Le traitement de l’édentement complet par restaurations implantaires représente pour nos patients un réel changement de vie. Au-delà de l’amélioration esthétique de leur sourire et donc de leur visage, c’est sans nul doute du point de vue fonctionnel que les changements sont les plus importants. La possibilité de retrouver une mastication normale et sortir ainsi de la situation de handicap que représente le port de prothèse amovible ou la présence de dents très fortement mobiles est une amélioration indiscutable du quotidien [1]. Ces traitements nécessitent l’établissement d’un projet prothétique qui servira de guide, depuis la chirurgie implantaire jusqu’à la prothèse d’usage.
Aujourd’hui l’approche numérique apporte une réelle valeur ajoutée dans ce type de traitement. Tant du point de vue de l’analyse esthétique que fonctionnelle, les outils numériques permettent des traitements plus sûrs, plus reproductibles, moins opérateur dépendants et plus rapides grâce à des transferts de données dématérialisées entre le cabinet et le laboratoire [2].
La description d’un traitement d’arcade complète bimaxillaire nous servira de support à la mise en application de ces nouveaux outils numériques. La consultation est motivée par le souhait de retrouver un sourire harmonieux et agréable, ainsi qu’une efficacité masticatoire.
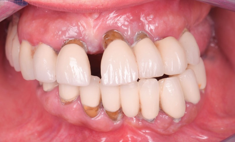
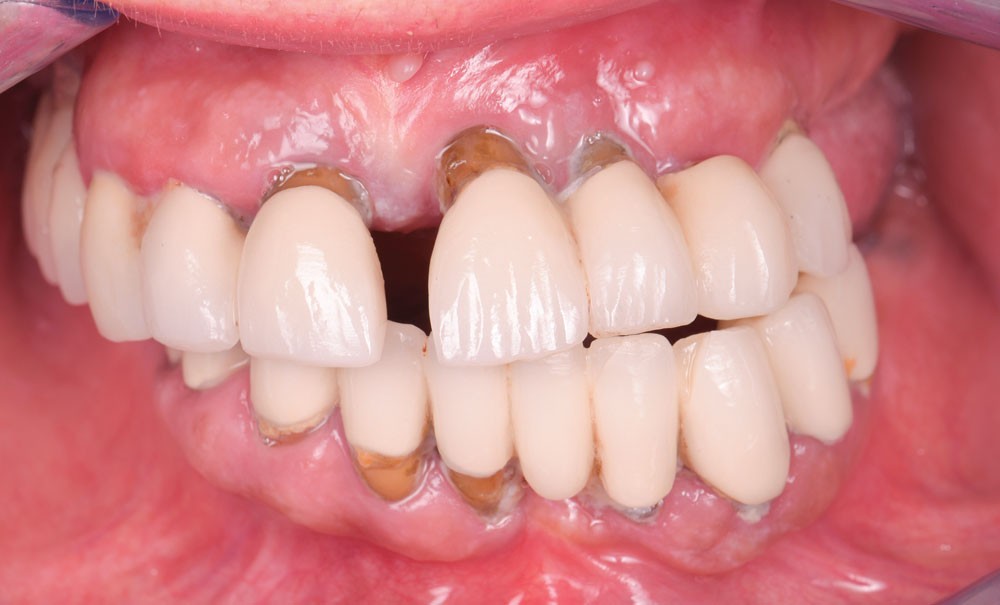
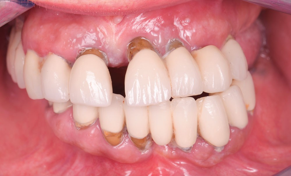
La présence de grande mobilité dentaire, associée à une latérognathie squelettique mandibulaire importante a occasionné ici un désordre esthétique et fonctionnel considérable (fig. 1a-b).
Les examens cliniques et radiographiques permettent de diagnostiquer de nombreuses reprises de caries sous les prothèses existantes, une parodontite chronique terminale, associée à de nombreuses migrations dentaires, posant l’indication de l’avulsion de l’ensemble des dents maxillaires (fig. 2).
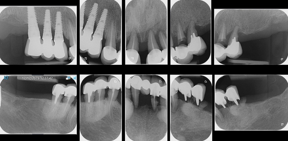
Les implants du secteur 1 présentent…


