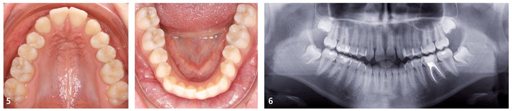
La jeune patiente présente, à l’examen clinique extra-oral, une tendance classe III qui se traduit par une protrusion de la lèvre inférieure de profil, et un menton très présent lors du sourire (fig. 1). À l’examen intra-oral, l’arcade maxillaire est en V, les incisives latérales permanentes droite (12) et gauche (22) sont manquantes et les espaces presque refermés. À l’arcade mandibulaire, un léger encombrement incisif est présent. En occlusion, elle présente une classe I molaire et canine et une occlusion inversée antérieure qui se prolonge à droite sur la première prémolaire (14) (fig. 2 à 5).
La radiographie panoramique (fig. 6) confirme le diagnostic d’agénésies des incisives latérales maxillaires et indique la présence de lésions carieuses proximales sur les molaires mandibulaires, à soigner avant de débuter le traitement.
L’examen de la téléradiographie de profil révèle une classe I squelettique (ANB = 1°) dans un contexte normodivergent (FMA = 23°). On note l’incisive maxillaire à 103° et l’incisive mandibulaire à 97° (fig. 7).
En conclusion, l’impression de classe III n’est pas validée par l’examen clinique et radiologique, elle est causée par les agénésies des incisives latérales et la position rétruse des incisives maxillaires.
Discussion et traitement
Comme dans toutes les situations d’agénésies, la question ouverture/fermeture s’est posée et le débat a permis de faire émerger deux solutions :
1. Une solution « Ouverture » des espaces d’agénésies avec un remplacement prothétique en fin de traitement par des bridges sur attelles fibrées [1]. Le développement de l’arcade maxillaire, associé à un contrôle par minivis de la classe III [2] permettra de repositionner la lèvre supérieure par rapport à la lèvre inférieure. La quantité…


