À propos d’un cas ortho-paro

  • Publié le . Paru dans L'Orthodontiste n°2 - 30 avril 2018
Information dentaire
Alix Le Breton Interne en orthopédie dento-faciale des Hôpitaux de Paris, Hôpital Bretonneau, Paris Descartes
Mme R., 63 ans, est adressée en consultation d’orthodontie de l’hôpital Bretonneau (Paris 18e) par le Dr Chacun, parodontologiste à l’hôpital Albert-Chenevier (Créteil).

Examen clinique

Sur le plan exobuccal (fig. 1 à 2), la patiente présente un profil sous-nasal concave, une birétrochéilie et une bascule du plan d’occlusion en bas à droite.
 
Sur le plan squelettique, elle présente une classe I de Ballard sur un schéma facial normodivergent (fig. 3).
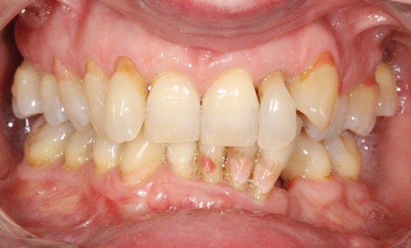
Sur le plan dentaire (fig. 4 à 8), elle présente une classe II subdivision gauche, un surplomb diminué et un recouvrement très augmenté. La formule dentaire est incomplète. Les incisives maxillaires et mandibulaires sont très linguoversées. Le milieu mandibulaire est dévié de 5 mm à gauche. À noter également, une DDM importante (en tenant compte du remplacement prothétique de 33 et 34).
 
Sur le plan parodontal, la patiente présente une parodontite chronique stabilisée généralisée modérée à sévère (fig. 9).

Discussion

Sans traitement, le risque principal est l’aggravation de la supraclusion [1] pouvant conduire à la perte prématurée de ses incisives mandibulaires [2] sans possibilité de réhabilitation prothétique du fait de l’absence d’espace prothétique suffisant.
 
Avec traitement, le pronostic est bon. Au niveau du profil une amélioration est à espérer en raison de la vestibuloversion incisive prévue. Malgré le traitement et la correction de la supraclusion, le pronostic reste réservé pour les incisives mandibulaires.
 
Les objectifs de traitement sont d’obtenir une classe I d’Angle bilatérale, une normalisation du surplomb et du recouvrement, un alignement des points inter-incisifs, une horizontalisation du plan d’occlusion et enfin un espace prothétique suffisant pour le remplacement prothétique de 33 et 34.
 
Un appareillage multi-attache bimaxillaire .022x.028 inches en technique pré-informée selon Roth a été utilisé. Le traitement a commencé par le collage de l’arcade maxillaire (fig. 10), puis de l’arcade mandibulaire après diminution de la supraclusion. Une minivis a été posée secteur 1, afin de…

Cet article est réservé aux abonnés.
Pour lire la suite :

Vous êtes abonné.e ? Connectez-vous
Mot de passe
oublié ?

Vous pouvez également :

Acheter l'article En version numérique
Acheter le numéro À l'unité

Thèmes abordés