es principes en prothèse fixée ont fortement progressé ces dernières années, sous l’impulsion essentiellement de l’évolution des matériaux, des progrès des techniques de collages et des possibilités thérapeutiques proposées par l’implantologie. Ainsi, la prothèse fixée sur dents naturelles devient de moins en moins invasive, et l’on ne peut que s’en réjouir, rendant la limite entre la dentisterie restauratrice et la prothèse fixée parfois ténue.
Nous vous proposons ici d’envisager certains points de l’évolution des traitements par prothèses fixées nous apparaissant importants.
Évolution des thérapeutiques prothétiques
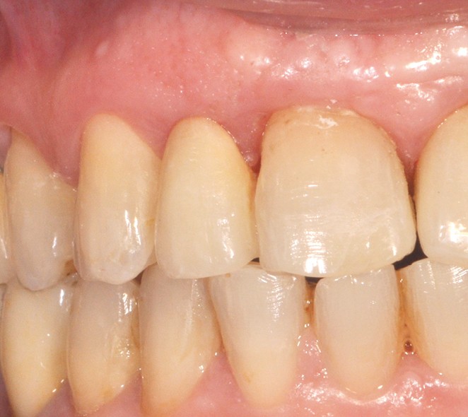
Tout chirurgien-dentiste a comme principe premier la conservation de la santé buccale et donc des dents et de leurs tissus environnants. Nous devrions tous avoir le secret espoir de voir disparaître tous les éléments prothétiques ayant pour but le remplacement partiel ou total des tissus dentaires. Malheureusement, les accidents [1] et surtout les bactéries buccales en décident autrement (fig. 1a, b).
Aussi, devant cette nécessité de traitement, au cours du temps, la recherche en prothèse fixée a essayé de proposer des thérapeutiques de plus en plus conservatrices, économes en tissus avec les progrès des connaissances et des matériaux. Ces évolutions sont apparues dans les différentes étapes de la démarche thérapeutique prothétique.
Diagnostics et indications thérapeutiques des coiffes périphériques
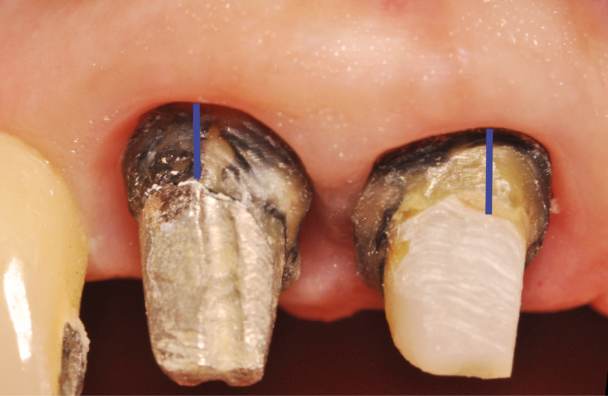
Dans les principes thérapeutiques plus anciens, la couronne était un élément de renforcement des tissus dentaires. Ainsi, les dents traitées endodontiquement étaient considérées comme forcément plus fragiles et devaient, à ce titre, systématiquement recevoir une coiffe périphérique. Cependant, dès 1989, Reeh et coll. [2] montrent, dans leur étude, l’impact important de la destruction des crêtes marginales dans une cavité mésio-occluso-distale, entraînant une fragilisation bien supérieure à celle provoquée par la cavité d’accès et le traitement endodontique.
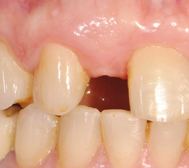
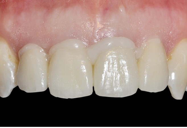
Donc, en présence d’une dent traitée endodontiquement ou d’une dent pulpée délabrée, les paramètres primordiaux à prendre en considération dans les options thérapeutiques semblent être davantage la perte de substance ou le contexte occlusal (fig. 2a, b) [3]. Dans le cas de délabrement de moyenne étendue d’une dent dépulpée, il semble cependant difficile de proposer des recommandations précises sur la solution optimale à adopter entre une reconstitution directe de type composite, une reconstitution indirecte (un onlay, par exemple) et une coiffe périphérique [4].
