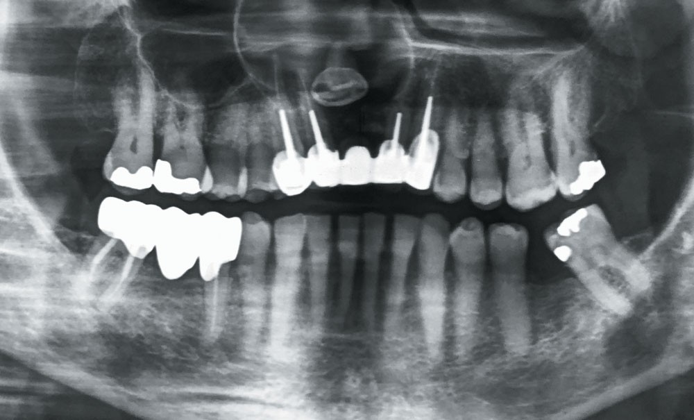
1. La panoramique (fig. 1) montre « une image » maxillaire antérieure. Il s’agit :
a. d’une image radioclaire maxillaire
b. d’une image radio-opaque maxillaire
c. d’un polype du sinus maxillaire droit
d. d’une dent incluse
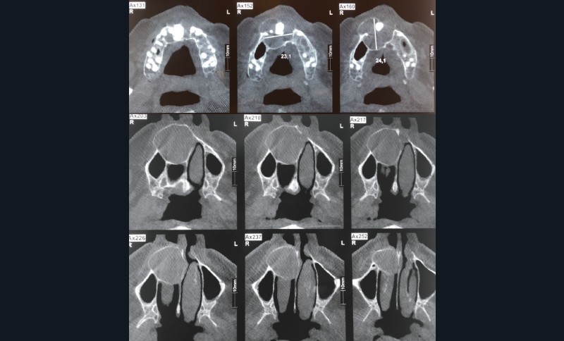
2. Le diagnostic de lésion kystique maxillaire étant posé, un examen tomodensitométrique est réalisé. Il met en évidence un volumineux kyste maxillaire antéro latéral droit (fig. 2 et 3).
Il existe :
a. une dent incluse
b. une lyse du plancher de la fosse nasale droite
c. une extension vers le sinus maxillaire droit
d. une lyse osseuse palatine
3. Votre proposition thérapeutique consiste en :
a. l’énucléation de la lésion kystique avec avulsion de la dent incluse
b. la résection du maxillaire antérieur avec dépose du bridge antérieur
c. une marsupialisation de la lésion kystique
d. l’exérèse de la lésion par voie palatine
Réponses : 1. a, d ; 2. a, b, d ; 3. a
Commentaires
L’intervention, réalisée par une voie d’abord vestibulaire, a permis d’énucléer la lésion tout en respectant la muqueuse du plancher de la fosse nasale droite.
Du fait de l’existence d’une « coque osseuse », nous avons évité de cureter le sinus maxillaire droit. La fibromuqueuse palatine a été préservée, évitant la constitution d’une communication bucco-nasale. Le bridge a été conservé.
Une reconstruction maxillaire a été faite par un bloc osseux allogénique, dans le même temps opératoire.
Le site sera réévalué dans 9 mois par un cliché panoramique et par un examen tomodensitométrique éventuel afin de mieux apprécier la reconstruction osseuse.
L’examen anatomopathologique a conclu à un kyste dentigère.

