Aspects psychologiques de la demande esthétique en prothèse 

  • Par
  • Publié le . Paru dans Stratégie Prothétique n°4 - 30 septembre 2014 (page 229-233)
Information dentaire
Pourquoi la dentisterie esthétique est-elle une thérapeutique globale ?
Quelles sont les modifications psychologiques qui motivent les patients ?
Comment analyser et traiter la demande esthétique ?

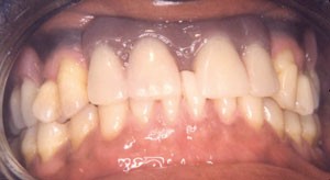
La demande esthétique des patients est surtout axée sur l’amélioration ou l’établissement de l’esthétique de leur corps et a fortiori de leur visage et de leur sourire. Si l’on analyse la démarche du patient et les considérations psychologiques qu’elle implique, le lien qui existe entre la denture, la santé et la beauté, la nature des traitements mis en œuvre et l’impact de ceux-ci, on se rend compte que la dentisterie esthétique fait office de thérapeutiques globales. Il semble en effet que l’on assiste à un intérêt croissant pour l’apparence, comme si elle garantissait à elle seule le bonheur, la réussite et une longue vie (1).
Ce comportement est conforté par une discrimination sans cesse croissante entre le beau et le laid devant les cours de justice (2), au niveau de l’ascension professionnelle, de l’embauche (3) et dans la vie scolaire (4). Amadieu (3) constate que « pour la première fois dans l’histoire, la compétition ne se base plus seulement sur les diplômes, démocratisés par l’accès pour tous à l’université, mais sur l’apparence : le physique et l’habillement ». Dans de telles conditions, l’être humain a tendance à ressembler à un modèle, mais pas toujours. À partir de cet instant, il naît dans l’esprit un effet narcissique qui accapare sa personne et une forte image de soi. Pour cela, l’examen clinique esthétique doit faire actuellement partie intégrante de l’anamnèse médico-dentaire (5). Cette étude d’intérêt clinique a pour objet de comprendre, de sensibiliser et encadrer les désirs du patient afin de mieux cerner ce qui relève de la psychologie et du physique à travers un cas clinique, afin de lui prodiguer la thérapeutique adéquate.

ESTHÉTIQUE ET PSYCHOLOGIE

La dentisterie esthétique nécessite une approche particulière permettant de pénétrer au cœur de la psychologie du patient qui a une mauvaise perception de son image (6, 7). L’un des objectifs de l’entretien…

Cet article est réservé aux abonnés.
Pour lire la suite :

Vous êtes abonné.e ? Connectez-vous
Mot de passe
oublié ?

Vous pouvez également :

Acheter l'article En version numérique
Acheter le numéro À l'unité

Thèmes abordés