Approche micro-invasive des préparations pour restaurations esthétiques en céramique

  • Par
  • Publié le . Paru dans Biomatériaux Cliniques n°2 - 30 octobre 2019

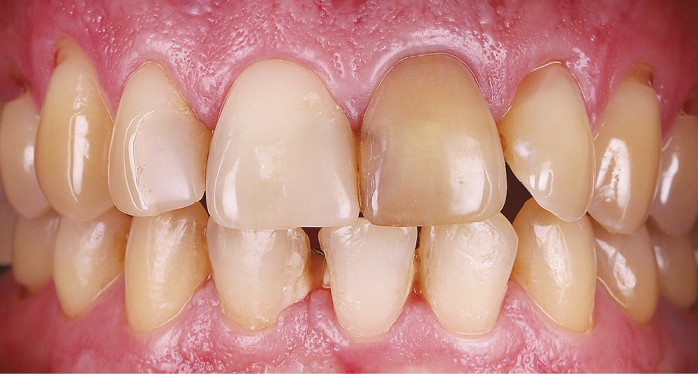
10. Patient présentant une dyschromie importante sur la 21 (a). Un éclaircissement interne de la 21, suivi d’un éclaircissement externe des deux arcades aboutit à l’harmonisation de la teinte des dents

Information dentaire
La dentisterie contemporaine se veut plus respectueuse de l’organe dentaire. La réalisation de facettes nécessite cependant une préparation de l’émail. L’objectif de cet article est de fixer les limites de ces préparations en accord avec les propriétés mécaniques des céramiques. Après un bref rappel d’anatomie, nous définirons les épaisseurs minimales de céramique sur lesquelles nous pouvons travailler. Nous verrons ensuite que certaines étapes préalables permettent de réduire la mutilation de l’organe dentaire. Enfin, il sera développé en détail toutes les étapes cliniques de préparation de ces restaurations : de la préparation vestibulaire à travers le mock-up en passant par le positionnement des limites cervicales et proximales ainsi que la réduction incisale.

La demande esthétique des patients ne cesse de croître et, bien souvent, des individus jeunes arrivent au cabinet avec une idée précise de leur nouveau sourire. Parfois, les dents sont saines et présentent simplement des anomalies de formes, de proportions, d’alignements ou encore des dyschromies. Le respect du gradient thérapeutique [1] nous permet de gérer facilement, et d’une manière respectueuse de l’organe dentaire, une partie de ces demandes grâce à l’orthodontie pour les problèmes d’encombrements et grâce aux différentes méthodes de modification d’états de surface (micro-abrasion, érosion-infiltration) et d’éclaircissement pour les cas d’anomalies de l’émail et de dyschromies.

Certaines situations (dents riziformes, diastèmes, restaurations multiples…) nécessitent cependant un traitement par stratification ou par facettes.

Même si la dentisterie contemporaine se veut minimalement invasive, la réalisation de facettes en céramique requiert cependant une préparation de l’émail. Nous allons essayer de définir les limites de ces préparations en accord avec les propriétés mécaniques des céramiques, en évitant les pièges et les erreurs fréquemment rencontrés.

Rappel anatomique

Les épaisseurs d’émail varient d’un individu à l’autre, d’une dent à l’autre et, chez un même patient, ces épaisseurs sont différentes selon l’âge et le degré d’usure [2].

De plus, sur une même dent, les épaisseurs d’émail diminuent du bord incisal au tiers cervical.

Les épaisseurs moyennes pour une incisive centrale sont :

  • 1 à 2,1 mm au niveau du tiers incisif ;
  • 0,6 à 1 mm au tiers médian ;
  • 0,3 à 0,5 mm au niveau du tiers cervical [12].

Comme il n’est pas possible de connaître de manière certaine les épaisseurs d’émail des patients : il convient de limiter les préparations au strict minimum.

Dans une recherche de conservation ultime, nous pourrions être tentés de ne…

Cet article est réservé aux abonnés.
Pour lire la suite :

Vous êtes abonné.e ? Connectez-vous
Mot de passe
oublié ?

Vous pouvez également :

Acheter l'article En version numérique
Acheter le numéro À l'unité

Thèmes abordés

Sur le même sujet

Biomatériaux

Article réservé à nos abonnés TEST AUTEURS

TEST ORDRE DES AUTEURS
Biomatériaux Endodontie

Article réservé à nos abonnés Sous la lumière bleue, les secrets de la photopolymérisation

Les techniques et les matériaux de restauration ont considérablement évolué au cours des dernières décennies. Parmi eux, les restaurations composites...