Une définition des patients à besoins spécifiques les désigne comme étant « ceux pour lesquels une déficience ou une limitation de l’activité altère, directement ou indirectement, leur santé orale, dans le contexte personnel ou environnemental qui leur est propre. » [1, 2]. Ainsi, selon l’organisation mondiale de la santé, environ 15 % de la population mondiale éprouverait une certaine forme d’invalidité ou de handicap (« disability ») et cette prévalence est beaucoup plus importante dans les pays en voie de développement [3]. Par ailleurs, entre 110 et 190 millions de personnes, seraient atteints de handicaps significatifs. En France, c’est environ 11 millions de personnes qui vivraient avec un ou plusieurs handicaps [4].
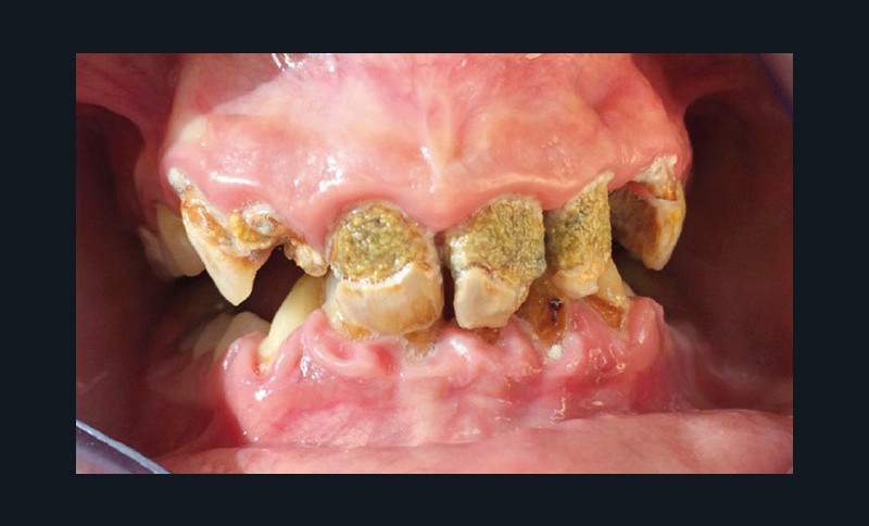
Les spécificités de la santé bucco-dentaire des patients à besoins spécifiques concernent notamment les déficits de l’hygiène buccale, les pathologies oro-faciales, les désordres esthétiques et fonctionnels et une plus grande proportion de pathologies parodontales [5, 6] (fig. 1).
Brown et al [6] ont relevé une prévalence de parodontites de 81 % chez les patients à besoins spécifiques, pour près de 93 % chez les plus de 60 ans et 56 % chez les 20-39 ans. Ils ont également noté une fréquence plus importante de caries et de pertes dentaires. Les difficultés de communication et les inconvénients liés aux différentes situations rencontrées font qu’une prise en charge au fauteuil (soins parodontaux, conservateurs puis restauration prothétique) demeure souvent difficile à mener à bien. Mais l’évolution dans les techniques de sédation, de CFAO, d’implantologie, de collage, est autant d’éléments qui optimisent le temps passé au fauteuil tout en garantissant une qualité de soins à la fois esthétique, fonctionnelle et pérenne à ces patients, même dans des situations « extrêmes » [1].
L’objectif de cet article…
