Adapter sa stratégie thérapeutique aux caractéristiques de l’infraclusion antérieure

  • Par
  • Publié le . Paru dans L'Orthodontiste n°3 - 15 juin 2022 (page 62-64)
Information dentaire

Comme le montrent les différents articles des deux numéros coordonnés par Sarah Chauty consacrés à l’infraclusion antérieure, les orthodontistes disposent aujourd’hui d’un large panel de moyens thérapeutiques parfois complémentaires pour traiter la béance. Il est ainsi possible d’adapter la prise en charge au patient et à sa malocclusion.

Plus les possibilités thérapeutiques sont nombreuses, plus nous devons affiner nos critères de choix et préciser l’intérêt, les limites et les risques de chacune de ces possibilités dans le cas de notre patient.

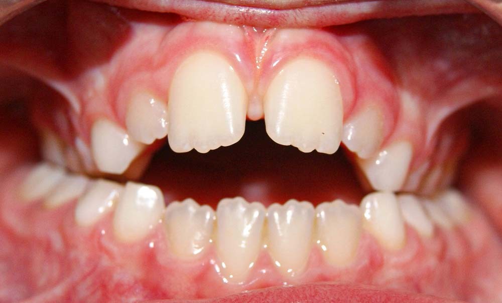
Au-delà des spécificités de chaque patient, liées à sa personnalité ou à des problèmes de santé, quelques caractéristiques de la malocclusion et de ses répercussions faciales peuvent orienter notre thérapeutique. Face à une béance antérieure, comme face à d’autres malocclusions, quatre éléments contribuent à guider nos choix thérapeutiques : la composante fonctionnelle de la malocclusion, la composante squelettique, l’impact esthétique sur le visage et le sourire, et l’environnement parodontal.

La composante fonctionnelle

Des comportements dysfonctionnels sont présents dans toute béance antérieure, qu’ils en soient l’étiologie ou la conséquence. La fermeture buccale est indispensable à la déglutition. Quand elle ne peut être obtenue par l’occlusion dentaire, des comportements linguaux et labiaux dysfonctionnels l’assurent.

Cette omniprésence d’un facteur fonctionnel dans les béances antérieures justifie leur prise en charge et leur correction par une rééducation, avec ou sans appareil, en fonction de la sévérité de l’infraclusion, mais aussi une surveillance constante tout au long du traitement et même au-delà. Les récidives de ces comportements dysfonctionnels sont fréquentes, avec un impact plus ou moins marqué sur le recouvrement.

Quand la pulsion linguale est à l’origine de la béance, elle entraîne une vestibuloversion…

Cet article est réservé aux abonnés.
Pour lire la suite :

Vous êtes abonné.e ? Connectez-vous
Mot de passe
oublié ?

Vous pouvez également :

Acheter l'article En version numérique
Acheter le numéro À l'unité

Thèmes abordés