
D’autres dents que les premières molaires ou les incisives permanentes peuvent-elles présenter des taches liées aux MIH ?
Sans vouloir complexifier une thématique déjà riche d’écueils pour nombre de praticiens, il faut néanmoins noter que d’autres catégories…

