Amélioration de l’esthétique d’un sourire gingival asymétrique grâce à la chirurgie plastique parodontale

  • Par
  • Publié le . Paru dans L'Orthodontiste, Parodontologie Implantologie Orale, un nouveau regard n°2 - 15 mai 2023 (page 10-18)
Information dentaire
Cet article présente un cas clinique de sourire asymétrique chez une patiente avec pathologie cardiaque et vasculaire, puis diagnostic du sourire gingival lié à une éruption passive incomplète et, enfin, son traitement par chirurgie plastique parodontale avec présentation des résultats à 3 mois.

 

RÉSUMÉ

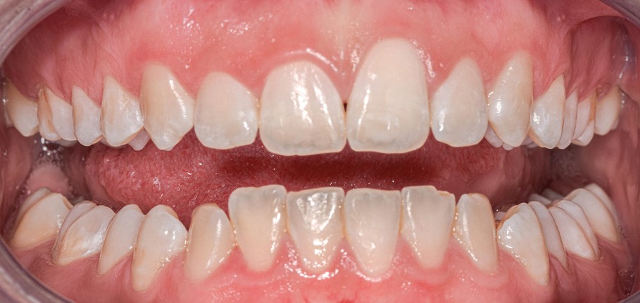
Une patiente de 19 ans atteinte de pathologie cardiovasculaire, en bonne santé parodontale, nous a consultés pour corriger une asymétrie du sourire qui la complexait.
Après un examen clinique minutieux, le diagnostic de sourire gingival classe I de Parodontia lié à une éruption passive altérée de type I a été établi.
Le traitement classique est la gingivectomie associée à une ostéotomie. Cependant, plusieurs stratégies thérapeutiques étaient envisageables : intervenir sur l’arcade maxillaire complète, se focaliser sur le secteur antérieur ou bien intervenir uniquement sur les dents dont la hauteur coronaire était inférieure à la moyenne physiologique.
Notre choix s’est porté sur une intervention chirurgicale parodontale la moins invasive possible, en utilisant une gouttière thermoformée souple. Cette approche a permis l’amélioration objective de l’esthétique du sourire de la patiente.

De nos jours, la demande esthétique des patients est de plus en plus forte car avoir un « beau sourire » est synonyme de santé et de bien-être [1].

Les critères esthétiques et parodontaux participent de façon égale à la construction de l’esthétique du sourire [2]. C’est pourquoi la parodontie – et plus spécifiquement la chirurgie plastique parodontale – occupe une place importante dans l’arsenal thérapeutique à disposition des praticiens.

Le sourire gingival classe I de Parodontia [3], caractérisé par la visibilité d’un bandeau de plus de 3 mm de gencive, n’est pas perçu comme agréable à l’œil. Ses étiologies sont multiples et peuvent être combinées. On retrouve l’accroissement gingival [4], l’excès maxillaire antérieur [5] ou encore l’éruption passive altérée [6].

L’éruption passive altérée (EPA) est définie comme une anomalie du développement qui aboutit au recouvrement d’une partie des couronnes dentaires par la gencive. Ainsi, les dents ont une forme plus carrée…

Cet article est réservé aux abonnés.
Pour lire la suite :

Vous êtes abonné.e ? Connectez-vous
Mot de passe
oublié ?

Vous pouvez également :

Acheter l'article En version numérique
Acheter le numéro À l'unité

Thèmes abordés

Sur le même sujet

Parodontologie

Article réservé à nos abonnés De la muco-esthétique à la muco qui sauve les dents

Le concept PASS au cœur de l’innovation parodontale La chirurgie plastique parodontale a connu une évolution notable, alliant avancées cliniques et technologiques...
Parodontologie

Article réservé à nos abonnés Séance SFPIO – Quelles sont les bonnes pratiques en parodontologie en 2024 ?

Responsable scientifique : Caroline Fouque Intervenants : Damien FEUILLET, Hélène RANGé, Nicolas BLANC-SYLVESTRE La parodontologie au croisement des disciplines Toutes sévérités confondues, les...