À propos d’épisodes récidivants de trismus

  • Par
  • Publié le . Paru dans L'Information Dentaire (page 33-34)
Information dentaire
Un patient âgé de 38 ans nous est adressé par son médecin traitant du fait de la survenue d’épisodes de trismus à répétition, évoluant favorablement sous traitement antibiotique. Le praticien a demandé une radiographie face, profil, et un panoramique (OPT). Le patient présente un bon état général. L’examen clinique endobuccal est possible du fait de l’ouverture buccale à 30 mm. Il n’existe ni lésion de la muqueuse buccale, ni dentaire, ni adénopathie cervicale. L’interrogatoire ne rappelle pas de tentative d’avulsion de dent de sagesse.

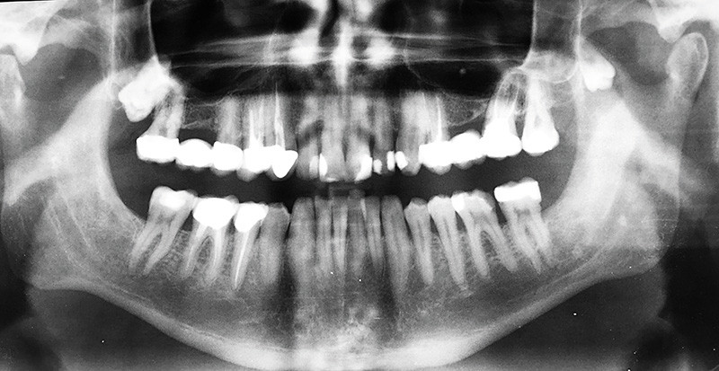
1. Quelles sont les propositions exactes au vu du panoramique et des clichés de face et de profil (fig. 1a et b)
a. 28 incluse en position ectopique
b. 38 incluse en position ectopique
c. 18 incluse

d. Lésion kystique maxillaire gauche intrasinusienne

2. Du fait de la difficulté de diagnostic, un examen tomodensitométrique est réalisé (fig. 2). Quelles sont les propositions exactes ?
a. 28 incluse en position ectopique
b. 38 incluse en position ectopique dans le coroné
c. 38 dans la fosse infratemporale gauche

d. Lésion kystique mandibulaire gauche au niveau du coroné

3. Du fait de l’existence d’une lésion kystique associée à l’inclusion de 38, l’indication opératoire est posée : quelle est la voie d’abord
pour l’avulsion de la 38 et l’énucléation du kyste ?
a. Voie d’abord endo-buccale mandibulaire gauche
b. Voie d’abord maxillaire supérieure gauche
c. Voie d’abord uni-coronale gauche

d. Voie d’abord jugale gauche
Réponses 1 : b et c ; 2 : b et d ; 3 : a

Commentaires

Il est impératif d’extraire 38 incluse ectopique (coroné) et d’énucléer la lésion kystique en rapport. Il est donc envisagé de réaliser une résection du coroné, ce qui permettra d’éviter une migration de la dent de sagesse dans la fosse infra-temporale (fig. 3).
L’intervention est réalisée sous anesthésie générale avec intubation orotrachéale ; mise en place d’une cale molaire controlatérale.

 
La voie d’abord est vestibulaire inférieure postérieure gauche remontant au niveau de la muqueuse jugale ; rugination de l’angle mandibulaire, corticale externe, du bord antérieur du ramus et de la corticale interne en sus-spigien.
Progressivement, une désinsertion musculaire est réalisée au niveau du coroné après repérage de l’échancrure du coroné.
L’ostéotomie est réalisée partant du bord antérieur du ramus jusqu’au niveau de l’échancrure. Un fil d’acier a été positionné au-dessus de l’ostéotomie de manière à…

Cet article est réservé aux abonnés.
Pour lire la suite :

Vous êtes abonné.e ? Connectez-vous
Mot de passe
oublié ?

Vous pouvez également :

Acheter l'article En version numérique

Thèmes abordés