Mais il apparaît aujourd’hui, en présence de la fragilisation d’une dent (par perte de structure ou par la présence de fêlure peu profonde), après évaluation de la quantité de tissus à reconstituer, de la nécessité ou pas d’un recouvrement cuspidien, que la thérapeutique doit s’orienter de préférence vers une technique la plus conservatrice possible.
En effet, les préparations périphériques sont source d’une perte d’une grande quantité de tissus dentaires. Ainsi, Edelhoff et coll. ont évalué cette perte jusqu’à plus de 70 % du poids initial de la dent pour les dents postérieures, dans le cas de préparation périphérique [5], et dans les zones antérieures, de l’ordre de 63 % du poids initial pour des coiffes tout céramique et de 70 % du poids initial pour des préparations pour des coiffes céramométalliques [6].
Les indications en première intention de coiffe prothétique périphérique se réduisent fortement. Actuellement, parmi celles-ci, on peut citer des cas de perte de substance volumineuse dans des cas de bruxisme [7] et des cas de contentions parodontales par la réalisation de bridge [8].
De nos jours, il faut privilégier les restaurations partielles collées chaque fois que cela est indiqué comme premier choix thérapeutique d’une dent partiellement délabrée. En effet, ces reconstitutions collées montrent des taux de survie de 92 % à 95 % à cinq ans [9] comparables à ceux des coiffes périphériques, de l’ordre de 95 % à cinq ans [10] mais avec une économie tissulaire très supérieure pour les restaurations partielles collées (fig. 3a-c).
Les progrès des techniques de collage sont certainement, dans le domaine de la reconstruction d’un délabrement dentaire, le fait majeur de ces dernières années. Au niveau des structures des prothèses fixées, l’évolution des matériaux au cours du temps a vu peu à peu les alliages métalliques, qu’ils soient précieux ou non, remplacés par des éléments en disilicate de lithium ou en zircone.
Cette évolution des biomatériaux répond à une nécessaire évolution de la biocompatibilité. L’utilisation de matériaux plus biocompatibles, plus esthétiques tout en gardant des propriétés mécaniques en adéquation avec leur utilisation en chirurgie dentaire a amené aussi une modification dans les positions des limites prothétiques.
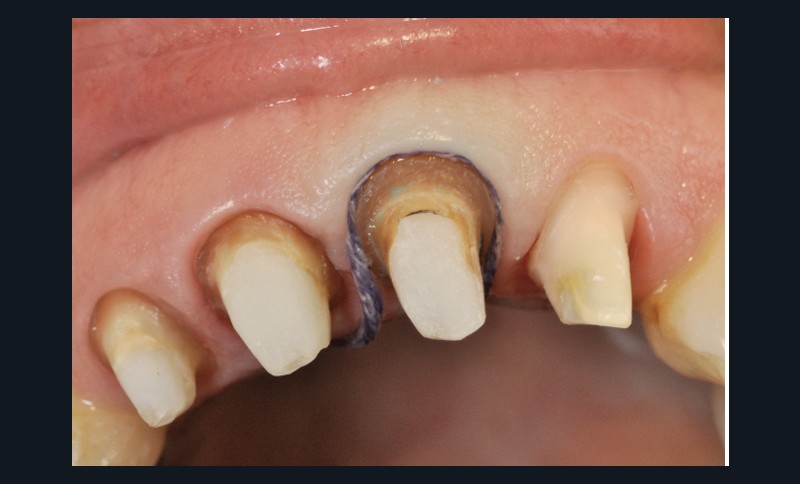
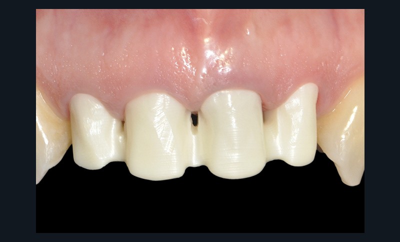
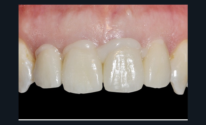
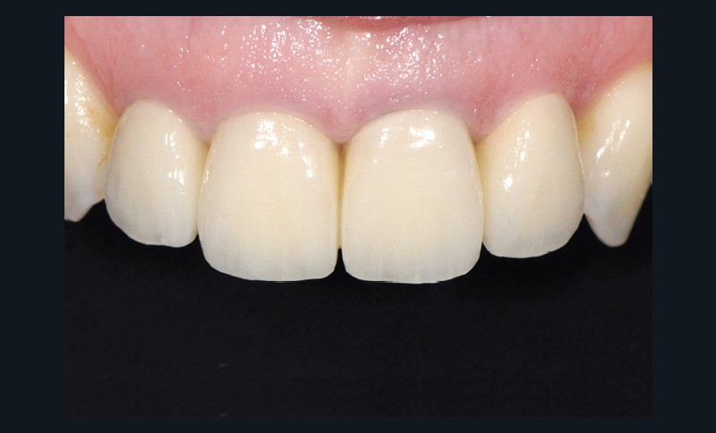
