Situation clinique initiale
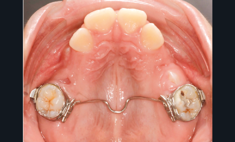
Lina, 8 ans et 5 mois, nous est adressée en consultation d’orthodontie dans le service de médecine bucco-dentaire de l’Hôpital Bretonneau en transfert avec absence des 2 prémolaires du secteur 1, alors que 44 et 45 sont présentes et que cette dernière manque de place pour faire son évolution sur l’arcade (fig. 1 et 2).
Autotransplantation, une solution pertinente
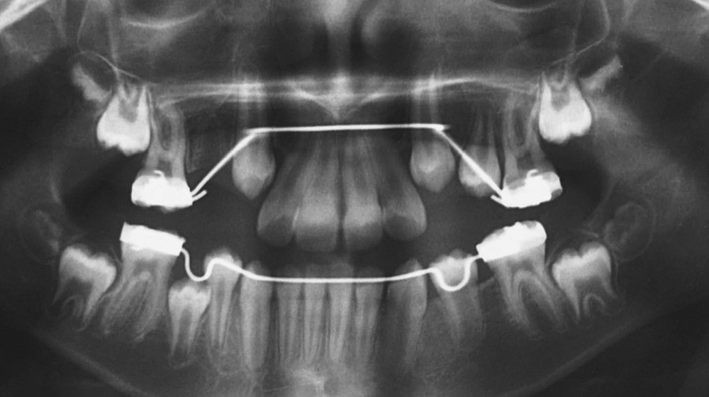
Un bilan radiologique 3D (Cone Beam CT) est prescrit dans le but d’évaluer, avec l’équipe de chirurgie du Dr Jean-Luc Charrier (Hôpital Bretonneau), la possibilité de transplantation d’une prémolaire du secteur 4 vers le secteur 1 et de définir le meilleur transplant possible entre 44 et 45. Sont analysées les dimensions du site receveur ainsi que l’anatomie, la position et l’état de maturation radiculaire des prémolaires candidates à la transplantation (fig. 3).
Cet examen nous apprend que :
- concernant le site receveur : son volume osseux est suffisant pour accueillir une des prémolaires du secteur 4 ;
- Concernant 45 :
- sa situation endo-osseuse (à l’abri de la flore bactérienne buccale et avec un desmodonte immature car non soumis aux stimuli occlusaux, facilitant une avulsion atraumatique) et son immaturité radiculaire franche (apex largement ouvert favorisant la revascularisation) font d’elle un transplant de choix ;
- mais il existe une proximité nette entre la couronne de 45 et la racine de 44, (augmentant le risque de lésion de 44 lors de l’avulsion de 45), et un rapport étroit entre la couronne de 45 et la corticale osseuse vestibulaire (augmentant le risque de lésion parodontale post-extractionnelle) ;
- enfin, 45 présente une longueur radiculaire encore courte risquant d’amener à un rapport couronne/racine limite in fine si l’édification radiculaire devait être stoppée après la transplantation de cette dent ;
…






