RÉSUMÉ
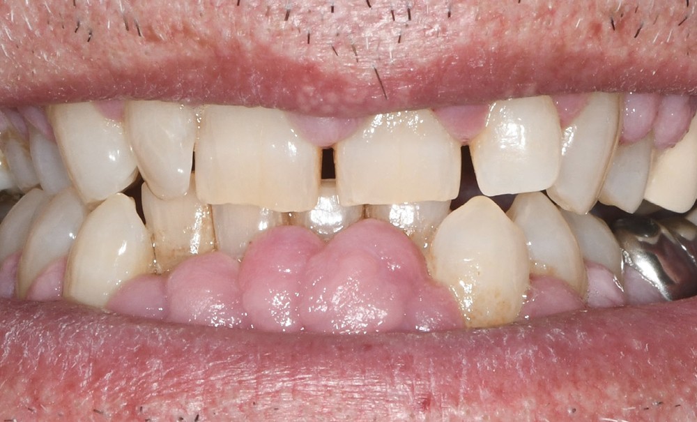
Devant l’augmentation continue des prescriptions médicamenteuses, la gestion de leurs effets secondaires implique une coopération entre professionnels de santé, y compris les chirurgiens-dentistes, et ce également lorsque ces derniers ne sont pas à l’origine de la prescription. La prise en charge de Monsieur T. nous a appris que l’abord médical, combiné à la patience, pouvait donner des résultats surprenants. Devant son accroissement gingival sévère d’origine médicamenteuse, recouvrant les trois quarts de la couronne des incisives mandibulaires et de certaines molaires, aucune chirurgie n’aura été nécessaire pour retrouver une situation saine. Notre prise en charge des accroissements gingivaux médicamenteux a, depuis notre rencontre avec Monsieur T., évolué. Et la vôtre ?
Au sein des gingivites induites par la plaque, l’accroissement gingival d’origine médicamenteuse (AGM) est la dénomination retenue dans la classification de Chicago des maladies parodontales (2017 [1]). Cette dénomination est ainsi préférée à celles d’hypertrophie ou d’hyperplasie gingivale car elle ne présume pas des mécanismes pathologiques impliqués.
L’AGM est un effet secondaire bien connu de certaines familles de médicaments que sont les inhibiteurs calciques, couramment prescrits dans un contexte d’hypertension artérielle ; les anticonvulsants (antiépileptiques) à base de phénytoïne ou d’acide valproïque ; enfin les immunosuppresseurs, notamment la ciclosporine, prescrite le plus souvent dans un contexte de transplantation d’organe (tableau 1).
Bien que la molécule impliquée soit différente, les caractéristiques cliniques, histologiques et physiopathologiques sont similaires [2].
Caractéristiques cliniques
Les premières manifestations cliniques de l’AGM apparaissent en général 1 à 3 mois après le début d’un traitement médicamenteux (mais peuvent débuter bien…
