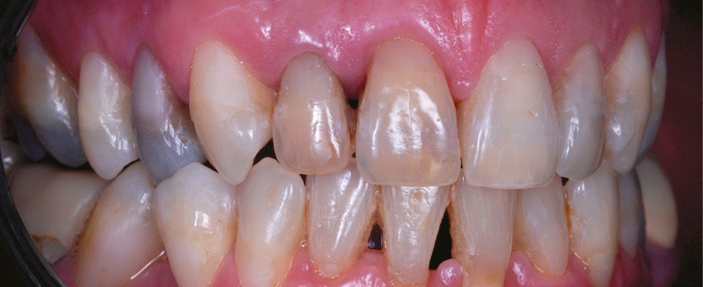
Étiologies des dyschromies de la dent dépulpée
La discoloration de la dent dépulpée est due à trois causes principales :
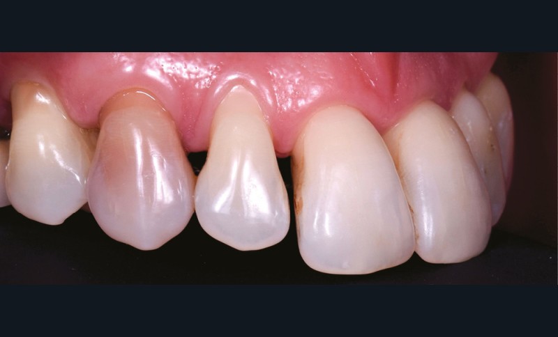
– la nécrose, qui va donner une coloration plutôt brune [3] (fig. 1, 2) ;
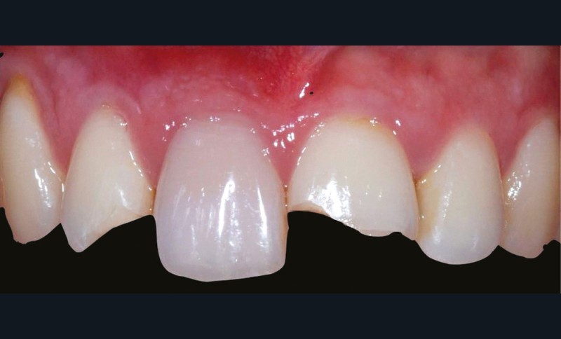
– le trauma, qui va donner une couleur plutôt rouge [4] (fig. 3) ;
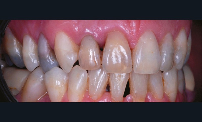
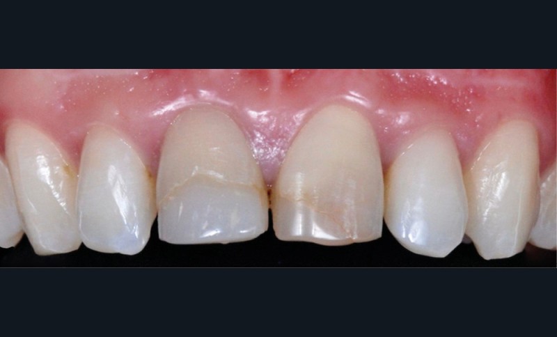
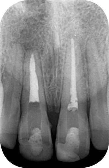
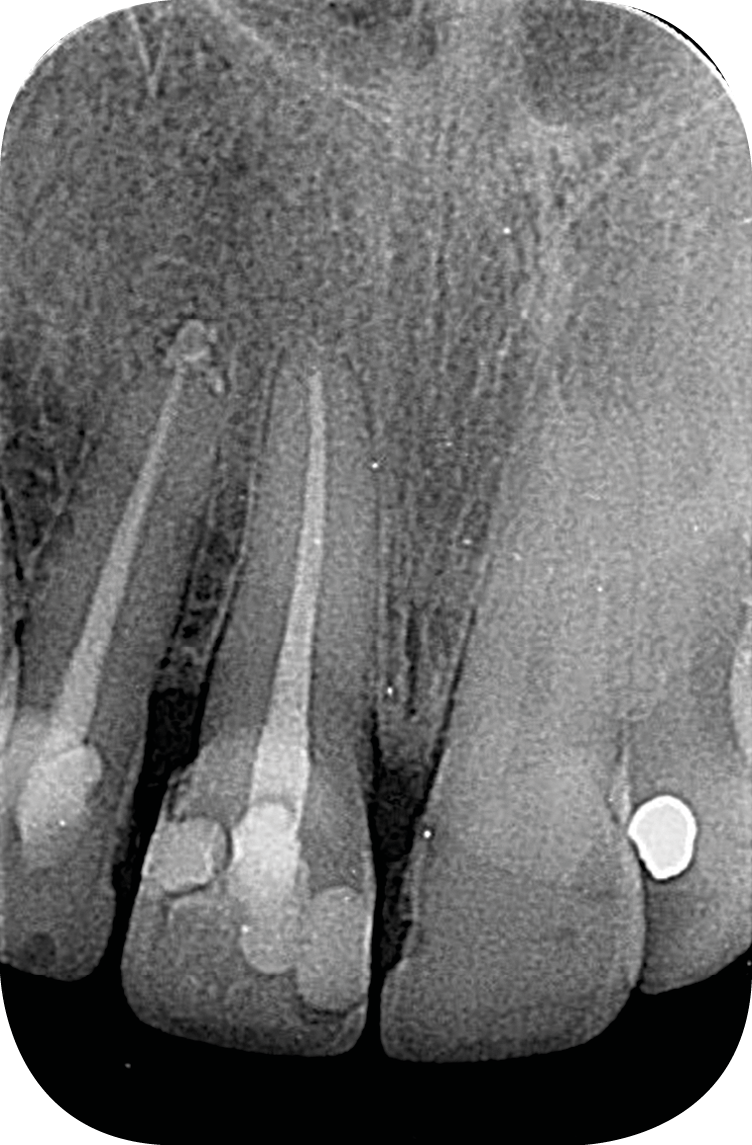
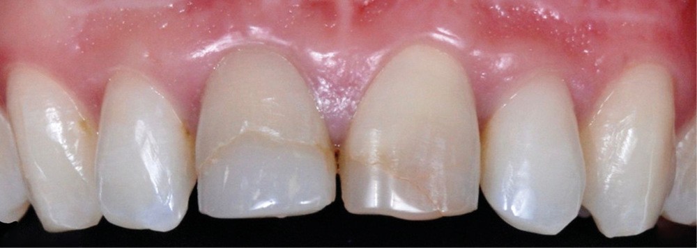
– les soins conservateurs et endodontiques [5] (fig. 4 et 5).
Les soins conservateurs et endodontiques sont majoritairement responsables des dyschromies des dents dépulpées. Nous allons développer ce point afin de mieux comprendre les paramètres régissant les colorations iatrogènes pour mieux les éviter et, si besoin, les corriger.
Qu’est-ce qu’une coloration iatrogène ?
Les différents matériaux mis en contact avec la dent interagissent avec les tissus dentaires et provoquent des colorations.
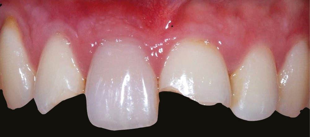
