Les lésions blanches non détachables kératosiques sont provoquées par l’anomalie du processus normal de kératinisation. Pour leur part, les lésions non kératosiques sont liées à l’augmentation de l’épaisseur du corps de l’épithélium ou à la présence de structures physiologiques dans le conjonctif.
Lésions kératosiques non détachables
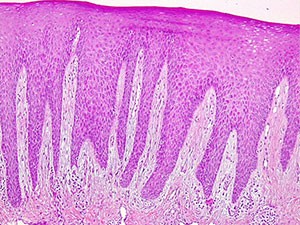
Ces lésions présentent une étiologie très variée ; leur couleur blanche est d’autant plus franche que la couche de kératine est épaisse et orthokératinisée (fig. 1), couche formée de cellules dépourvues de noyau recouvrant la couche granuleuse.
Parfois, cette couche de kératine est dite parakératinisée (kératinisation incomplète), sans couche granuleuse sous-jacente, les cellules gardant leur noyau jusque dans les couches superficielles (fig. 1).
Les kératoses congénitales qui font partie de ces lésions kératosiques, mais qui sont trop rares, ne seront pas développées dans ce chapitre. De même, le terme de leucoplasie, trop vague et cliniquement ambigu sera seulement évoqué. Selon l’OMS, cette terminologie traduit uniquement une kératose d’origine inconnue (idiopathique), or elle est trop souvent usitée pour parler des différentes kératoses et prête donc à confusion, nous lui préférerons le terme de kératose ou leucokératose [1].
Kératoses réactionnelles
Elles correspondent à une réaction de défense de la muqueuse, la kératose constituant la réponse physiologique de l’épithélium face à une agression chronique dont l’élimination doit faire disparaître la lésion en une dizaine de jours.
Les causes mécaniques sont les plus fréquentes. Il peut s’agir d’une dent fracturée (fig. 2) ou cariée, d’une prothèse mal adaptée, usée, d’un appareil d’orthodontie traumatique, ou de mastication sur les crêtes édentées (fig. 3).
[gallery link= »file » columns= »1″…

