CAS 1
Motif de la consultation. Patiente de 25 ans venue consulter pour un accroissement gingival saignant au moindre contact.
Histoire de la maladie. La patiente décrivait une augmentation progressive du volume gingival dans le secteur 3, non douloureux, qui gênait le brossage des dents depuis un an.
Interrogatoire. La patiente était en bonne santé. Elle présentait un angiome plan cutané (malformation capillaire) de la face s’étendant sur la joue gauche et dans la région sous-mandibulaire. La lésion avait été diagnostiquée à l’âge d’un an. Un traitement par laser à colorant pulsé avait été réalisé dans l’enfance mais les lésions persistaient. Un simple traitement cosmétique (maquillage) était réalisé.
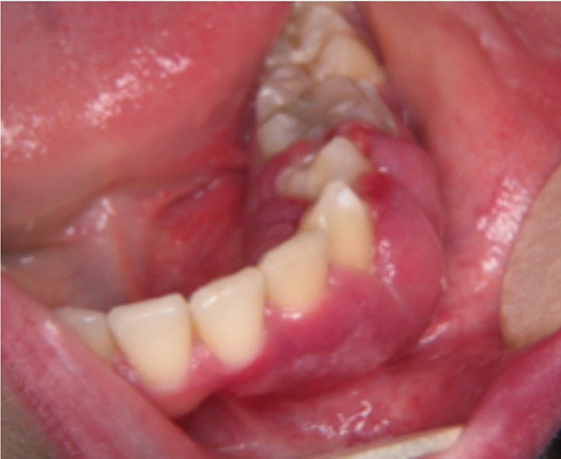
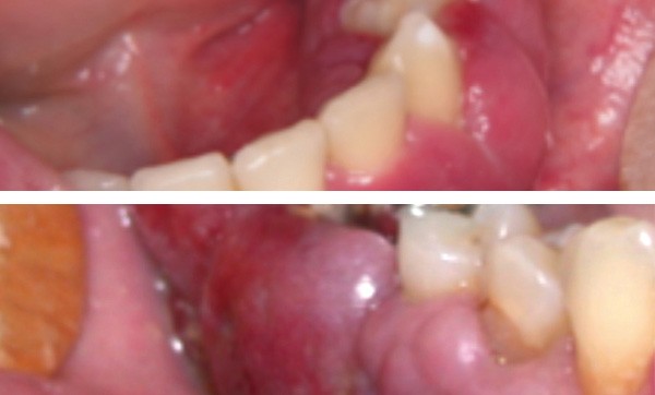
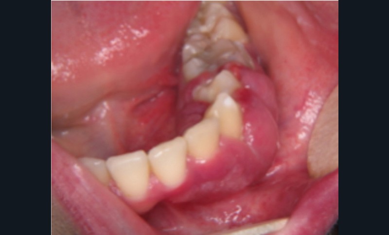
Examen clinique. Sous le maquillage, l’inspection exo-buccale révélait sur la joue gauche une lésion angiomateuse de couleur rouge. L’examen endo-buccal montrait un accroissement gingival violine qui s’étendait de 31 à 36. La palpation mettait en évidence une lésion légèrement molle, non pulsatile, saignant facilement.
Examen paraclinique. Une biopsie a été réalisée et l’examen anatomopathologique a révélé de nombreuses cavités vasculaires de taille variable dont la paroi mince était constituée d’un simple endothélium ; cet aspect est compatible avec celui d’une malformation veineuse.
Synthèse. La classification des lésions vasculaires distingue les hémangiomes du nourrisson qui régressent spontanément et les malformations vasculaires qui perdurent. Parmi les malformations vasculaires, on différencie : les malformations vasculaires à flux lent (capillaires, veineuses et lymphatiques) et les malformations vasculaires à flux rapide (artério-veineuses). Les malformations vasculaires se manifestent par une coloration bleutée, violacée ou rouge de la muqueuse buccale. Les plus fréquentes sont les malformations veineuses. La patiente présentait une malformation…