Si « l’enfouissement » des limites a été très souvent une orientation clinique systématique, cette position de la jonction dentoprothétique doit maintenant répondre à une réflexion clinique qui allie la nécessité esthétique à la qualité du phénotype parodontal. En effet, les limites intrasulculaires peuvent être à l’origine de traumatismes du parodonte [11,12] et devenir, avec le temps, des limites juxta- ou supragingivales. La prise en compte de principes respectueux du parodonte au cours des différentes étapes prothétiques (préparation, provisoire, empreinte, enregistrement du profil d’émergence et scellement) participe à la préservation dans le temps du résultat prothétique, tout en protégeant les tissus de soutien (fig. 4a-i).
Reconstitution coronoradiculaire (RCR) : éviter l’ancrage radiculaire ou limiter ses inconvénients
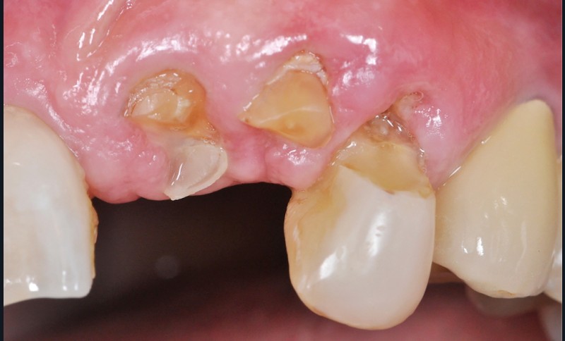
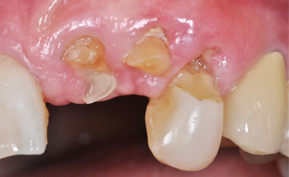
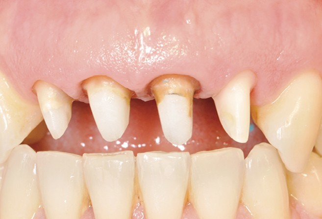
Des délabrements dentaires importants peuvent encore parfois conduire à devoir utiliser des reconstitutions coronoradiculaires. Si, autrefois, l’idée d’un renforcement de la dent par un tenon avait un certain écho dans notre profession, désormais il est clairement établi que le tenon n’a pour seul intérêt que de participer à la rétention de la portion coronaire, mais ne renforce nullement, bien au contraire, les tissus dentaires [13]. Cette volonté de réduire les risques de fracture radiculaire (fig. 5a, b) pousse les recherches vers des matériaux au module d’élasticité proche de celui de la dentine. La solidarisation des tenons aux coiffes type Richmond a peu à peu laissé sa place à des reconstitutions coronoradiculaires dissociées de la coiffe périphérique. Les alliages métalliques ont été pendant longtemps les seules possibilités pour la réalisation de ces RCR, en favorisant les alliages précieux pour leur plus faible module d’élasticité.
Dans les années 1990, les premiers tenons fibrés sont proposés [14]. À l’heure actuelle, les améliorations des matériaux composites, des tenons fibrés et des techniques adhésives augmentent de plus en plus les indications de ces Reconstitutions par Matériaux Insérés en Phase Plastique (RMIPP).
Si les recommandations de l’ANAES (devenue HAS) en 2003 [15] en limitent les champs d’utilisation, et les conclusions de ce rapport se terminent par cette constatation : « Compte tenu de l’insuffisance de preuves scientifiques, le praticien est responsable du type de reconstitution en fonction de chaque situation clinique. » (sic !)
