1. Quel diagnostic évoquez-vous ?
a. Un ostéome
b. Un améloblastome
c. Un odontome complexe
d. Un odontome composé
e. Aucune des propositions n’est exacte
2. Afin d’affirmer le diagnostic, quel(s) examen(s) complémentaire(s) prescrivez-vous ?
a. Bilan phosphocalcique
b. Radiographie pulmonaire
c. Scintigraphie osseuse
d. Numération de la formule sanguine
e. Aucune des propositions n’est exacte
3. Quelle sera votre conduite à tenir ?
a. Abstention et surveillance régulière
b. Réévaluation en denture définitive
c. Biopsie de la lésion
d. Énucléation avec curetage
e. Antibiothérapie
Réponses 1 : c ; 2 : e ; 3 : d
Commentaires
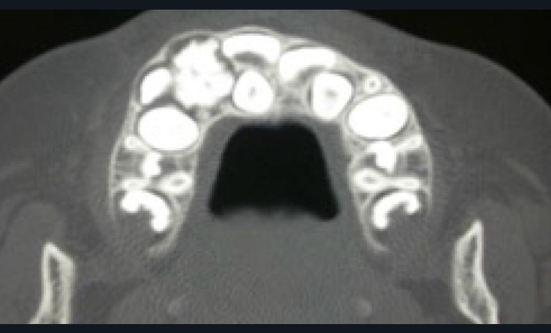
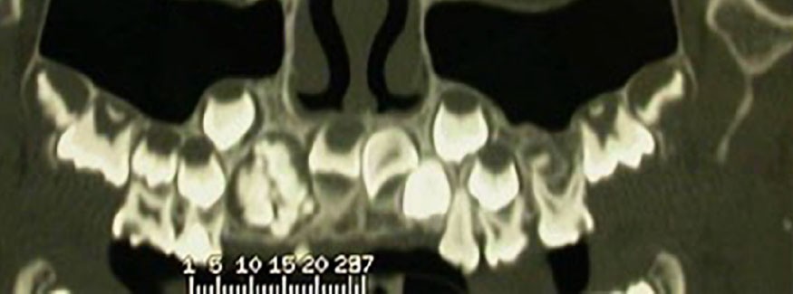
Les odontomes sont des tumeurs odontogéniques bénignes de type hamartomateux. Selon Broca, ils sont formés par une croissance excessive de l’ensemble des tissus dentaires compromettant parfois, lorsqu’ils se développent dans leurs trajets, l’éruption normale des dents.
Plusieurs facteurs étiologiques ont été évoqués parmi lesquels : traumatisme local pendant la période lactéale, infection, antécédents familiaux, anomalie héréditaire…
On distingue deux types :
– l’odontome composé, correspondant à une masse dont l’anatomie ressemble à une dent ou à un ensemble de petites dents rudimentaires assemblées en amas, le plus souvent dans la région antérieure du maxillaire ;
– l’odontome complexe, décrit comme une masse anarchique de matériaux dentaire, retrouvé plus fréquemment dans les régions molaires, prémolaires.
On note aussi l’existence d’un troisième type de tumeur, d’apparition rare, l’odontome fibreux améloblastique, généralement asymptomatique.
La découverte est souvent fortuite, à l’occasion d’un examen radiologique de routine ou à la suite de l’absence d’une dent sur l’arcade. Dans certains cas, une symptomatologie, de type douleurs, infections…

