À propos d’un cas d’œdème labial pas toujours si simple…

  • Par
  • Publié le . Paru dans L'Information Dentaire (page 33-36)
Information dentaire
Le chirurgien-dentiste est souvent en première ligne dans le dépistage des pathologies de la muqueuse buccale. Les lèvres représentent une zone frontière entre le milieu endobuccal et le revêtement cutané. À ce titre, le diagnostic des anomalies labiales est parfois difficile et peut conduire les patients à une certaine errance dans leur prise en charge.

Voici quelques semaines, nous vous proposions un numéro pluridisciplinaire célébrant les 40 ans de la faculté de Toulouse. Les six textes réunis illustraient ses missions d’enseignement, de recherche et de soins hospitaliers. Dans la continuité de ce numéro, nous publions aujourd’hui un nouvel article d’une équipe toulousaine, dédié à la pathologie de la muqueuse buccale. D’autres, dans des disciplines différentes, seront à découvrir prochainement.

Une patiente de 48 ans consulte pour une augmentation de volume de sa lèvre inférieure, évoluant depuis 4 mois. Cette tuméfaction s’accompagne de douleurs, en particulier lors de l’alimentation. Elle ne présente pas d’antécédent médico-chirurgical notable et a d’abord été traitée sans succès pour une allergie à un produit cosmétique (rouge à lèvres). Depuis quelques semaines, la tuméfaction labiale se complique d’une sensation d’accroissement gingival et de saignements gingivaux au brossage, ce qui motive sa consultation dentaire.
 

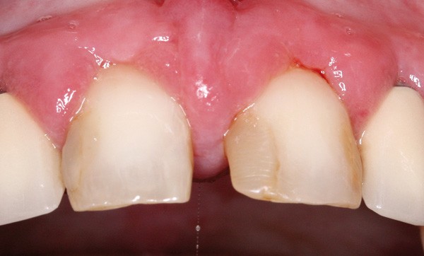
Examen clinique

L’examen clinique exobuccal objective la présence d’une tuméfaction généralisée de la lèvre inférieure et montre également une desquamation du versant cutané de cette lèvre inférieure. L’aspect cutané périlabial (couleur et texture) évoque une infiltration tissulaire. Il n’y a pas d’adénopathies satellites (fig. 1a à c).{{FIG1}}
 
L’examen clinique endobuccal montre un accroissement gingival situé au niveau de la gencive marginale et attachée, généralisé aux arcades maxillaire et mandibulaire, tant sur le versant vestibulaire que lingual. Le reste des muqueuses est strictement normal. La face dorsale de la langue est normale (fig. 2a et b).{{FIG2}}
 
L’interrogatoire ne rapporte pas d’antécédent de paralysie faciale. La chronicité de la lésion au moment de la consultation, ne permet pas de retenir un œdème d’origine allergique (œdème de Quincke ou angioneurotique).
 
La biopsie labiale montre…

Cet article est réservé aux abonnés.
Pour lire la suite :

Vous êtes abonné.e ? Connectez-vous
Mot de passe
oublié ?

Vous pouvez également :

Acheter l'article En version numérique

Thèmes abordés