Erreur 1 : biseau ou congé insuffisant
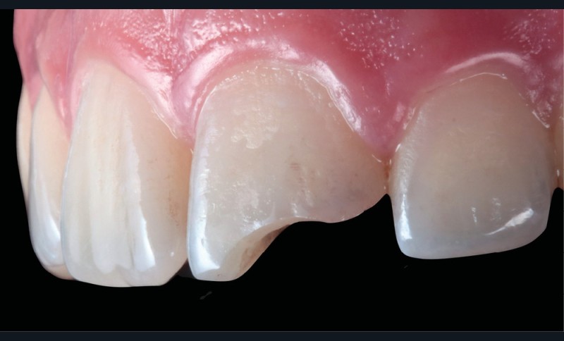
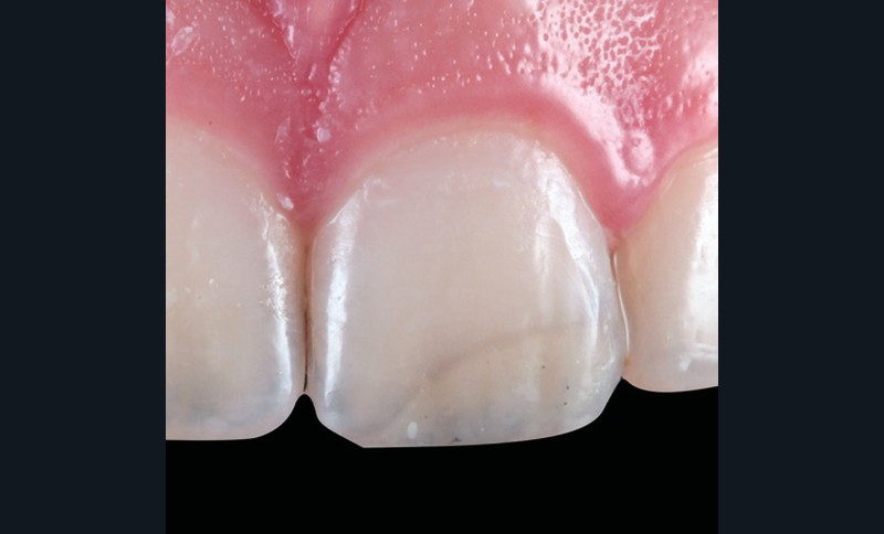
Lorsqu’un patient se présente en consultation pour la restauration d’une incisive fracturée, nous cherchons à être le moins invasif possible, évitant ainsi de délabrer davantage la dent, d’où notre choix fréquent des résines composite [1]. Par souci d’économie tissulaire, notre préparation dentaire est souvent insuffisante : c’est notre première erreur. Un biseau ou congé suffisamment large est indispensable à l’intégration du composite. Il est fréquent, comme dans le cas présenté ici, que la fracture de l’angle incisif soit plus importante en palatin (fig. 1). Un biseau large est ici recommandé pour une transmission optimale de la lumière. L’absence de biseau (ou congé) large et profond laisse apparaître une bande translucide grise au niveau du joint dent/composite [2] (fig. 2-5).
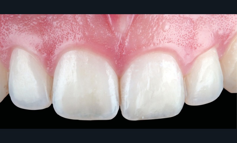
Afin d’éviter cette bande grise, nous utiliserons essentiellement des masses dentine sur le joint, du mur palatin au biseau vestibulaire. Pour le rendu esthétique, mieux vaut mettre trop de dentine que trop de masses émail au niveau du joint [1, 3, 4].
La correction de cette erreur (fig. 6) a été réalisée à la fraise boule au niveau du joint. Puis un sablage à l’alumine 27 mm et un traitement à l’acide orthophosphorique ont précédé la pose de l’adhésif. Les masses dentine ont été appliquées sur le joint, suivies d’une très fine masse émail. Pour finir, un polissage minutieux a été réalisé. Le résultat à quinze jours se révèle satisfaisant (fig. 6).
Erreur 2 : ne pas utiliser « d’opaqueur » en présence d’un substrat coloré
Un composite stratifié a été réalisé sur la 11 (fig. 7) dans l’attente d’un traitement parodontal. Une facette en céramique suivra la stabilisation parodontale [5].
Après la dépose de l’ancienne résine et le curetage des tissus carieux, la dentine résiduelle…