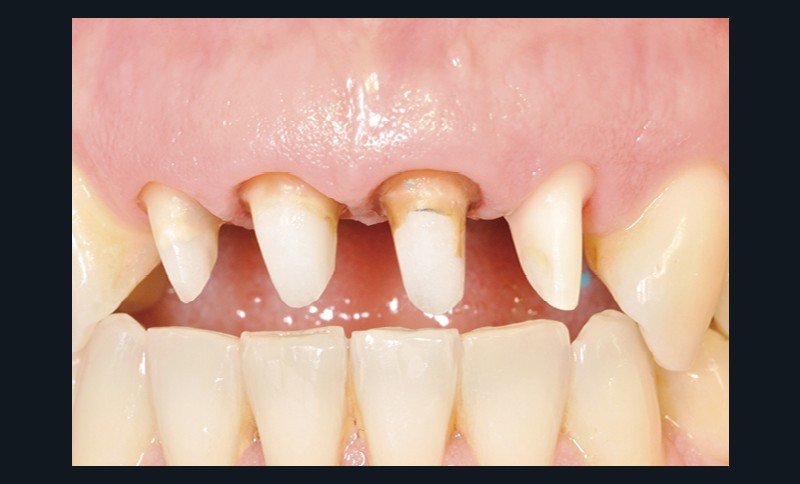
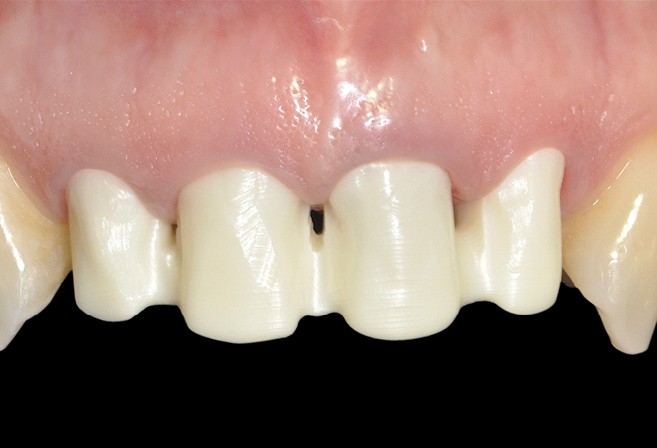
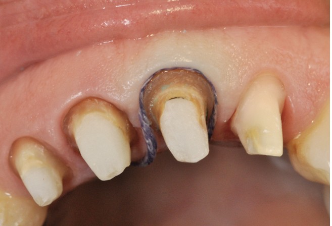
Actuellement, il semble que la nature du tenon ne soit plus vraiment au centre des préoccupations dans la décision clinique [16,17]. La présence d’un cerclage (ferrule, en anglais) semble être le paramètre prédominant, avec la quantité de tissu coronaire résiduel (fig. 6) [18]. Une recherche bibliographique sur le site PubMed (www.ncbi.nlm.nih.gov/pubmed) avec les mots-clés « ferrule » ou « ferrule effect » nous montre que cette notion est citée pour la première fois en 1990 [19].

Depuis, de nombreuses études mettent en avant l’importance de ce cerclage dentinaire périphérique. Ces études font donc penser que l’avenir devrait voir disparaître les RCR coulées au profit des RMIPP, même dans des situations où le cerclage est faible, afin de donner la priorité à l’amortissement des contraintes par rapport à la résistance mécanique source de fracture radiculaire [20].
Une solution sans tenon a été proposée en 1995 par Pissis [21] avec l’avènement des prothèses tout céramique, et notamment l’In-Ceram. Ce traitement, dénommé par la suite endocouronne (endocrown), présente une alternative à l’utilisation d’ancrage radiculaire (fig. 7). Essentiellement indiquée dans le cas de molaires, cette option thérapeutique nécessite une hauteur camérale suffisante (de l’ordre de 2 à 4 mm) pour assurer une rétention pérenne [22].
Ainsi, aujourd’hui, les procédés de restauration des dents délabrées pulpées ou non doivent respecter un principe d’économie tissulaire et sont rendus possibles grâce à des principes d’adhésion aux tissus dentaires. Les valeurs d’adhésion à la dentine étant nettement moins performantes que celles de l’émail, certains auteurs recommandent de respecter parfaitement les protocoles de collage, et en particulier de favoriser un scellement immédiat de la dentine (immediat dentin sealing) [23].
