Traumatismes des tissus durs coronaires
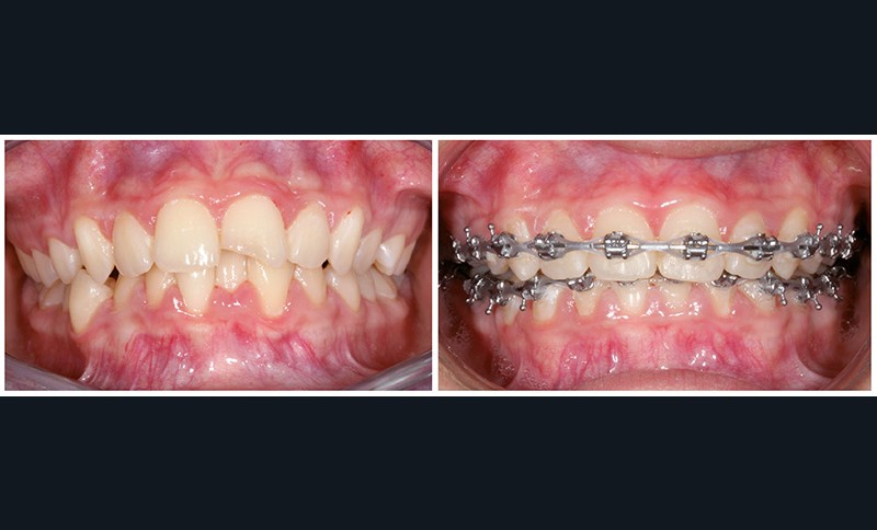
Précautions à prendre avant le début du traitement orthodontique (fig. 1)
Il est indispensable de :
– s’assurer de l’absence de dommages parodontaux collatéraux et de la vitalité pulpaire ;
– restaurer la dent fracturée et s’assurer de l’étanchéité de la restauration (absence de coloration marginale ou de mobilité du fragment restauré) ;
– s’efforcer, lors du collage de l’attache, d’étendre la surface du collage sur le segment coronaire non fracturé [2-4].
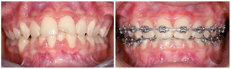
Précautions à prendre avant le début du traitement orthodontique
Il est indispensable :
– de vérifier, lors du collage de l’attache, que la reconstitution corono-radiculaire assure une bonne étanchéité cervicale ;
– que le ligament parodontal soit complet ;
– que la dent soit asymptomatique ;
– que sa mobilité reste dans des limites normales [3, 4].
Précautions à prendre pendant le traitement orthodontique
Il est indispensable que :
– l’application de la force soit d’intensité proportionnelle à la longueur radiculaire résiduelle ;
– le traitement soit le plus court possible ;
– la continuité de la vitalité pulpaire soit surveillée cliniquement et radiographiquement [5].
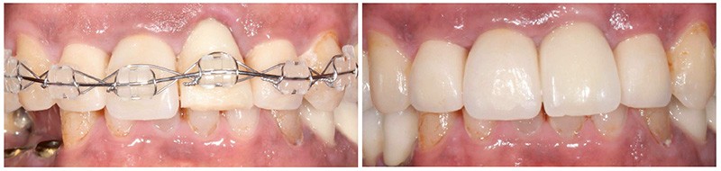
Rôle actif de l’orthodontiste dans leur prise en charge : l’égression orthodontique (fig. 2)
L’égression orthodontique a pour objectif le respect de la distance biologique en cas de reconstitution conservatrice ou prothétique. C’est une alternative à la chirurgie parodontale d’allongement coronaire. Elle présente l’avantage de ne pas perturber l’alignement des collets mais diminue la longueur radiculaire intra-osseuse et le diamètre mésio-distal du profil d’émergence [6].
Luxations des dents permanentes
Précautions à prendre avant le début du traitement orthodontique :
– évaluation à 3 mois des signes cliniques et radiographiques…

