Aménagement pré-implantaire et réhabilitation implantaire d’un patient parodontal fumeur

  • Par
  • Publié le . Paru dans Parodontologie Implantologie Orale, un nouveau regard n°2 - 15 mai 2023 (page 20-27)
Information dentaire
La consommation tabagique est un facteur de risque établi de la parodontite. En cas de tabagisme important, un patient souffrant de parodontite présente une progression plus rapide de sa pathologie. En effet, Tomar et Asma [1] ont montré qu’un fumeur présente quatre fois plus de risques de développer une parodontite qu’un non-fumeur (OR = 3,47). Cet effet est dose-dépendant et plus le tabagisme est important, plus le risque est augmenté. Ainsi, la gestion des facteurs de risque, et notamment de l’addiction au tabac, est un élément majeur du traitement parodontal et implantaire.

RÉSUMÉ

La parodontite est une pathologie chronique inflammatoire multifactorielle associée à un biofilm dysbiotique et caractérisée par une destruction progressive des tissus de soutien de la dent. Plusieurs facteurs de risque ont été identifiés dont le tabagisme qui présente une association forte et dose-dépendante avec la parodontite. Il a notamment été démontré que la consommation de tabac diminuait la réponse au traitement parodontal. De plus, en altérant la cicatrisation, le tabagisme peut entraîner des complications lors des chirurgies préimplantaires et impacter le succès implantaire. Ainsi, indépendamment de la sévérité de la parodontite, la prise en charge bucco-dentaire globale des patients commence par la stabilisation de la parodontite. Le cas clinique présenté illustre l’importance de la gestion des facteurs de risque dans le succès des thérapeutiques parodontales et implantaires.

Cas clinique

Anamnèse et interrogatoire

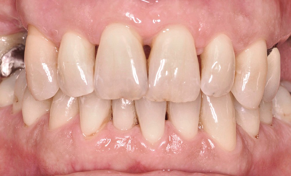
Une patiente de 50 ans se présente afin de remplacer ses dents récemment perdues. Au cours de l’anamnèse, aucun antécédent médical signifi–catif, ni traitement médicamenteux ne sont mentionnés. Les dents 14 et 15 ont fait l’objet d’une avulsion lors de l’exérèse d’un kyste péri-apical volumineux. La patiente n’a jamais bénéficié d’un traitement parodontal et aucun membre de sa famille n’a été affecté par la parodontite. Concernant son hygiène bucco-dentaire, elle indique se brosser les dents deux fois par jour avec une brosse à dents électrique sans technique spécifique, ni moyens complémentaires de brossage interdentaire.

La patiente mentionne être stressée et fume plus de 20 cigarettes par jour depuis plus de 25 ans.

Examen clinique, diagnostic et pronostic

L’examen endo-buccal met en évidence l’absence des dents de sagesse ainsi que des dents 14, 15, 25, 26 et 47. Un délabrement important des dents 17 et 27 est observé. Seuls deux couples…

Cet article est réservé aux abonnés.
Pour lire la suite :

Vous êtes abonné.e ? Connectez-vous
Mot de passe
oublié ?

Vous pouvez également :

Acheter l'article En version numérique
Acheter le numéro À l'unité

Thèmes abordés

Sur le même sujet

Implantologie

Article réservé à nos abonnés Vertiprep versus congé et épaulement

Responsable scientifique : Anne Longuet Intervenant : Hugues De Belenet Photos et schémas : © Hugues de Belenet Il n’est plus nécessaire,...
Implantologie

Article réservé à nos abonnés Déposer un implant : quand et comment ?

Responsable scientifique : Karim Dada Conférencier : Léon Pariente Bien que les taux de survie des thérapeutiques implantaires soient élevés, équivalents à...
Implantologie

Article réservé à nos abonnés L’approche immédiate unitaire : toujours d’actualité ?

Responsable scientifique : Gary Finelle Intervenant : Joseph Kan L’approche implantaire immédiate du secteur antérieur est parfois appréhendée comme une indication thérapeutique...