Implantologie
L’implantologie a été LA révolution dans le traitement des zones édentées, que ce soit dans le cas d’édentement unitaire, plural ou total.
En prothèse fixée, les implants ont réduit l’indication des bridges et la mutilation de dents saines pour servir de pilier ne se justifie plus que dans de très rares et exceptionnelles indications. Les cas d’édentement encastré doivent pouvoir se traiter par la mise en place d’implant.
Avant que l’implantologie ne se soit vraiment installée dans le raisonnement thérapeutique de l’ensemble des praticiens, il était fréquent de voir des traitements remplacer deux dents absentes (ou parfois plus !) avec deux piliers comme bases de support. Si ce type de traitement pouvait se comprendre face à des patients refusant la prothèse amovible, la survie de ce type de reconstitution était le plus souvent très inférieure à celles présentant des intermédiaires de bridge d’une seule dent [24].
Aujourd’hui, un praticien face au remplacement d’une dent absente, dans un contexte médical favorable, doit obligatoirement proposer le traitement implantaire comme une solution thérapeutique. Si l’implantologie reste un traitement fiable, elle montre parfois, dans le temps, des complications inflammatoires et infectieuses comme les péri implantites [25] ou esthétiques, dans le secteur antérieur, avec des évolutions dues à la croissance faciale permanente [26].
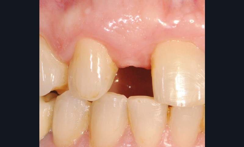
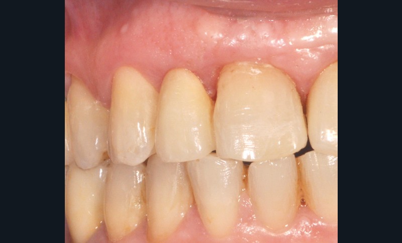
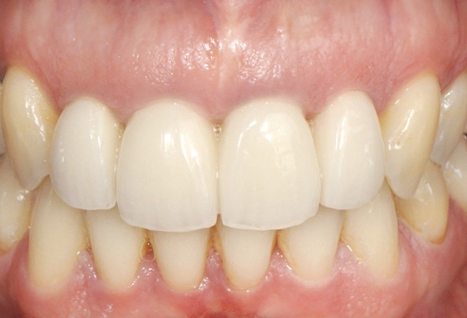
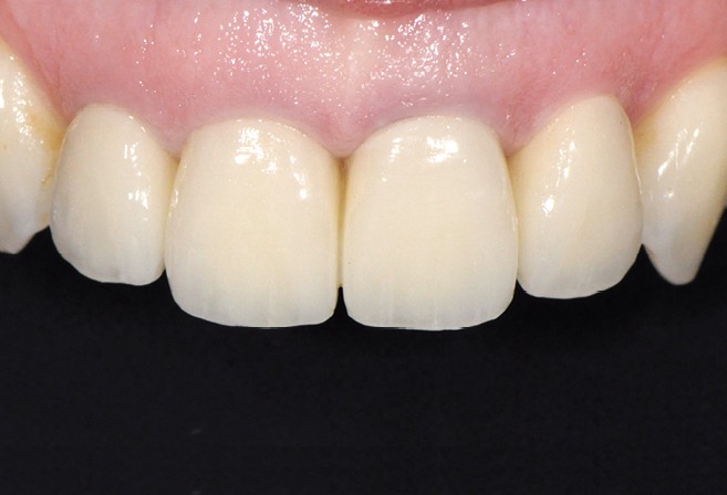
Les performances des techniques collées peuvent apparaître comme plus « judicieuses » dans certaines situations. Ainsi, lors d’agénésies des incisives latérales ou d’absence d’une autre dent antérieure particulièrement chez un jeune adulte, la mise en place de bridge collé mono ailette semble être un traitement fiable [27].
De plus, l’utilisation de bridge collé mono ailette (fig. 8a-c) permet de retarder le traitement implantaire. En effet, le recul sur les traitements implantaires des secteurs antérieurs impose de prendre en considération la croissance faciale (plus marquée chez les femmes et les hyperdivergents) [28].
Cette croissance peut, dans le temps, amener des variations de positionnement des prothèses supraimplantaires par rapport aux dents naturelles adjacentes. En effet, si les dents subissent l’évolution alvéolaire de la croissance faciale, les implants restent eux ankylosés [29].
