Analyse diagnostique d’un traitement esthétique : Digital Smile Design®

  • Par
  • Publié le . Paru dans L'Information Dentaire (page 18-21)
Information dentaire
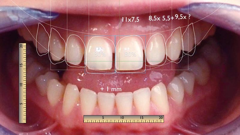
Le résultat d’un traitement ne peut et ne doit pas être le fruit du hasard. Il est donc nécessaire de systématiser une approche diagnostique pour une meilleure analyse, une meilleure compréhension et exécution du plan de traitement. Le Digital Smile Design® (DSD) est un outil et une méthodologie numérique permettant, à partir de photos très précises, de simuler les objectifs de traitement à obtenir sur le plan tant fonctionnel qu’esthétique.

Le Digital Smile Design® vient compléter les outils classiques en rationalisant et en objectivant les différents éléments de la composition dentaire du sourire des patients. La simulation proposée est importante, car elle permet de mettre en évidence le diagnostic réel de la situation clinique et donc les thérapeutiques nécessaires en regard de cet état initial. Cet outil permet également une communication simple et efficace auprès du technicien de laboratoire et du patient. Ce Digital Smile Design® sera décrit dans une première partie et ensuite illustré par une situation clinique.

Concept du Digital Smile Design®
Le DSD a été créé par Christian Coachman (Brésil, qui est à la fois prothésiste et chirurgien-dentiste) et son ami Livio Yoshinoga (Brésil, architecte) [1]. Leur réflexion sur cet outil a été initiée après des questionnements concernant le diagnostic initial de situations cliniques. Il est certain que toutes les équipes, quel que soit leur degré d’expérience, ont été confrontées à des problématiques de communication entre le laboratoire et la clinique en vue de l’établissement d’un plan de traitement.
L’objectif du DSD est donc de fournir une aide en protocolisant la réflexion et la création d’un projet prothétique. Ce dernier sera naturellement adapté en fonction de la sensibilité des praticiens, chirurgien-dentiste et prothésiste, et des situations cliniques présentes.
En effet, aujourd’hui, les patients sont particulièrement exigeants quant aux soins et thérapeutiques prodigués, notamment en termes de résultats. Ils souhaitent avoir un sourire qui s’harmonise avec leurs caractéristiques physiques et leur personnalité. L’outil Digital Smile Design® vient apporter des facteurs précis dans la réhabilitation d’un sourire, mais il doit être corrélé à la vision artistique du praticien, du prothésiste, et à leurs compétences respectives. La conception virtuelle du sourire est un protocole…

Cet article est réservé aux abonnés.
Pour lire la suite :

Vous êtes abonné.e ? Connectez-vous
Mot de passe
oublié ?

Vous pouvez également :

Acheter l'article En version numérique

Thèmes abordés

Sur le même sujet

Esthétique

Article réservé à nos abonnés Un mois sans alcool pour repenser sa consommation : le Dry January revient

Le Défi de janvier (Dry January) revient e n 2026 pour sa septième édition. Cette campagne citoyenne semble s’imposer comme...
Esthétique

Article réservé à nos abonnés Rencontre avec Pierre Keller : gestion des tissus mous péri-implantaires

1er cas lauréatResponsable de séance : Othman MikouIntervenant : Pierre Keller  Extraction–implantation immédiate (EII) : volumes osseux et gingivaux suffisants...