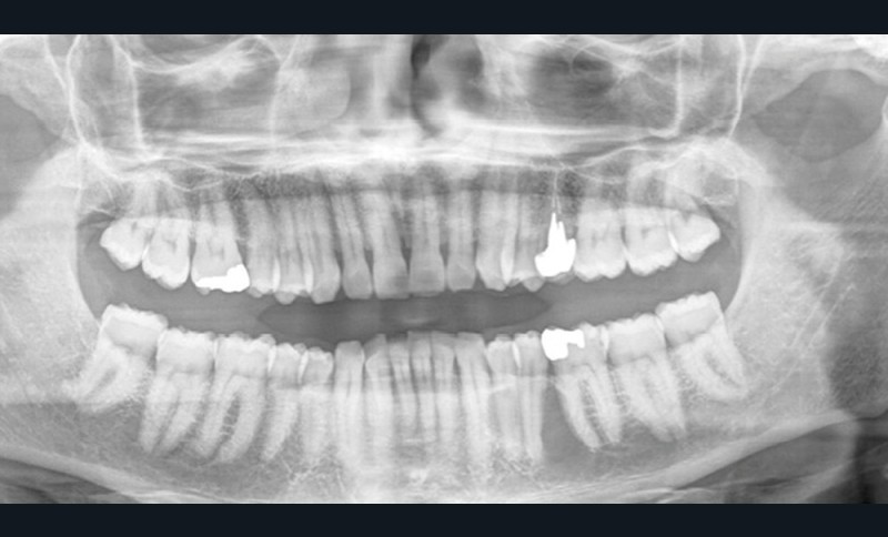
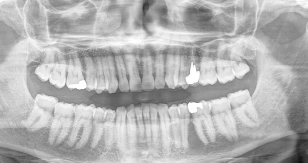
1. Que révèle le Cone Beam ?
a. Des corticales osseuses lysées
b. L’extension de la lésion au niveau du canal dentaire
c. Une rhyzalyse de la 35
d. Des limites lésionnelles mal définies
2. Quel diagnostic évoquez-vous ?
a. Un kyste apico-dentaire
b. Un kératokyste
c. Un sarcome
d. Un carcinome
3. Quelle attitude thérapeutique préconisez-vous ?
a. Le traitement endodontique de la 35
b. L’avulsion de la 35
c. L’abstention et surveillance
d. Une exploration chirurgicale
Réponses 1 : a ; 2 : b ; 3 : d
Commentaire
L’exploration chirurgicale de la lésion a été réalisée sous anesthésie locorégionale permettant de mettre en évidence, après ostectomie, une lésion kystique s’étendant sur les faces linguale et vestibulaire de 35 impliquant l’avulsion de cette dent. L’énucléation de la lésion, à distance du pédicule vasculo-nerveux alvéolaire inférieur, a été réalisée.
L’examen anatomopathologique a conclu à un kératokyste.
Le risque de récidive étant important, le patient a été prévenu de la nécessité de pratiquer un contrôle radiographique annuel par orthopantogramme (OPT), éventuellement complété par tomodensitométrie (TDM) ou tomographie volumétrique (cone beam CBCT).
L’ossification de la perte de substance osseuse est obtenue en 6 semaines mais ne sera visible sur les clichés radiographiques de contrôle que dans un délai de 6 à 9 mois.
Les kératokystes peuvent survenir à tout âge. Ils se manifestent par une voussure osseuse vestibulaire qui peut être douloureuse.
Radiologiquement, la lésion apparaît comme une clarté uni- ou multiloculaire bien limitée. Le diagnostic différentiel peut être posé avec l’améloblastome ; c’est la chirurgie qui permettra le traitement et la conclusion anatomopathologique.

