L’esthétique est devenue un objectif prioritaire du traitement d’orthodontie. C’est le motif de consultation principal de nos patients dont les exigences sont croissantes. Pour satisfaire cette demande, il devient indispensable de travailler en équipe, chaque discipline travaillant de concert pour un résultat esthétique optimal [3].
La dentisterie moderne est conservatrice. Elle tente de préserver, de se rapprocher du naturel [4]. L’orthodontie se présente comme l’outil de préservation par excellence. Elle fait ainsi de plus en plus partie des traitements de réhabilitation esthétique. Mais la communication interdisciplinaire n’est pas toujours simple et peut être chronophage. L’utilisation d’outils numériques de prévisualisation esthétique semble apporter des solutions. L’objectif de cet article est de proposer, à travers un cas traité, un regard critique sur un de ces outils, le Digital Smile Design (DSD).
Description et diagnostic
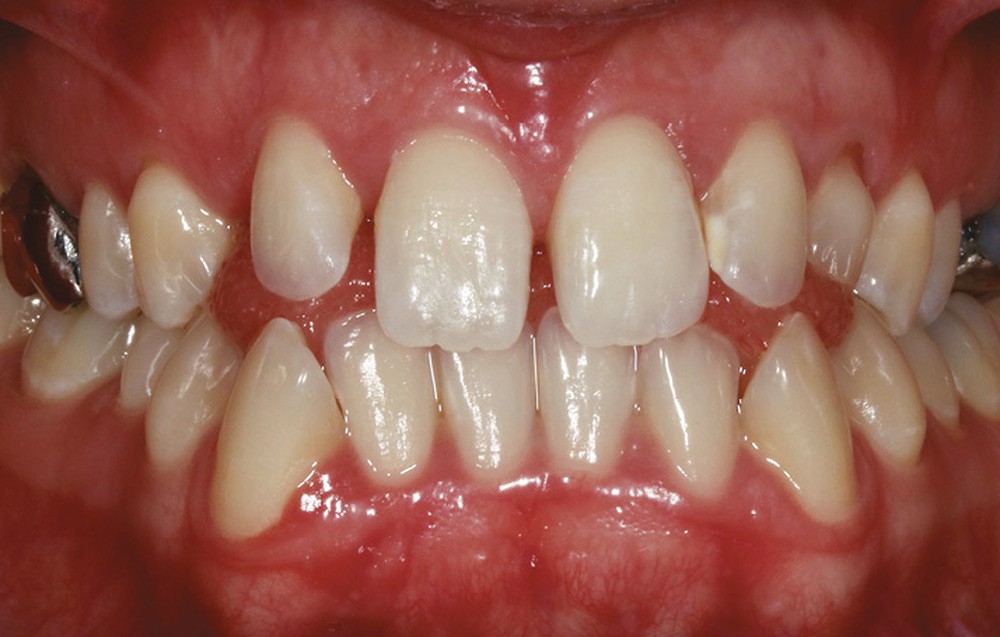
La patiente, âgée de 24 ans, en bonne santé générale, consulte en orthodontie pour raisons esthétiques. Elle présente une classe III squelettique par rétrognathie maxillaire sur un schéma facial hyperdivergent (fig. 1a-b).
