L’amélogenèse imparfaite, nom donné à un groupe hétérogène de pathologies affectant le développement de l’émail des deux dentures, a pour origine la mutation d’un gène impliqué dans l’amélogenèse [1, 2]. Plus de 200 mutations ont été identifiées, ce qui explique des caractéristiques cliniques relativement diverses. Selon Parekh et coll. [3], les demandes des patients atteints de cette pathologie sont principalement esthétiques (77 %), et axées sur le soulagement des hypersensibilités (74 %). Cette maladie peut avoir un impact psychologique important sur la qualité de vie des patients [4].
Cas clinique
Présentation
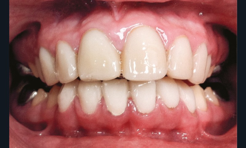
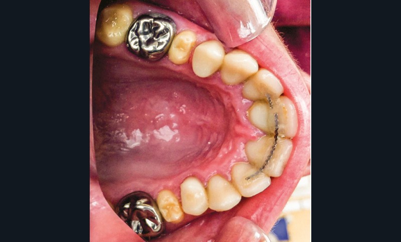
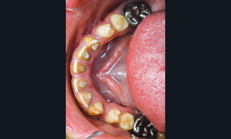
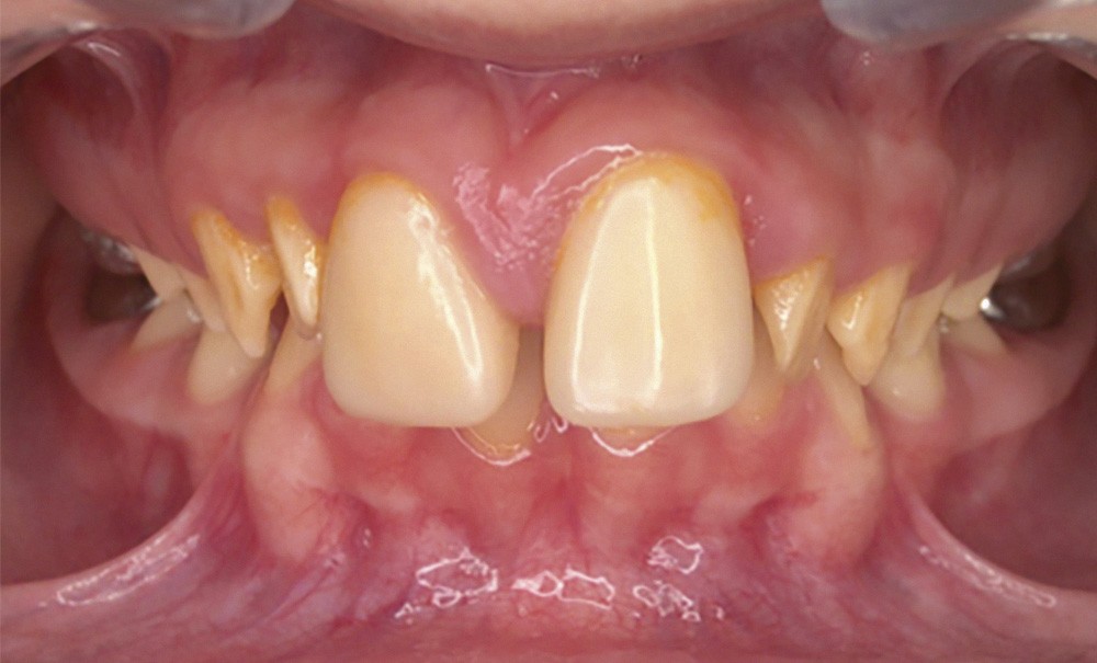
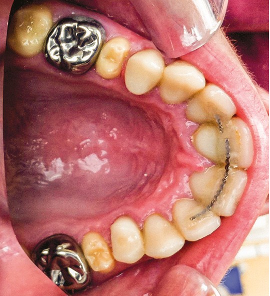
Une patiente âgée de 12 ans a été adressée au cabinet pour « une prise en charge complète sur le long terme » par son praticien traitant. Elle était accompagnée par sa mère. Elle présentait des couronnes transitoires en résine sur le secteur incisivo-canin au maxillaire ainsi que les premières prémolaires, des coiffes pédodontiques métalliques sur les premières molaires, une absence totale d’émail sur l’ensemble de la denture, à l’exclusion des bords libres des incisives mandibulaires (fig. 1 à 3). Le bloc incisivo-canin mandibulaire avait bénéficié de traitements radiculaires (fig. 4). Les incisives maxillaires présentaient des rhizalyses d’une importance significative (fig. 5 et 6). La patiente se plaignait d’hypersensibilités à la mastication et au brossage, la demande esthétique était forte.
Elle présentait une classe II division I associant une proalvéolie incisive supérieure à une rétromandibulie.
Concernant le terrain familial, l’interrogatoire a permis de prendre connaissance que le frère, la mère et la tante étaient atteints des mêmes symptômes.
Malgré les sensibilités et les douleurs lors du brossage, dont on peut imaginer la pénibilité quotidienne, l’hygiène bucco-dentaire était excellente.