Ainsi, les ciments d’obturation canalaire sont la cause principale des dyschromies de la dent dépulpée [6]. Les modifications de couleur peuvent apparaître après une semaine seulement, lorsqu’il s’agit de ciments oxyde de zinc/eugénol (ZoE) [7, 8] ou à un mois post-traitement dans le cas de certaines biocéramiques [6].
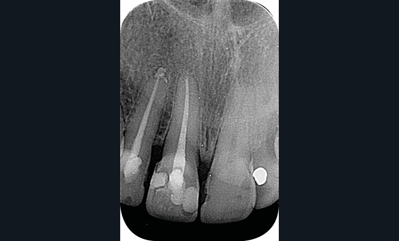
Parmi les agents responsables de cette dyschromie, on peut citer l’eugénol, contenu dans les ciments ZoE et l’oxyde de bismuth, utilisé comme radio-opacifiant dans certaines biocéramiques, et principalement le MTATM [9]. L’oxyde de bismuth, quelle que soit sa concentration, même modérée dans le cas du MTA WhiteTM, provoque une coloration iatrogène de la dent en quelques semaines seulement [10] (fig. 6) [10]. Afin d’éviter ce type de dyschromies en secteur esthétique, il s’agit donc de privilégier dans notre pratique des biocéramiques qui contiennent un autre radio-opacifiant tel que l’oxyde de zirconium qui, lui, ne va pas créer de coloration iatrogène (BiodentineTM, TotallfillTM ou le BioRootTM) [11].
Certaines interactions favorisent une dyschromie








