La ligne du sourire varie d’un patient à l’autre et pour un même patient en fonction de sa phase du sourire plus ou moins posée ou spontanée. L’exposition de la gencive est donc variable et seul un rapport dento-gingival équilibré donne une harmonie satisfaisante.
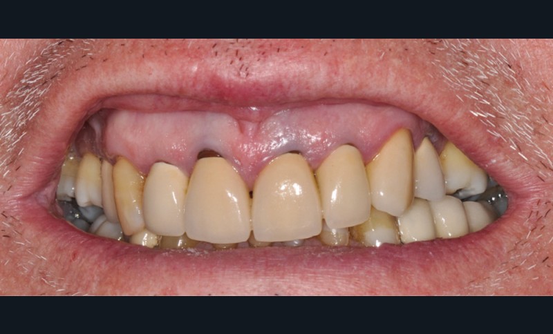
Dans l’esthétique dento-parodontale, la ligne des collets joue un rôle essentiel. Une ligne de collets asymétrique due à une couronne dentaire trop courte, une malposition dentaire, ou une récession perturbe l’équilibre nécessaire à un beau sourire et expose parfois des racines dyschromiées ou des limites prothétiques (fig. 1). Des techniques de chirurgie muco-gingivale pour obtenir un recouvrement radiculaire ou des techniques soustractives permettent d’améliorer l’indice esthétique du sourire.
Aligner les collets par une technique de recouvrement : quelle chirurgie plastique ?
Les récessions parodontales intéressent 25 à 30 % des patients et provoquent, au-delà de l’aspect inesthétique, une peur de perdre des dents et des sensibilités parfois invalidantes. Elles sont donc un fort motif de consultation. Le pourcentage de recouvrement, s’il reste important (60 % du score esthétique), n’est pas le seul critère retenu [1,2]. Les rapport entre tissus mous et dents, entre « rose et blanc », s’évaluent dent par dent mais dans le cadre d’une analyse esthétique globale du sourire.
Le Smile Esthetic Index [3] est donc l’un des outils à utiliser. La ligne du sourire, la position de la ligne médiane du visage, l’alignement des dents, la forme des dents, une dyschromie des dents ou gingivale, la présence d’une récession ou un excès de tissu, une cicatrice gingivale et une perte de papille et/ou un diastème sont essentiels à noter.
Lorsque des dénudations sont présentes, leur perception négative troublant l’alignement des collets passe aussi par la position des récessions, leur hauteur, la présence de lésions cervicales…
