Situation clinique
Anamnèse.
Une patiente âgée de 38 ans a consulté en urgence pour une douleur gingivale et palatine, apparue 2 jours auparavant. La douleur, non calmée par la prise de paracétamol, était de plus en plus intense et rendait le brossage des dents difficile. La patiente était non fumeuse et avait été testée positive au SARS-CoV-2 une semaine avant. Elle ne présentait aucun symptôme spécifique à la Covid 19 : pas d’hyperthermie, de troubles respiratoires ou digestifs, de maux de tête, d’hypogueusie, d’agueusie, d’hyposmie ou d’anosmie, et ne présentait aucune pathologie générale ni aucun antécédent médical hormis quelques épisodes d’herpès récurrents labiaux. La patiente se disait fatiguée et stressée en cette période de crise sanitaire.
Examen clinique
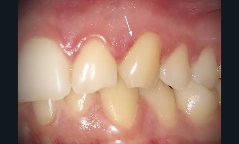
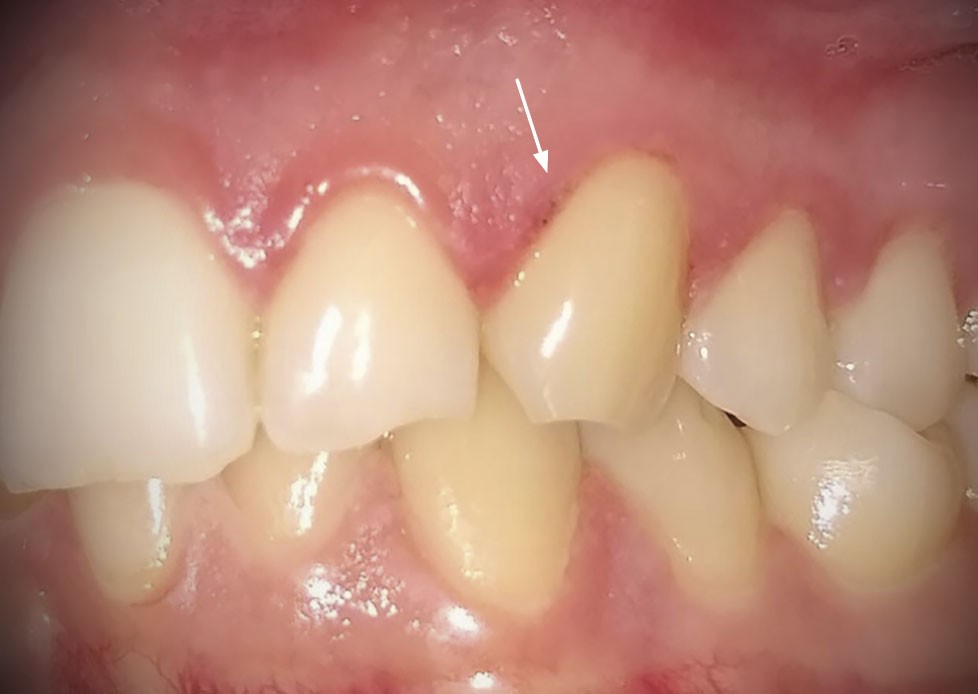
Présence de zones d’érosions post-vésiculeuses regroupées en « bouquet » en palatin des 12, 11 et 22 (fig. 1a) et au niveau de la gencive marginale de la 23 (fig. 1b). Les muqueuses affectées étaient enflammées et sensibles au toucher. Pas d’adénopathie cervico-faciale palpable et pas d’atteinte extra-orale.
Hypothèses diagnostiques
1. Récurrence herpétique (aspect clinique évocateur).
2. Stomatite liée à l’infection covid 19 [1].
Traitement
- Symptomatique : gel à base de chlorhexidine à 0,12 % afin d’éviter une surinfection par les bactéries du microbiote parodontal.
- Curatif : valaciclovir 500 mg (2 comprimés par jour pendant 5 jours).
Évolution
Jointe par téléphone 2 jours après la consultation, la patiente nous a signalé une nette amélioration de la situation, ce qui nous a permis d’écarter l’hypothèse d’une infection liée au SARS-CoV-2.
Discussion
Dans les pays développés, la séroprévalence pour le virus de l’herpès de type 1, qui est généralement impliqué dans l’herpès orofacial, est d’environ 67 % chez l’adulte [2]. Ce virus transmis…