Le mode de jonction en prothèse fixée
Le collage en prothèse fixée représente une autre évolution qui a modifié totalement l’approche thérapeutique. Nous sommes à présent dans une notion de dentisterie minimalement invasive, où l’on cherche à restaurer la structure délabrée sans y apporter un complément de mutilation, comme c’était le cas avec une coiffe périphérique.
Les notions adhésives ont remplacé les impératifs de la rétention mécanique. Les modes de jonction conventionnels, comme les ciments oxyphosphate de zinc, présentent des indications réduites et sont remplacés par des produits à la valeur adhésive. Dans les situations de réfection de coiffes prothétiques, les nouvelles prothèses vont pouvoir être mises en place avec différents modes de jonction.
De nos jours, malgré une convention rétrograde, les structures métalliques disparaissent peu à peu des thérapeutiques. Dans le cas de coiffe métallique ou à armature métallique, les ciments oxyphosphate de zinc peuvent être encore envisagés, mais il semble préférable d’opter, même dans ces situations, pour des ciments présentant dans leur composition une trame résineuse (ciments auto adhésifs, ciments verres ionomères modifiés par adjonction de résine). Cette trame résineuse limite les risques de dissolution dans le temps du mode de jonction et favorise, par son module d’élasticité, l’amortissement des contraintes occlusales.
Pour les coiffes tout céramique, le collage renforce la résistance mécanique de ces reconstitutions ; ceci nécessite des limites prothétiques permettant la mise en place d’une isolation. Dans le cas de limites intrasulculaires de coiffes tout céramique, des ciments verres ionomères modifiés par adjonction de résine ou de type auto adhésif peuvent alors être utilisés [30].
Dans le futur, il apparaît clairement que les techniques de collage vont encore devenir de plus en plus performantes grâce à la recherche en chimie des matériaux, pouvant laisser penser qu’un jour, le bridge mono ailette, limité aujourd’hui au secteur antérieur, sera aussi possible dans les secteurs postérieurs.
Le numérique
Les techniques numériques représentent une autre grande évolution de ces dernières décennies.
Empreinte
Depuis la proposition de l’empreinte optique et de la numérisation des prothèses dans les années 1970, notamment par François Duret, cette technologie ne cesse d’apporter des nouvelles possibilités. En prothèse fixée, les limitations techniques, notamment concernant l’enregistrement de prothèse de grande étendue, semblent totalement disparaître. Si le frein du coût des caméras se lève progressivement, ce type d’empreinte deviendra la technique la plus utilisée dans cette discipline. Les dernières générations de caméras semblent, de plus, permettre une rapidité d’enregistrement qui rendra aussi possible un gain de temps important, sans perte de précision.
Fabrication
En prothèse fixée, la fabrication des armatures par usinage ou par fusion laser a permis de réduire les inconvénients inhérents à la technique de la cire perdue (fig. 9a, b). La précision de l’ajustage de ces éléments prothétiques rendra certainement nos traitements de plus en plus fiables dans le temps, limitant les risques de hiatus dentoprothétique.
Perspectives
La prothèse dite fixée deviendra, dans les années à venir, une prothèse collée où les préparations à visée de rétention mécanique disparaîtront au profit d’une économie tissulaire favorable à la préservation à long terme des dents. La technologie numérique, par ses améliorations permanentes, rendra les ajustages de plus en plus performants. Les seuls paramètres qui pourront encore évoluer sont celui de l’humain et de l’application de chacun à respecter les indications des matériaux et les protocoles de mise en œuvre.
Durant ces dernières années, les thérapeutiques prothétiques fixés ont fortement évolué, tant dans les matériaux que dans les concepts et les indications. Le principe d’économie tissulaire et de gradient thérapeutique oriente le traitement vers des protocoles de collage.
Dans tous ces traitements prothétiques, les techniques de laboratoire, au-delà de l’habileté des acteurs, requièrent une complicité d’équipe indispensable, chacun dans son propre rôle, devant l’objectif commun d’un résultat optimal pour le traitement du patient. Les prothésistes et leurs compétences restent des collaborateurs primordiaux dans la réussite des thérapeutiques, la machine ne devant être que le prolongement de la réflexion de l’humain.
























Commentaires