Présentation du cas clinique
Il s’agit d’une patiente âgée de 33 ans, adressée par sa praticienne car « elle est dans un état pas possible ». La consœur téléphone avant sa visite au sujet d’un projet global associant orthodontie et prothèse. Elle précise que la patiente est en cours de soins (caries à soigner et couronne provisoire sur 37).
La patiente, institutrice, est très avenante, en bonne santé et sans antécédents médicaux particuliers. Elle vient d’accoucher de son troisième enfant et à présent, « il est temps [qu’elle] s’occupe [d’elle] ». Elle ne signale aucune limite financière.
L’hygiène est bonne. Malgré des récessions gingivales localisées (en regard de 55 et du bridge 24-26), son état parodontal général est bon. Aucune symptomatologie articulaire n’est dépistée.
Le bilan dentaire est incomplet (agénésies 12, 22, 15, 25), il y a une persistance de 55 sur l’arcade, un bridge secteur 2 (24-26) et l’absence de 28.
Les figures 1 et 2 présentent tous les éléments nécessaires au diagnostic.
Vues exobuccales (visage et sourire)
De face, les trois étages sont équilibrés. De profil, le menton est marqué et les lèvres en retrait par rapport à une ligne pointe du nez-menton. La patiente découvre peu ses dents mais ses lèvres sont bien dessinées et gracieuses. Le milieu inter-incisif ne coïncide pas avec le milieu de la lèvre supérieure. Les couronnes des incisives maxillaires ne sont pas totalement exposées lors du sourire. Les vues latérales du sourire sont caractéristiques d’une supraclusion sévère avec exposition gingivale et linguo-version dentaire (fig. 1a à d).
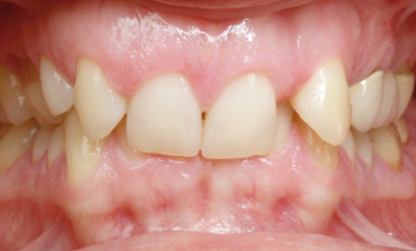
Vues endobuccales
De face en occlusion, on note l’absence des incisives latérales maxillaires. 13 est au contact de 11 et on observe deux diastèmes entre 21-23 et 23-24. Les canines sont très présentes, particulièrement 23 en version vestibulaire. Le recouvrement…
