En prothèse partielle amovible (PPA), la différence de compressibilité entre le desmodonte des dents restantes et la fibromuqueuse des crêtes édentées est un écueil à contourner pour assurer la stabilité, le confort et la pérennité de la restauration prothétique et des structures anatomiques (1, 2, 3).
Muni d’un attachement, l’implant permet de proposer dans certaines situations cliniques la conception prothétique la mieux adaptée pour maîtriser les différents mouvements susceptibles de déséquilibrer la PPA (4, 5, 6, 7, 8, 9).
Ainsi, en présence d’un édentement bilatéral postérieur, la mise en place d’un ou de plusieurs implants sous la selle permet d’améliorer de façon remarquable la stabilité prothétique en participant à la sustentation et à la rétention par modification avantageuse des paramètres biomécaniques.
Situation clinique initiale
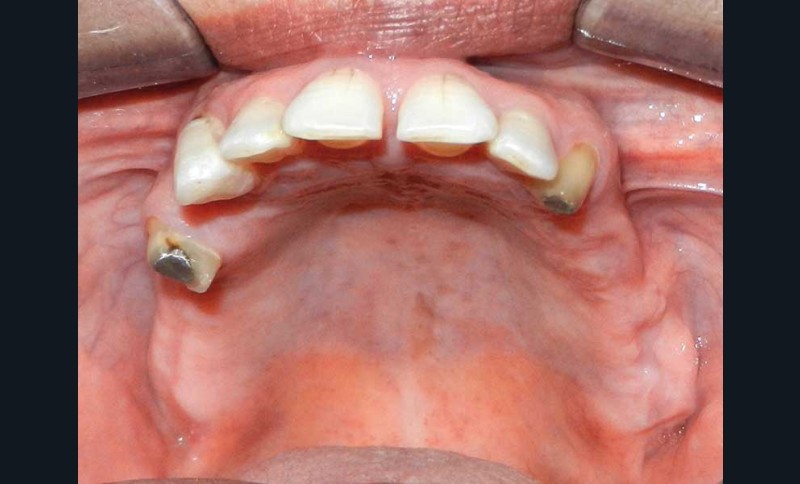
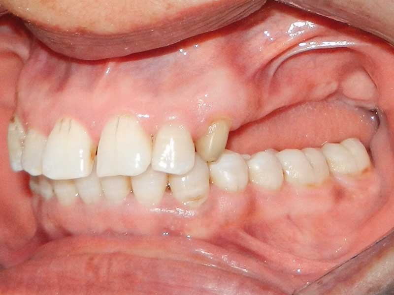
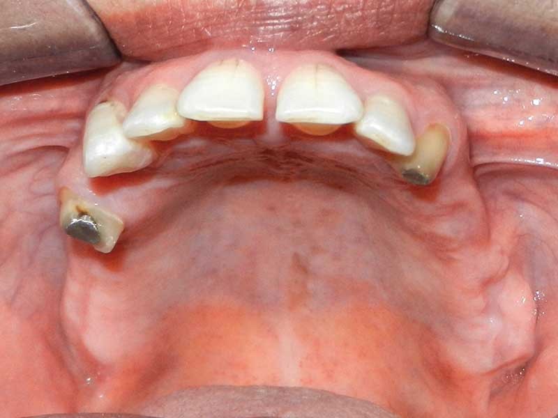
Un patient de 60 ans, présentant un bon état général, consulte pour une réhabilitation orale avec une demande fonctionnelle. Il montre un édentement maxillaire bilatéral postérieur en extension. Toutes les dents sont saines à l’exception de 15 et 23 qui présentent une préparation périphérique sans couronnes de recouvrement. L’examen des surfaces ostéomuqueuses, révèle des crêtes édentées résorbées recouvertes de fibromuqueuse ferme. L’arcade mandibulaire est dentée (fig. 1 et 2).
Proposition thérapeutique
Pour des raisons financières qui contrarient la mise en place d’implants dans le secteur postérieur pour une solution prothétique totalement fixe, une prothèse partielle amovible est acceptée par le patient à la condition d’être parfaitement stabilisée.
Les dents présentant des préparations périphériques seront recouvertes par des couronnes céramométalliques fraisées. Au niveau postérieur, l’édentement est de grande étendue et, compte tenu de…

