Apport de l’approche médicale globale dans la réhabilitation orale d’une patiente bipolaire

  • Par
  • Publié le . Paru dans L'Information Dentaire n°16 - 19 avril 2023 (page 22-29)
Information dentaire
À travers l’illustration du parcours bucco-dentaire d’une patiente bipolaire, nous tenterons de démontrer la pertinence d’une prise en charge odontologique intégrative et adaptée aux patients atteints de maladies mentales sévères.

Alors que l’impact des pathologies systémiques sur la sphère oro-faciale est un fait reconnu de façon unanime, il a désormais été démontré par maintes études qu’une santé buccale correcte est également nécessaire au maintien d’une bonne santé systémique générale.

On peut citer, par exemple : l’existence d’un lien bidirectionnel entre les maladies parodontales et le diabète [3], et entre les maladies parodontales et cardio-vasculaires [9], ainsi que l’impact d’une mauvaise santé bucco-dentaire sur les risques de développer une pneumonie [5]. De même, il a été constaté que les patients atteints de maladies mentales souffrent plus souvent de pathologies systémiques [14] et d’une mauvaise santé bucco-dentaire que le reste de la population [7]. L’indice CAOD moyen des patients souffrant de maladies mentales est, peu importe le pays dans lequel il a été mesuré, bien plus élevé que celui de la population générale [16]. Ces personnes restent désavantagées en matière de santé bucco-dentaire [2]. Néanmoins, le personnel dentaire n’est que très peu sensibilisé aux maladies mentales ainsi qu’à leurs enjeux sur la sphère oro-faciale. Or, la reconnaissance d’une pathologie psychiatrique peut s’avérer d’une importance cruciale dans l’établissement d’un plan de traitement adapté.

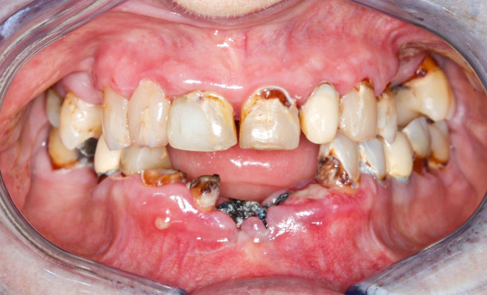
C’est donc à travers la description du parcours thérapeutique d’une patiente caucasienne de sexe féminin âgée de 63 ans, non-fumeuse et souffrant de troubles bipolaires que nous avons souhaité illustrer l’importance d’une prise en charge adaptée pour les personnes souffrant de maladies mentales sévères.

Anamnèse générale

Première consultation au centre de soins dentaires en mai 2020 sous motif d’une « mobilité » des incisives centrales inférieures. La patiente ne se plaint pas de douleurs, mais souhaiterait bénéficier d’une prise en charge complète, restauratrice et esthétique. Elle prend quotidiennement…

Cet article est réservé aux abonnés.
Pour lire la suite :

Vous êtes abonné.e ? Connectez-vous
Mot de passe
oublié ?

Vous pouvez également :

Acheter l'article En version numérique
Acheter le numéro À l'unité

Thèmes abordés