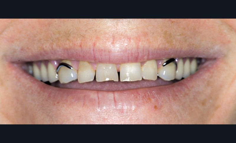
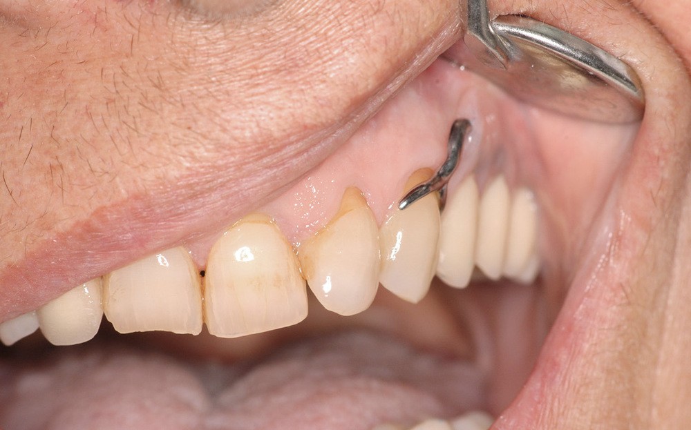
Les édentements postérieurs non compensés apparaissent particulièrement disgracieux dès lors que les prémolaires, et plus encore la canine, sont absentes. Le déficit esthétique est d’autant plus prégnant que la position de la lèvre découvre largement les dents lors du sourire (fig. 1 et 2). Lorsque la prothèse amovible partielle (PAP) est indiquée, la nécessité de disposer d’un élément de rétention sur la dent bordant l’édentement ne laisse parfois pas d’alternative à la visibilité d’un crochet métallique, qui, aujourd’hui, ne recueille que rarement l’assentiment des patients (fig. 3).
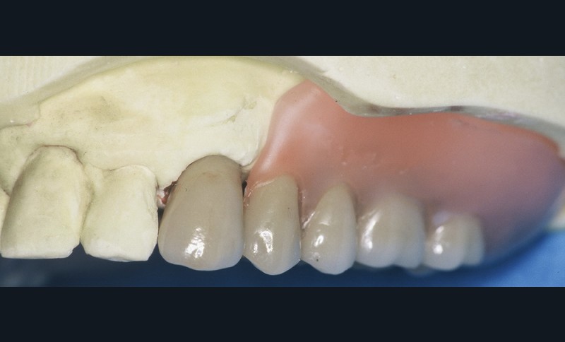
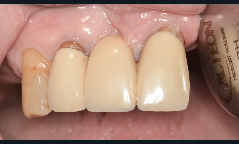
Toutefois, certaines situations sont avantageusement traitées par l’emploi de crochets à émergence cervicale, de type « Y de Roach », pour autant que la lèvre ne découvre pas le tiers cervical de la dent d’appui (fig. 4 et 5). Le recours à la prothèse fixée et aux attachements répond aux doléances esthétiques, mais présente un coût biologique important lorsque des dents saines sont préparées et requiert une parfaite maîtrise des exigences biomécaniques et des procédés de laboratoire qui y contribuent (fig. 6a-c). Au-delà de l’abord esthétique, lorsque la canine est absente, voire une ou deux incisives, se pose de surcroît le problème de l’équilibre prothétique. En effet, quel pronostic attendre lorsque ne subsistent que quelques dents antérieures promises nécessairement à la stabilisation et à la rétention d’une PAP ? (fig. 7). Naguère, une telle situation conduisait raisonnablement à indiquer la réalisation d’une prothèse complète.
L’implant canin
Les traitements par PAP, en alternative à la prothèse fixe implanto-portée, sont indiqués pour des raisons pécuniaires, médico-chirurgicales, mais également pour répondre aux réticences à entreprendre un traitement chirurgical invasif, notamment…








