Approche thérapeutique des récessions gingivales sévères dans le secteur antérieur mandibulaire

  • Par
  • Publié le . Paru dans Parodontologie Implantologie Orale, un nouveau regard n°2 - 15 mai 2022 (page 18-28)
Information dentaire

L’objectif de cet article est de présenter différentes approches thérapeutiques dans le secteur antérieur mandibulaire chez des patients présentant des récessions gingivales sévères associées à des pertes d’attache interproximale (RT 2 et 3 selon la classification de Cairo [3]).

La région antérieure mandibulaire est une zone présentant fréquemment des récessions gingivales et nécessitant le recours à la chirurgie plastique parodontale.

Ces récessions sont associées à des paramètres cliniques dont la prise en considération avant toute thérapeutique est nécessaire. De plus, le choix d’une technique peut s’avérer difficile et l’apport de la littérature doit aider le praticien dans sa prise de décision. L’objectif de cet article sera de proposer trois approches thérapeutiques chirurgicales dans le secteur antérieur mandibulaire chez des patients présentant des récessions gingivales sévères associées à des pertes d’attaches interproximales (RT 2 et 3 selon la classification de Cairo), d’évaluer leurs résultats à six mois et leur cohérence avec les données publiées dans la littérature.

The mandibular anterior region is an area where gingival recessions frequently occur, necessitating periodontal plastic surgery.

These recessions follow clinical parameters which must be considered before treatment. In addition, the choice of technique can be difficult and the literature is essential in assisting the practitioner in their decision-making.

The aim of this article will be to propose three therapeutic surgical approaches in the mandibular anterior region for patients with gingival recession associated with interproximal attachment loss (RT2 and RT3 in Cairo classification) and to evaluate the initial results over 6 months. The results will be cross checked for consistency with the data published in the literature.

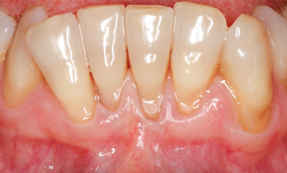
La récession gingivale se définit comme « la migration en direction apicale de la gencive marginale par rapport à la jonction émail-cément (JEC). Elle est associée à une perte d’attache exposant la surface radiculaire au milieu buccal » [1]. La région antérieure mandibulaire est une zone présentant fréquemment des récessions gingivales. Elles sont le plus souvent associées à un phénotype fin, au frein mandibulaire, à un vestibule peu profond et parfois à des pertes d’attache interproximale.

La chirurgie plastique parodontale aura pour objectifs d’améliorer l’environnement parodontal et de corriger les séquelles mises en évidence chez un patient présentant un parodonte réduit sain. L’expertise du praticien et les attentes du patient auront un impact sur la prise de décision chirurgicale [2].

L’objectif de cet article est de présenter différentes approches thérapeutiques dans le secteur antérieur mandibulaire chez des patients présentant des récessions gingivales sévères associées à des pertes d’attache interproximale (RT 2 et 3 selon la classification de Cairo [3]).

Spécificité de la région antérieure mandibulaire

Lors de l’examen clinique exobuccal

Le parodonte de la région antérieure mandibulaire est rarement visible même au cours d’un sourire forcé. Cependant, aucune étude ne semble l’avoir étudié. Seul Tjian et coll. ont évoqué l’augmentation de la visibilité des incisives au cours du vieillissement des patients [4]. Nous pouvons ainsi considérer que cette zone est rarement impliquée dans une prise en charge esthétique.

Lors de l’examen endobuccal

Structures anatomiques

La région antérieure mandibulaire est considérée comme une zone sûre chirurgicalement en raison de l’absence de structures anatomiques nobles. Le praticien devra toutefois faire attention au nerf incisif, au muscle mentonnier ainsi qu’à l’artère labiale inférieure.

Examen dentaire et parodontal

Cet article est réservé aux abonnés.
Pour lire la suite :

Vous êtes abonné.e ? Connectez-vous
Mot de passe
oublié ?

Vous pouvez également :

Acheter l'article En version numérique
Acheter le numéro À l'unité

Thèmes abordés

Sur le même sujet

Parodontologie

Article réservé à nos abonnés De la muco-esthétique à la muco qui sauve les dents

Le concept PASS au cœur de l’innovation parodontale La chirurgie plastique parodontale a connu une évolution notable, alliant avancées cliniques et technologiques...
Parodontologie

Article réservé à nos abonnés Séance SFPIO – Quelles sont les bonnes pratiques en parodontologie en 2024 ?

Responsable scientifique : Caroline Fouque Intervenants : Damien FEUILLET, Hélène RANGé, Nicolas BLANC-SYLVESTRE La parodontologie au croisement des disciplines Toutes sévérités confondues, les...