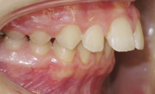
Mlle B. présente une classe II squelettique par retrognathie mandibulaire dans un contexte vertical hypodivergent. La patiente a déjà bénéficié de deux semestres interceptifs avec le port d’une force extra-orale. Le visage est symétrique, le sourire est timide et découvre peu les dents. L’angle naso-labial est ouvert, l’interposition labiale inférieure constante et la distance cervico-mentonnière réduite (fig. 1 à 3).
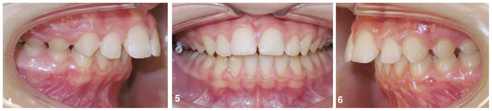
Le parodonte est fin et festonné mais l’hygiène est maîtrisée. On retrouve une endoalvéolie maxillaire relative à la classe II, une supraclusion incisive d’origine mandibulaire, une biproalvéolie incisive, un surplomb incisif de 9 mm associé à une classe II dentaire sévère (fig. 3 à 6).
La prise en charge a pour objectif d’obtenir une classe I dentaire en favorisant la croissance sagittale de la mandibule. Étant donné l’échec de la phase interceptive mettant en doute la coopération de la patiente, nous décidons de ne pas réaliser une nouvelle phase orthopédique à l’aide d’un appareil amovible mais de mettre en place un dispositif multi-attaches.
La patiente, non réglée, présente un stade C3 selon la classification de Lamparski concernant le stade de maturation des vertèbres cervicales [2], en effet on retrouve une concavité inférieure de la vertèbre C3 mais pas encore au niveau de C4. On se situe donc légèrement en avant du pic pubertaire qui survient dans 93 % des cas entre les stades C3 et C4 selon Bacetti [3]. Ainsi, il sera possible chez cette patiente, après la préparation des arcades, d’obtenir une réponse orthopédique optimale lors de la mécanique de classe II à l’aide des propulseurs mandibulaires.
Traitement
Les arcades sont alignées et nivelées, la courbe de Spee mandibulaire étant marquée, des élastiques de classe III sont mis en place lors de cette étape en précaution pour…