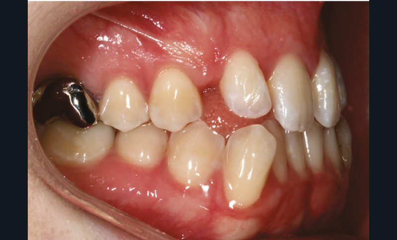
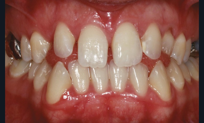
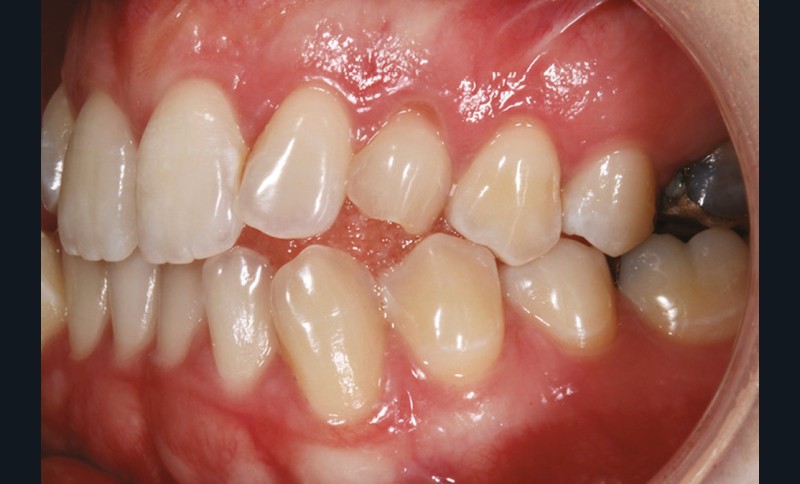
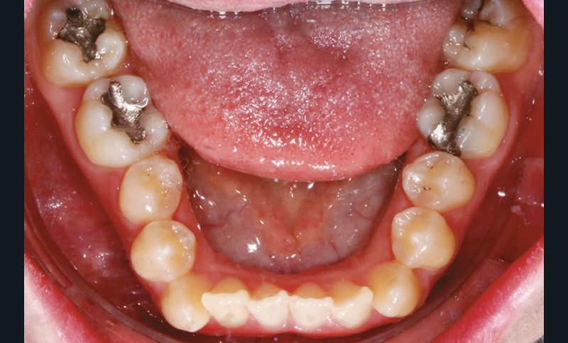
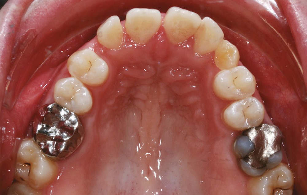
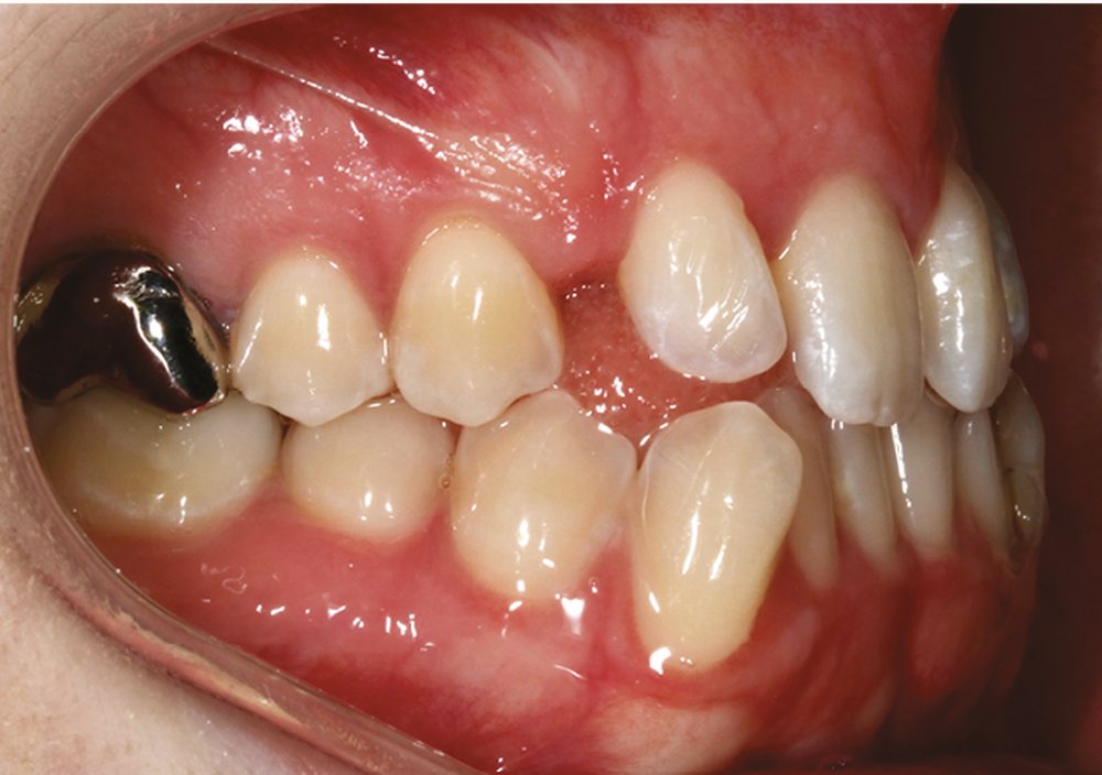
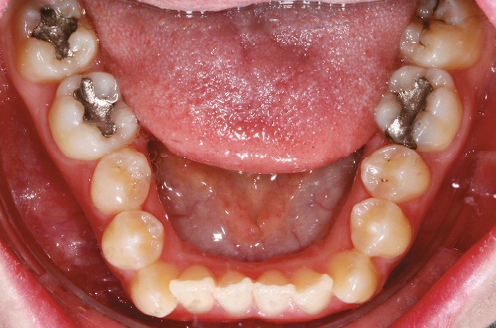
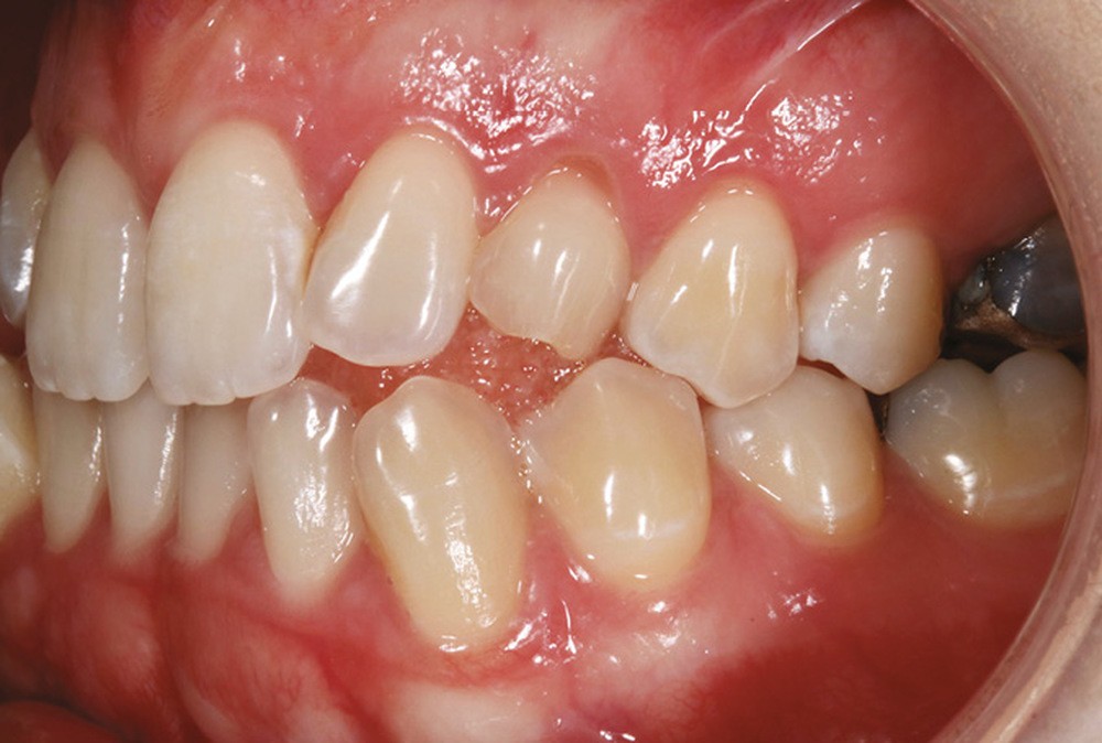
Sur le plan dentaire, on note l’absence des canines maxillaires permanentes sur l’arcade et la persistance de 63. Il existe une DDD par défaut maxillaire (indice de Bolton antérieur 90,2 %) due à l’absence des canines sur l’arcade, mais aussi à une dysharmonie de forme des dents maxillaires (fig. 2a-e).
Sur le plan fonctionnel, la patiente présente une déglutition atypique associée à une posture linguale basse.
L’examen radiologique 2D nous confirme l’inclusion de 13 et 23 en position haute, oblique en bas et en avant, couronnes en projection des apex de 11 et 21 et nous permet de quantifier le décalage squelettique (fig. 3 et 4). L‘examen radiologique 3D (cone beam) objective les rapports…






