À propos d’une lésion radio-opaque

  • Par
  • Publié le . Paru dans L'Information Dentaire (page 31-32)
Information dentaire
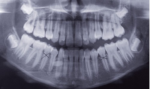
Une jeune patiente de treize ans est adressée par son orthodontiste à la suite de la découverte fortuite, à l’orthopantomogramme (OPT), d’une lésion radio-opaque (fig. 1).

1. Quelle est votre première orientation diagnostique ?
a) Odontome
b) Torus mandibulaire
c) Lithiase salivaire
d) Canine incluse
e) Aucune des réponses

La patiente ne présente pas d’antécédent médico-chirurgical. Le palper bidigital met en évidence une masse centimétrique, dure, mobile, au niveau du plancher buccal droit. L’expression de la glande submandibulaire droite ne fait pas apparaître de salive à l’ostium du canal de Wharton. Un examen tomodensitométrique (TDM) est réalisé (fig. 2).

Il met en évidence une opacité se projetant au niveau du tiers moyen du plancher buccal.

2. Quels signes cliniques peuvent être retrouvés dans le cadre d’une lithiase salivaire submandibulaire ?
a) Gonflement de la glande submandibulaire au cours des repas
b) Issue de pus à l’orifice du canal de Sténon
c) Issue de pus à l’orifice du canal de Wharton
d) Douleurs sous-mandibulaires droites contemporaines des repas
e) Aucune des réponses

3. En quoi consiste le traitement chirurgical ?
a) Exérèse du calcul par voie endobucccale
b) Submandibulectomie
c) Drainage du plancher buccal
d) Drainage cervical
e) Aucune des réponses

4. Quelle complication postopératoire peut survenir ?
a) Paralysie linguale
b) Xérostomie
c) Paralysie faciale
d) Hypersialorrhée
e) Aucune des réponses

Réponses : 1. a ; 2. a, c, d ; 3. a ; 4. a

Commentaires

La lithiase salivaire est une pathologie fréquente qui survient généralement après 30 ans, mais peut s’observer à tout âge.
Elle concerne toutes les glandes salivaires, préférentiellement la glande submandibulaire (70 %), plus rarement le parotide (29 %).
Elle est le plus souvent révélée par un épisode mécanique de rétention salivaire (colique ou hernie salivaire), parfois infectieux (périwhartonite, sous-maxillite). Dans le cas clinique exposé, sa découverte est fortuite.

Exceptionnellement, c’est l’OPT qui permet le diagnostic positif, mettant en évidence une image radio-opaque se projetant au niveau…

Cet article est réservé aux abonnés.
Pour lire la suite :

Vous êtes abonné.e ? Connectez-vous
Mot de passe
oublié ?

Vous pouvez également :

Acheter l'article En version numérique

Thèmes abordés