1er lauréat - Concours praticiens
Mme M. présente une classe II squelettique par rétrognathie mandibulaire dans un contexte vertical hyperdivergent sévère se traduisant par un profil général convexe et un menton en position cis-frontale, dont les tissus mous expriment une tension importante lors de l’occlusion labiale (fig. 1 et 2). La patiente est symétrique, le sourire est gingival, même s’il n’est pas franc sur ce cliché initial (fig. 3). L’esthétique du profil et du sourire est altérée et représente un motif de consultation pour la patiente.
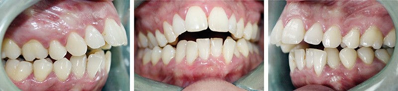
Le parodonte est fin et festonné et s’accompagne d’une légère parodontite chronique dans les secteurs molaires, chez une patiente fumeuse. On note une endognathie maxillaire ainsi qu’une béance antérieure (3 mm), d’origine squelettique, mais entretenue par une dysfonction linguale (fig. 4 à 6). La voûte palatine est profonde avec une arcade maxillaire en lyre. L’arcade mandibulaire est très asymétrique, 46 étant plus mésiale de 4,5 mm par rapport à 36, ce qui se traduit par une asymétrie de la classe occlusale et une déviation des milieux dentaires. Les extractions monomaxillaires ont conduit à une classe II molaire « thérapeutique » mais il subsiste une classe II canine avec un surplomb augmenté (6 mm).
Nous considérons la DDM mandibulaire comme importante avec un encombrement dentaire évalué à 6 mm, une courbe de Spee marquée et une incisive mandibulaire que nous souhaitons légèrement repositionner dans cette symphyse extrêmement étroite, en lame de couteau (fig. 7).
Après assainissement parodontal, le décalage squelettique de cette patiente nous oriente vers une prise en charge orthodontico-chirurgicale en deux temps. Une distraction intermaxillaire chirurgicalement assistée est réalisée en premier lieu ainsi que les extractions des trois dents de sagesse et celles de 34 et…

