La réhabilitation prothétique fixée des amélogenèses (AI) et des dentinogenèses imparfaites (DI) constitue un véritable challenge pour le praticien, comme toute intervention qui touche à la globalité ou presque des dents. Cette réhabilitation ne doit être envisagée que lorsque la situation clinique l’impose. Cela suppose que les méthodes préventives (vernis, fluorations, infiltrations résineuses) ou directes (composites, verres-ionomères) ne répondent pas ou plus aux nécessités cliniques et/ou psychologiques.
Les AI sont un ensemble d’anomalies héréditaires résultant d’un défaut de formation de l’émail et caractérisées par une expression clinique, génétique et structurelle très hétérogène [1]. Les DI héréditaires, comme les dysplasies dentinaires, sont quant à elles des anomalies de structure de la dentine par mutation du gène DSPP intervenant dans la minéralisation de celle-ci [2]. Elles peuvent être isolées ou associées à un tableau clinique plus large, les associant à une ostéogenèse imparfaite héréditaire (OIH).
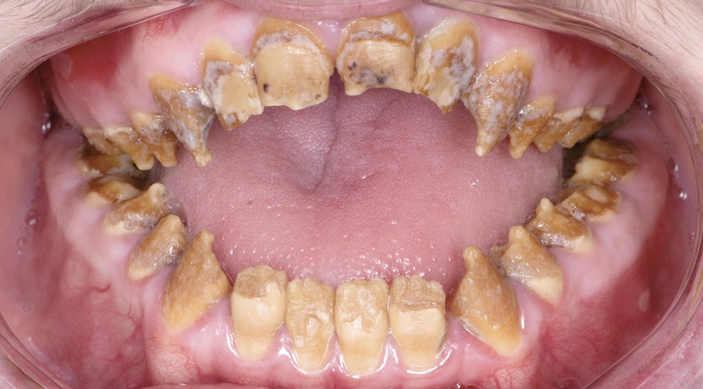
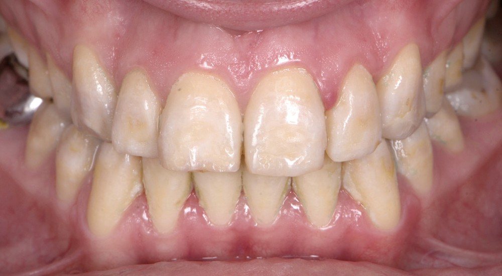
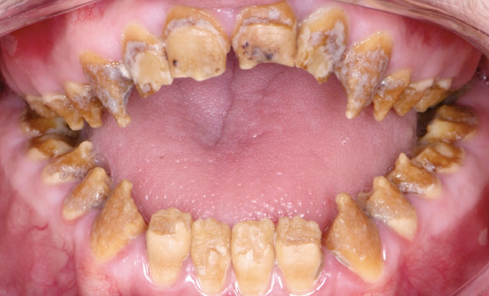
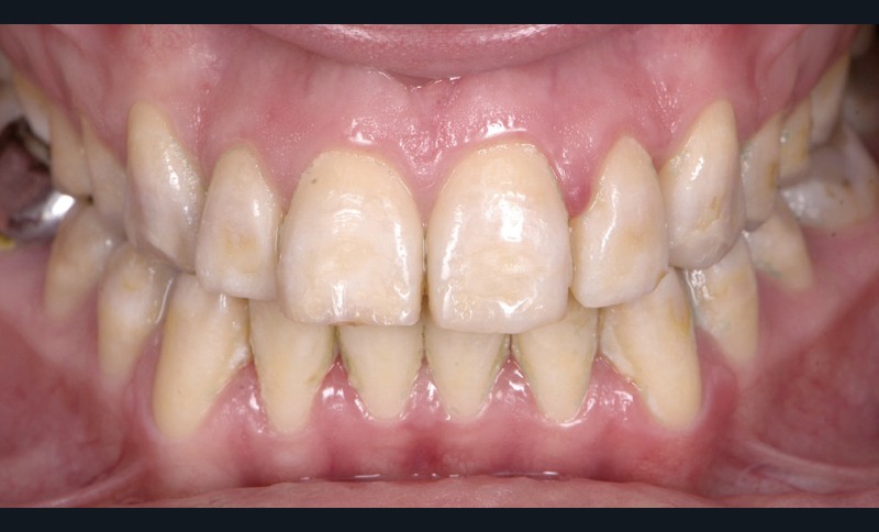
Dans tous les cas, le préjudice de l’enfant ou de l’adulte est non seulement fonctionnel – caractérisé par des sensibilités dentaires plus ou moins accrues, des malpositions occlusales associées parfois à une perte de dimension verticale – mais aussi esthétique, par l’aspect plus ou moins coloré et malformé des dents (fig. 1a, b). Le retentissement psychologique est variable selon la sévérité de l’atteinte et l’environnement social, mais reste important, surtout dans l’enfance [3].
Ces éléments justifient pleinement la prise en charge thérapeutique prothétique dès l’apparition des dents permanentes [4,5]. Le recours à des options temporaires puis d’usage, fondées sur une dentisterie adhésive offrant des solutions extrêmement peu invasives, doit être étudié pour chaque situation en fonction…

