1. Quel examen complémentaire demandez-vous en première intention ?
a) IRM
b) TDM
c) Ponction de la lésion
d) Échographie
e) Aucune des réponses
2. Quel est le diagnostic le plus probable ?
a) Kyste péricoronaire
b) Parotidite
c) Cémentome
d) Kératokyste
e) Aucune des réponses
3. Quels est le risque peropératoire ?
a) Atteinte de la branche inférieure du nerf trijumeau
b) Fracture mandibulaire
c) Hématome jugal
d) Parésie labiale inférieure gauche
Réponses : 1 : b ; 2 : d ; 3 : a
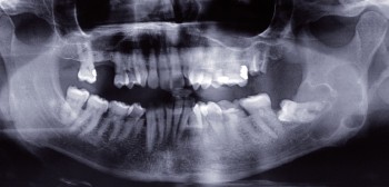
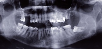
Le TDM retrouve une lésion lytique du ramus mandibulaire avec amincissement des corticales linguale et vestibulaire.
Une intervention chirurgicale à type d’exploration avec énucléation de la lésion et examen anatomopathologique est indiquée.
Commentaires
L’OPT est un outil de débrouillage indispensable pour tous les patients.
Sa lecture doit être systématique : état de la denture, structures osseuses environnantes, cavités aériques… Elle a l’avantage d’être bilatérale comparative.
Il faut également toujours comparer le cliché actuel aux clichés antérieurs pour évaluer l’évolution d’une lésion éventuelle de type granulome apical.
En pratique, le diagnostic des lésions du maxillaire et de la mandibule à partir des seuls éléments cliniques et radiologiques est difficile. Seule l’analyse histologique de toute la pièce opératoire permet d’affirmer la nature de la lésion.


