Approches multiples et variées pour contenir l’espace des incisives latérales absentes

  • Par
  • Publié le . Paru dans L'Orthodontiste n°4 - 15 septembre 2023 (page 42-56)
Information dentaire
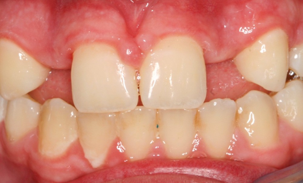
Parmi les causes de dents absentes, le traumatisme et l’agénésie sont les deux raisons qui font qu’en cas de maintien de ces espaces, la gestion de la contention, surtout chez l’adolescent, revêt un caractère tout particulier. Si la fermeture d’espace est souvent indiquée, celle-ci n’est pas toujours possible. Face au recul de l’âge implantaire, à la fréquente nécessité d’un second temps orthodontique avant cette dernière étape et face à des progrès technologiques constants se pose alors la question difficile du choix d’un moyen de temporisation à l’issue du traitement orthodontique. En effet, si raccourcir la période de transition en débutant le traitement orthodontique le plus tard possible est intéressant, l’assurance maladie impose que ces projets orthodontiques soient démarrés avant la date butoir de 16 ans. Ce qui fait une longue période de transition si la croissance alvéolaire s’achève vers les 24 ans. En outre, il ne faudra pas négliger la pression sociale qui s’exerce sur les adolescents ou les jeunes adultes. Nous allons donc décrire les différents moyens de contention possibles, leurs avantages, leurs limites, mais aussi les perspectives d’avenir. La prévalence des agénésies est de 4,6 % pour les hommes et de 6,3 % pour les femmes en Europe, d’après la méta-analyse publiée par Polder [1], ce qui en fait un motif de consultation fréquent des patients. L’agénésie de l’incisive latérale représente 25 % des agénésies en général, soit 1,5 % de l’ensemble de la population. La résolution revêt un caractère esthétique et fonctionnel particulier : sourire et guide antérieur sont affectés et nécessitent d’être restaurés. L’objectif du traitement orthodontique est de créer un espace pour l’implantation de dents artificielles ou de fermer les espaces en déplaçant les autres dents pour remplacer les dents manquantes. Dans les deux cas, la contention orthodontique (ou l’usage d’un dispositif pour maintenir les dents en place après le traitement orthodontique) joue un rôle crucial pour maintenir les résultats du traitement à long terme.

Paramètres particuliers à prendre en compte

Voici quelques aspects importants de la contention dans les cas d’agénésie des incisives latérales maxillaires :

1. Stabilité de l’espace : si l’approche choisie est de maintenir l’espace pour une future solution prothétique, qu’elle soit implantaire ou conventionnelle, la contention doit garantir que l’espace créé ne se ferme pas au fil du temps.

2. Maintien de l’alignement : parallèlement, le reste de l’arcade doit être aussi stabilisé afin de maintenir l’alignement obtenu ; la contention doit maintenir l’alignement de ces dents déplacées. Le système de contention doit être conçu pour s’adapter à la nouvelle configuration dentaire et prévenir toute récidive.

3. Adaptation à la croissance : chez les adolescents, le choix de la contention doit tenir compte de la croissance continue des mâchoires et du remodelage alvéolaire. Dans ces cas, la contention peut nécessiter des ajustements périodiques pour s’adapter à ces changements.

4. Collaboration avec d’autres spécialistes dentaires : dans le cas des agénésies d’incisives latérales maxillaires, la collaboration entre l’orthodontiste et le chirurgien-dentiste est une nécessité pour planifier et exécuter un plan de traitement qui répond aux besoins spécifiques du patient et ainsi maintenir les résultats à long terme.

Options pour la contention dans les cas d’agénésie des incisives latérales maxillaires [2]

Le but est de remplacer les dents manquantes tout en obtenant des rapports dentaires de classe I.

Différentes situations cliniques peuvent se présenter :

  • la prise en charge par le chirurgien-dentiste chargé de la prothèse peut se faire d’emblée sans préparation orthodontique préalable lorsque le diastème et l’occlusion sont satisfaisants et que la croissance faciale est terminée ;
  • la prise en charge par l’orthodontiste avant la fin de la croissance (ouverture précoce) va…

Cet article est réservé aux abonnés.
Pour lire la suite :

Vous êtes abonné.e ? Connectez-vous
Mot de passe
oublié ?

Vous pouvez également :

Acheter l'article En version numérique
Acheter le numéro À l'unité

Thèmes abordés