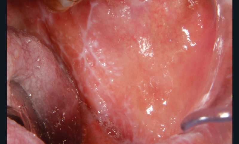
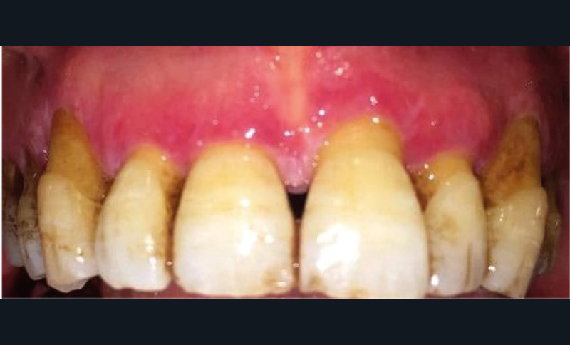
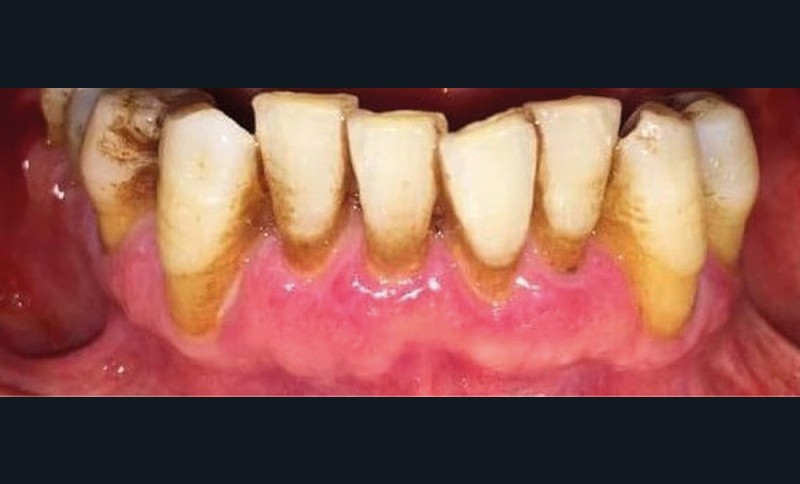
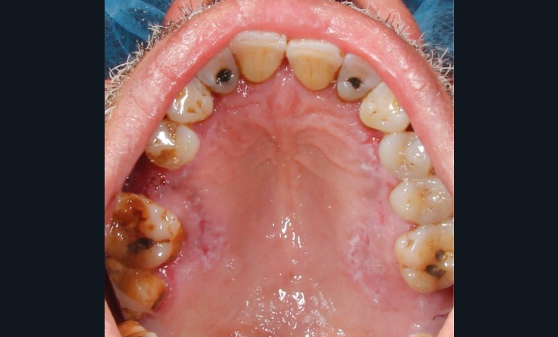
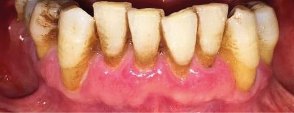
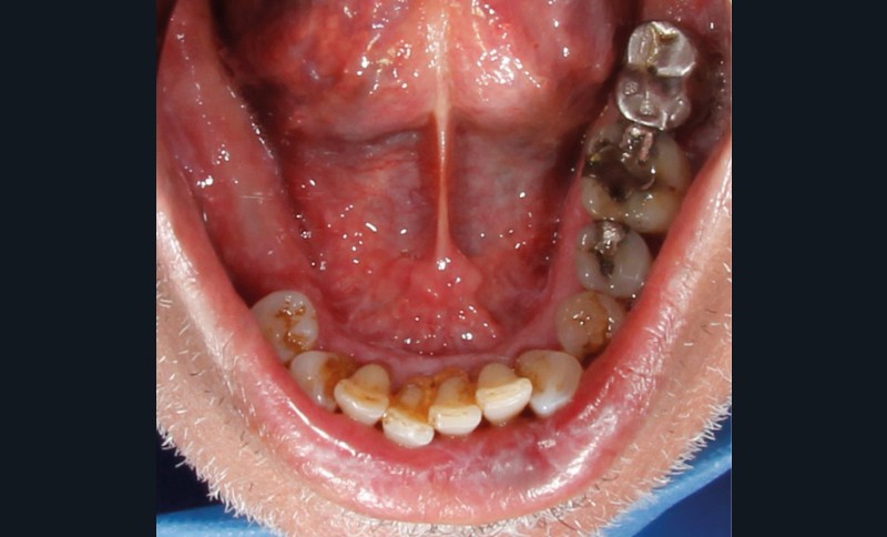
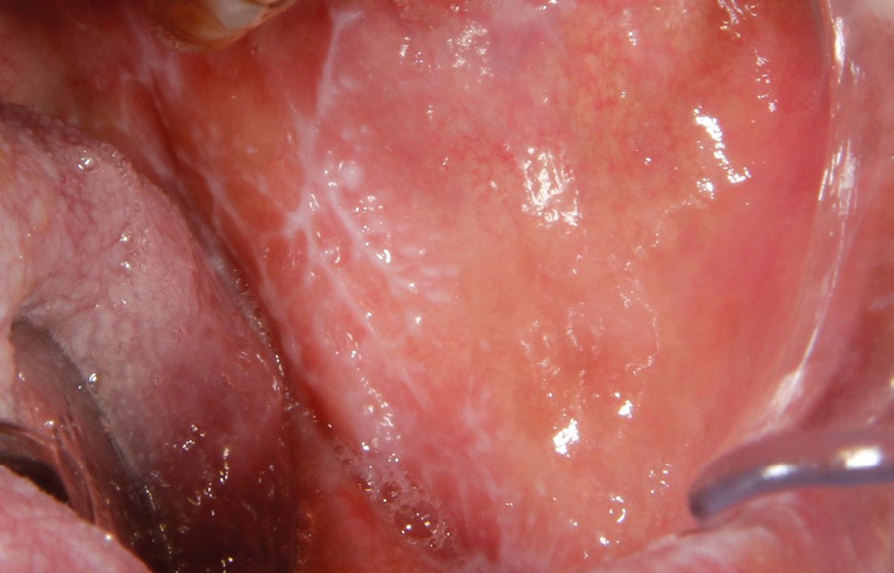
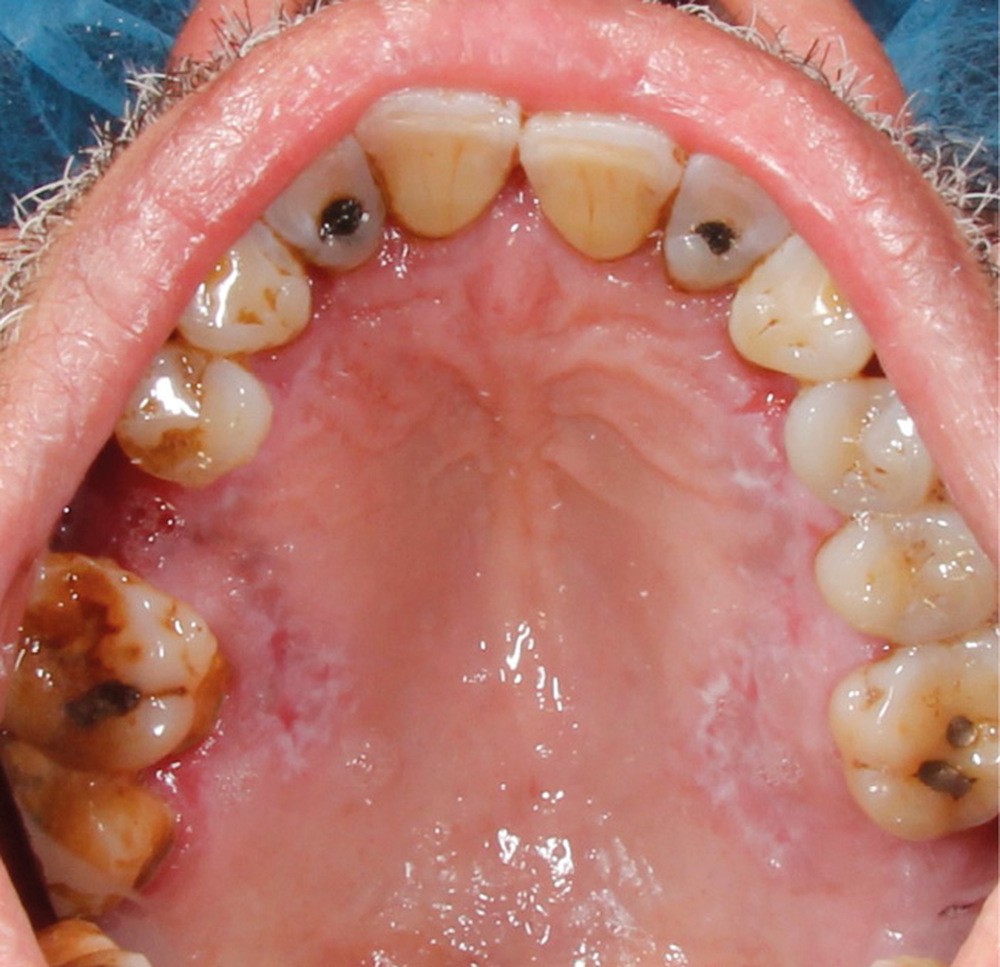
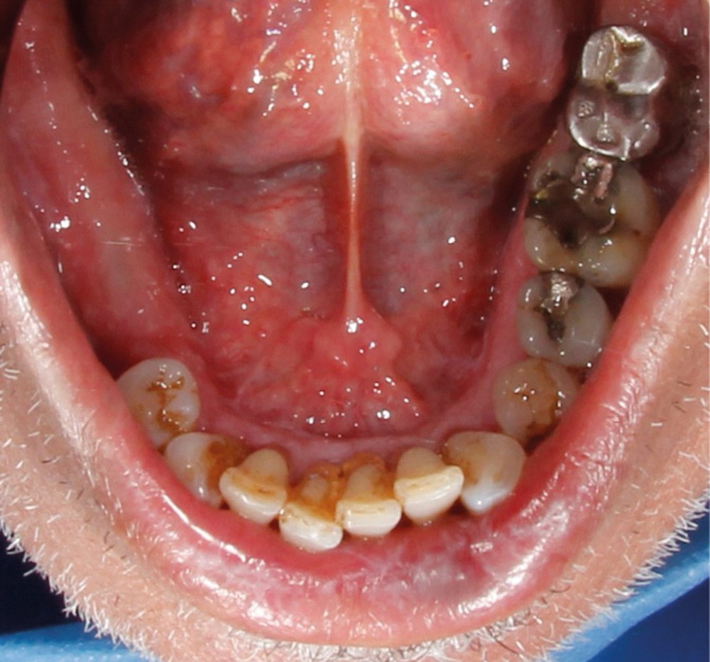
À l’interrogatoire, le patient affirme qu’il a des difficultés à maintenir une hygiène bucco-dentaire satisfaisante du fait des douleurs, et n’a pas pu consulter son chirurgien-dentiste pour son détartrage annuel en raison de la crise sanitaire en cours. L’examen clinique révèle une parodontite chronique (stade 3) généralisée et des lésions jugales (fig. 1 et 2), labiales (fig. 3) et gingivales (fig. 4) érythémateuses et kératosiques. Les lésions kératosiques jugales sont de type réticulé (fig. 1 et 2) ; les lésions kératosiques labiales sont associées à de petites érosions (fig. 3) ; les lésions palatines à des ulcérations (fig. 5). La langue présente une lésion blanche en « tache de bougie » (fig. 6) ; la muqueuse du plancher buccale est saine (fig. 7). Le signe de la pince est négatif. Le patient n’est pas porteur de prothèse dentaire malgré un édentement de moyenne étendue. Aucune lésion cutanée ou génitale n’est rapportée par le patient.
1/ Quelle est votre hypothèse diagnostique ?
a. Leucoplasie
b. Tic de morsure (Morsicatio buccarum)
c. Lichen plan (LP)
d. Pemphigoïde cicatricielle
e. Candidose
2/ Quel(s) examen(s) complémentaire(s) faut-il réaliser ?
a. Biopsie jugale et examen anatomopathologique
b. Biopsie et immunofluorescence directe (IFD)
c. Numération Formule Sanguine (NFS)
d. Frottis
e. Aucun des examens
3/ Quel(s) traitement(s) préconisez-vous ?
a. Antibiothérapie durant 7 jours
b. Infiltration sous-lésionnelle de corticoïdes
c. Corticothérapie locale en bain de bouche
d. Exérèses chirurgicales
e. Aucune des propositions
Réponses 1 : c ; 2 : a ; 3 : b-c
Commentaires
1/ Quelle est votre hypothèse diagnostique ?
Le diagnostic le plus probable est le lichen plan (LP). On note, au niveau jugal, une kératinisation en réseau marquée par les stries de Wickman. Un phénomène de Koebner (exacerbation…







