Cas clinique
► Un patient âgé de 23 ans est adressé à l’unité d’Occlusodontologie et de Réhabilitation de l’appareil manducateur du CHU Rangueil de Toulouse, à la demande d’un spécialiste en orthopédie dento-faciale et d’un chirurgien maxillo-facial.
► Les motifs de consultation sont des douleurs oro-faciales évoluant dans la région massétérine et temporale gauche, accentuées à la mastication, ainsi qu’une gêne fonctionnelle incapacitante lors des repas.
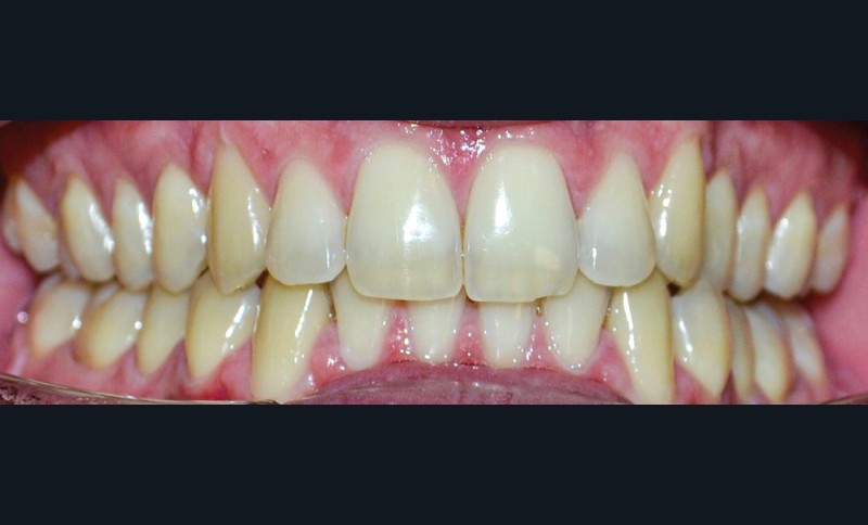
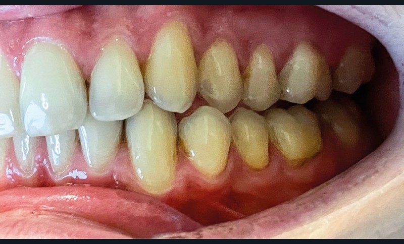
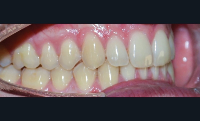
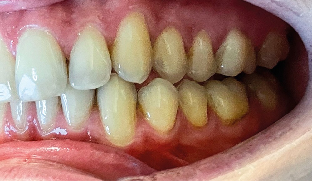
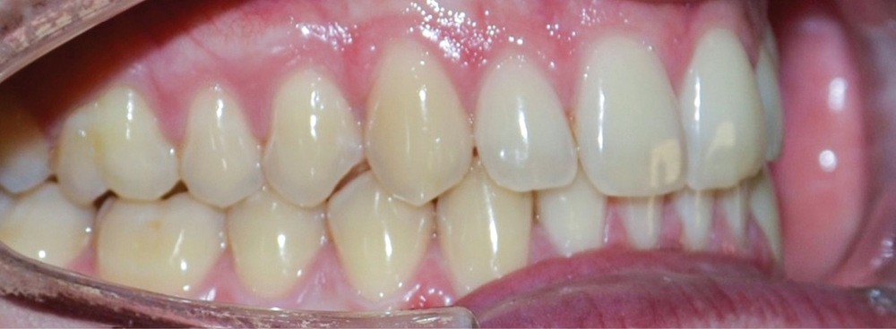
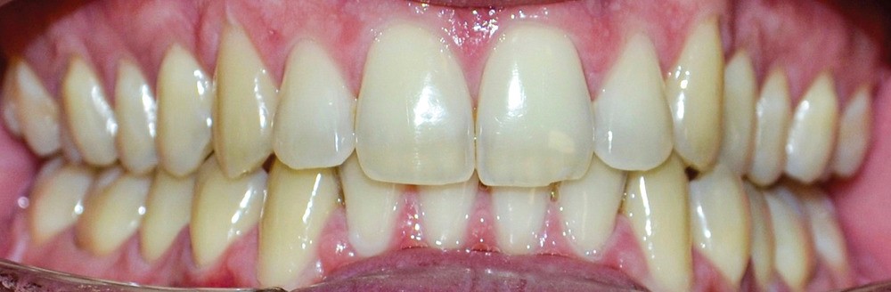
► L’entretien semi-directif met en évidence des signes d’apparition récente (un an environ), une aggravation progressive des symptômes, et la perception rapportée par le patient de moindres contacts occlusaux du côté gauche. L’examen clinique extra-oral révèle des douleurs musculaires lors de la palpation des muscles masséters, temporaux et ptérygoïdien médial gauche ainsi que des muscles sterno-cléïdo-occipito-mastoïdiens droit et gauche. Il n’y a pas de limitations d’ouverture buccale. L’examen clinique intra-oral révèle la présence d’une inocclusion dentaire gauche, qui s’étend des dents 23 à 27 (fig. 1 et 2). Il est à noter que la reprise de l’entretien ne rapporte pas d’antécédent de soins dentaires, orthodontiques et/ou prothétiques susceptibles d’engendrer une modification de l’occlusion.
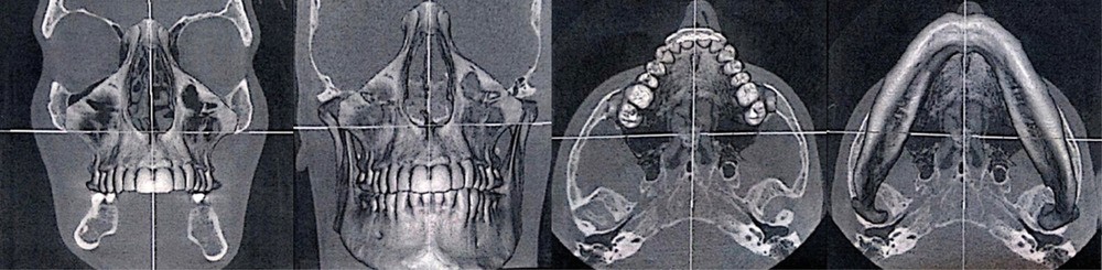
► Les examens radiographiques 3D à type de CBCT permettent de mettre en évidence un condyle gauche plus volumineux que le condyle droit, et un bord basilaire gauche plus bas que le droit (fig. 3 et 4), provoquant une asymétrie dans le sens frontal, avec une mandibule abaissée vers le bas et vers l’avant. Le diagnostic d’une hypercondylie mandibulaire est évoqué avec le patient.
Prise en charge
La découverte de l’hypercondylie à un stade précoce est souvent fortuite. À un stade avancé, le patient peut consulter son chirurgien-dentiste…




