Apport du numérique dans le suivi du patient dans le temps Application aux cas d’usure dentaire

  • Par
  • Publié le . Paru dans L'Information Dentaire n°22 - 31 mai 2023 (page 38-44)
Information dentaire
Les possibilités offertes par la numérisation de nos protocoles de travail ne cessent de s’étoffer. Dernières applications à venir enrichir notre arsenal préventif et thérapeutique, les logiciels de comparaison de modèles 3D, en s’intégrant aux systèmes d’empreintes optiques, viennent bousculer notre manière d’appréhender le suivi de nos patients et le recueil des données lors de nos consultations. Exemple et réflexions autour de ce sujet encore peu traité, mais qui pourrait bien bouleverser la qualité de la prise en charge précoce de nos patients.

En quelques années, les flux de travail se sont numérisés, modernisés, réinventés grâce aux avancées technologiques (matérielles et logicielles), mais aussi à leur meilleure compréhension et leur intégration au sein de protocoles parfois bien établis.

Pour accompagner l’expansion de cette numérisation, nous avons vu ces dernières années apparaître de nouveaux équipements : caméras d’empreintes optiques ou scanners intra-oraux, cone beam, scanners faciaux, dispositifs d’enregistrement de l’occlusion dynamique.

Les scanners intra-oraux restent, pour cet écosystème, la porte d’entrée vers le cabinet. Autrefois cantonnés à la numérisation de secteurs d’arcades en vue de la réalisation de prothèses par CFAO, ils sont aujourd’hui la pierre angulaire de la prise en charge de nos patients, dans la mesure où ils sont non seulement des outils thérapeutiques, mais aussi des vecteurs de communication et de diagnostic puissants.

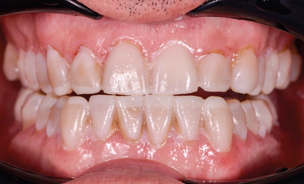
Les scanners intra-oraux permettent aujourd’hui de réaliser des empreintes d’arcades complètes en moins de deux minutes. Ils trouvent ainsi une place nouvelle dans le suivi dans le temps des patients, grâce à l’intégration de logiciels de comparaison automatique d’empreintes. En utilisant deux empreintes prises à des moments distincts, il est aisé de mettre en évidence des pertes de tissus dentaires (usures), des déplacements dentaires ou encore des modifications du contour gingival : soit des situations très fréquentes, motifs réguliers de consultation pour lesquels nous disposons de peu de moyens objectifs de suivi de l’évolution [1].

Ces logiciels se généralisent sur tous les systèmes de scanners intra-oraux : Patient Monitoring (3Shape), Time Lapse (iTero), Medit Compare (Medit), Oracheck (Densply Sirona).

L’évolution des modes de vie et des habitudes alimentaires, les mobilités géographiques ainsi que certains facteurs intrinsèques (reflux gastriques) nous contraignent à…

Cet article est réservé aux abonnés.
Pour lire la suite :

Vous êtes abonné.e ? Connectez-vous
Mot de passe
oublié ?

Vous pouvez également :

Acheter l'article En version numérique
Acheter le numéro À l'unité

Thèmes abordés