Cas clinique n° 2
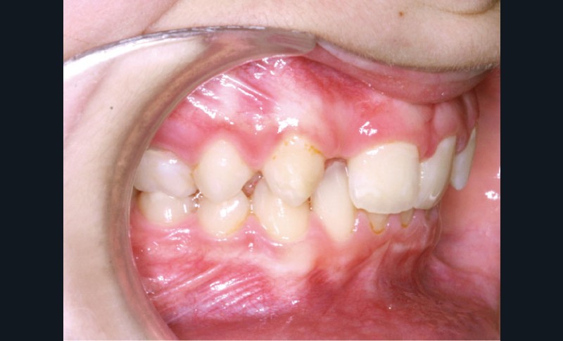
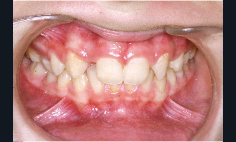
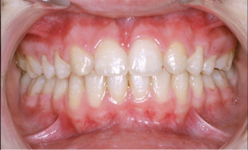
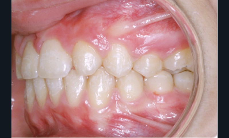
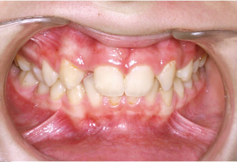
Ludivine T. âgée de 12 ans et demi présente une agénésie des deux incisives latérales maxillaires dans un contexte occlusal de classe II division 2 (fig. 1 à 3).
L’examen clinique exo-buccal révèle un visage équilibré en classe I squelettique tendance hypodivergente. De profil, le menton est marqué et le profil sous nasal très légèrement concave (fig. 1).
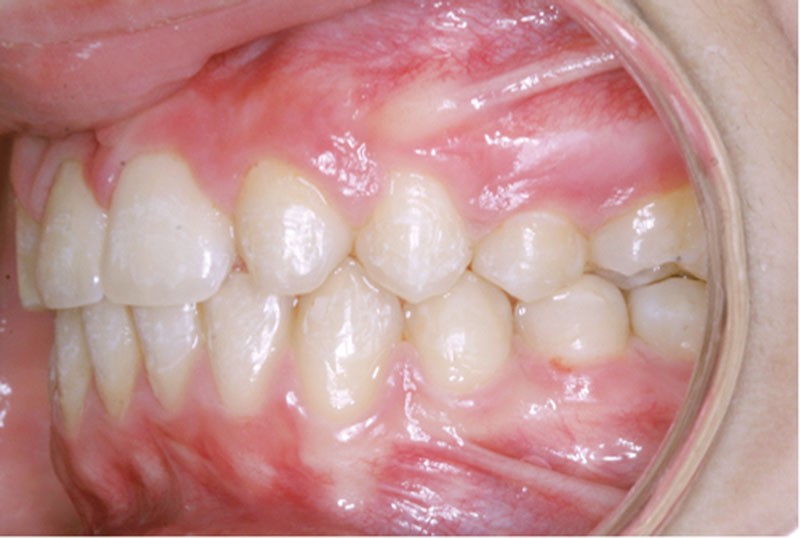
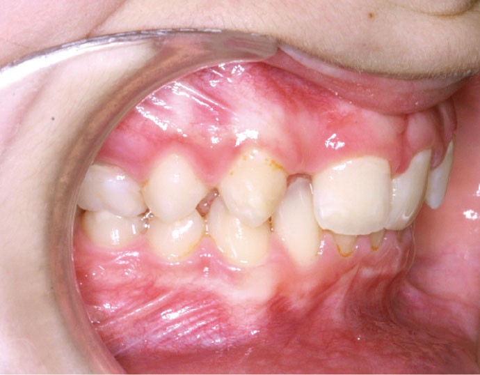
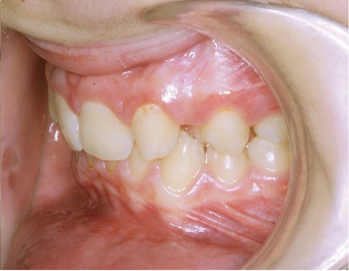
Les vues endo-buccales (fig. 2) montrent la classe II division 2 occlusale associée à une forte supraclusion incisive et l’évolution spontanée de 13 et 23 pratiquement en place de 12 et 22. Il persiste cependant un diastème disgracieux entre 13 et 11.
