À propos d’un cas clinique multidisciplinaire en zone esthétique

  • Par
  • Publié le . Paru dans L'Orthodontiste n°2 - 15 avril 2023 (page 30-36)
Information dentaire
Face à une demande esthétique, l’analyse de la situation doit être méthodique et rigoureuse afin de comprendre les raisons subjectives qui poussent le patient à consulter, mais aussi les signes cliniques objectifs qu’il est nécessaire de corriger. Ce travail d’analyse peut parfois nécessiter la consultation de plusieurs praticiens afin de combiner leurs différents champs d’expertise. Les indications/contre-indications, le rapport bénéfice/risque, la durée de traitement des différentes options thérapeutiques doivent être évalués, discutés et expliqués au patient. Le plan de traitement peut alors être validé et organisé.

Cet article présente la gestion multidisciplinaire d’une situation clinique complexe qui, après analyse, offre plusieurs options de traitement et différentes chronologies possibles. Les choix thérapeutiques seront argumentés, en particulier la stratégie orthodontique, sa chronologie et son apport au traitement implanto-prothétique.

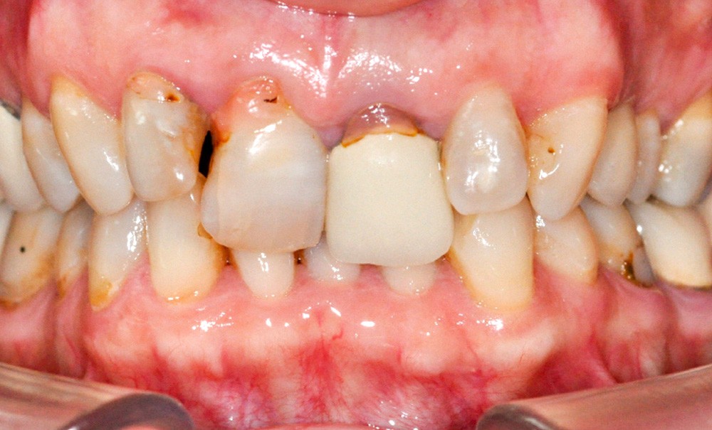
Mme Maryse D., âgée de 64 ans, se présente en consultation avec une forte demande d’amélioration esthétique de son sourire. La patiente est en bon état de santé général et non fumeuse.

Elle présente une ligne du sourire haute et découvre largement le parodonte lors d’un sourire forcé [1, 2], ce qui augmente le niveau d’exigence esthétique de la future restauration.

L’analyse du parodonte montre un biotype fin associé à quelques récessions modérées.

L’examen occlusal montre une classe II div 2 subdivision droite avec une forte linguo-version des deux incisives centrales maxillaires et, par voie de conséquence, des quatre incisives mandibulaires. La téléradiographie de profil met en évidence une typologie normodivergente sans décalage squelettique. La dimension verticale est correcte et la patiente ne souffre d’aucune dysfonction articulaire.

L’examen fonctionnel ne révèle aucune dysfonction ou parafonction.

L’examen dentaire clinique et radiologique montre la présence d’une couronne avec tenon radiculaire sur la 21. On remarque une infiltration bactérienne radiculaire qui nécessiterait une intervention, mais le faible pronostic mécanique de la dent oriente plutôt vers son extraction. L’incisive centrale 11 présente une récession gingivale disto-vestibulaire maquillée par une fausse gencive rose en résine, jugée disgracieuse. Les collets entre les deux incisives centrales ne sont pas symétriques. Les incisives latérales sont en légère rotation et sont porteuses d’anciennes et volumineuses restaurations en composite qui participent à l’inconfort esthétique de la…

Cet article est réservé aux abonnés.
Pour lire la suite :

Vous êtes abonné.e ? Connectez-vous
Mot de passe
oublié ?

Vous pouvez également :

Acheter l'article En version numérique
Acheter le numéro À l'unité

Thèmes abordés