Examen
Au niveau squelettique, elle présente une classe I associée à une endognathie maxillaire et une hyperdivergence mandibulaire majeure liée à un excès de croissance alvéolaire verticale postérieure maxillaire et une inclinaison mandibulaire très marquée (fig. 1 et 3).
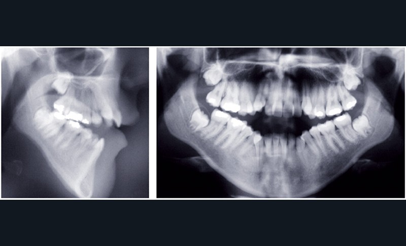
Sur le plan occlusal et dentaire, on observe une classe I molaire, une occlusion transversale en bout à bout à droite et inversée à gauche et une béance antérieure sévère s’étendant jusqu’aux molaires. Un encombrement est présent aux deux arcades avec des dystopies canines importantes (fig. 2).
Traitement
La sévérité de la dysmorphose squelettique impose un traitement chirurgico-orthodontique qui a été conduit en quatre étapes :
• une disjonction chirurgicale première pour corriger l’endognathie maxillaire et permettre la concordance transversale des arcades,
• une préparation orthodontique préchirurgicale avec extraction des quatre premières prémolaires qui a assuré la correction de l’encombrement, la décompensation de la malocclusion et l’harmonisation des formes d’arcades (fig. 4 et 5),
• une correction chirurgicale de la dysmorphose verticale et sagittale par une ostéotomie de Le Fort I d’impaction postérieure et d’avancée maxillaire associée à une génioplastie de réduction verticale (6 mm) et d’avancement (2 mm) pour adapter la position sagittale du menton,
• des finitions orthodontiques postchirurgicales.
Une rééducation de longue durée a complété cette prise en charge thérapeutique pour assurer la stabilité à long terme du résultat obtenu.
Conclusion
Les photographies de fin de traitement (fig. 6 et 7) montrent l’harmonisation…