Le contexte de classe II occlusale, l’évolution spontanée mésiale des 13 et 23 et le diamètre mésio-distal favorable des canines conduisent au choix d’une thérapeutique par fermeture orthodontique des espaces d’agénésie avec substitution de 13 et 23 en place de 12 et 22. Le traitement de l’arcade mandibulaire ne nécessitant pas d’extraction, l’occlusion de fin de traitement sera donc une classe II molaire thérapeutique.
La difficulté du traitement réside dans la correction de la supraclusion incisive et surtout le contrôle de l’inclinaison des incisives maxillaires pour assurer un soutien suffisant des lèvres et limiter les risques de récidive.
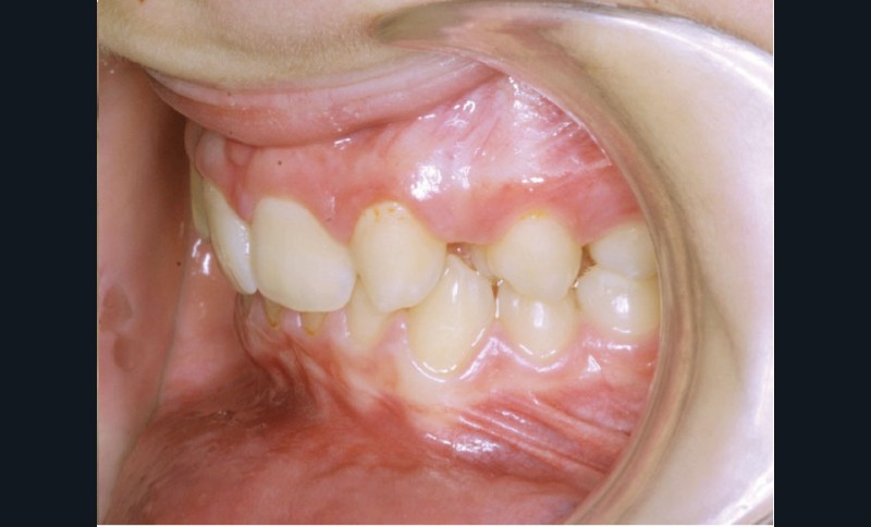
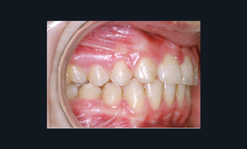
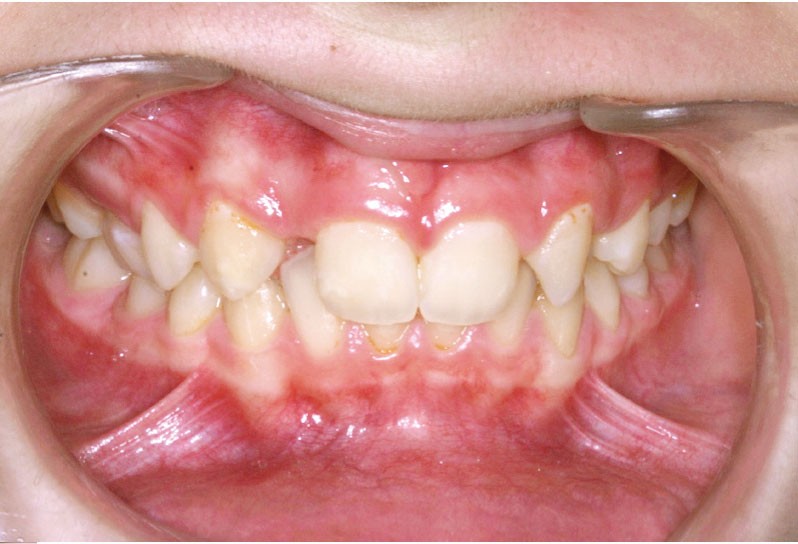
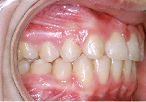
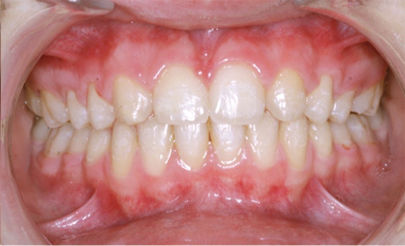
Les photographies de fin de traitement (fig. 4 et 5) montrent la préservation de l’équilibre facial et le respect du profil sous-nasal qui, malgré la croissance, ne s’est pas creusé. Le sourire est très harmonieux et révèle, comme les photographies endo-buccales, la très bonne intégration des canines substituées, après légère coronoplastie de leur pointe.
L’occlusion…












